Перейти к содержанию
Стоматология для всех

Перелечивание каналов у зубов 11 и 16


Al..ks

Рекомендуемые сообщения

Добрый вечер.

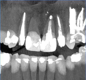
Нужен Ваш совет, как лучше поступить. (скрины  КТ 11.2023. Есть КТ 2017,19,20,22 годов)

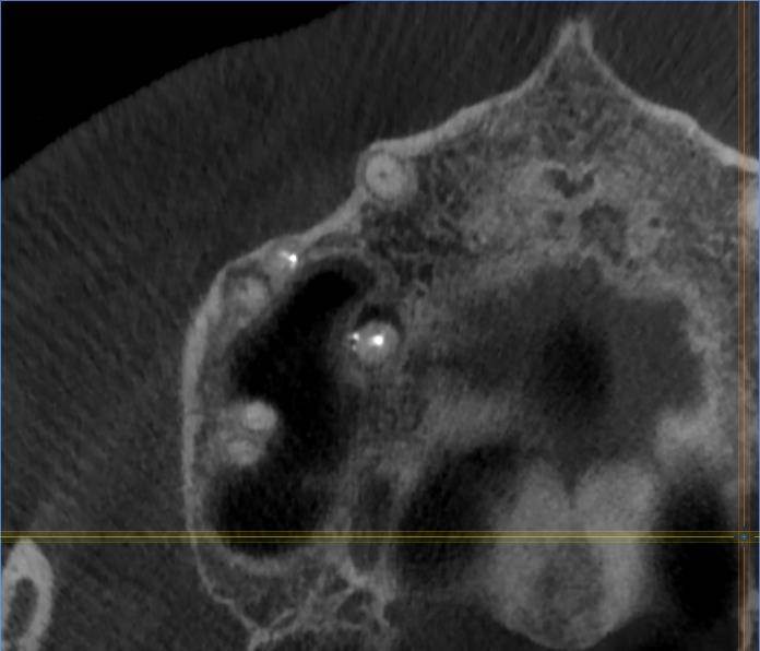
Есть зуб 11 (с СВШ) с восспалением около корня. До брекетов тоже было.

Перед протезированием предлагают перелечить каналы через корень с извлечением СВШ и последующим восстановлением (не понятно правда с СВШ или уже без него. Без СВШ зуб прям под корень может обломаться) под коронку.

До этого предлагали резекцию. Как в итоге лучше, через корень или резекцию?11-2.jpg.ba542aa82cfd6ddaad3fb9e234b99d99.jpg11.jpg.a34f40916e8e638d622001c50fff6e3a.jpg11-3.jpg.7a281f5893f8e6440937071fda10d523.jpg11-4.jpg.6a62c56e00cfdfa00cf35b7e276fd908.jpg

 

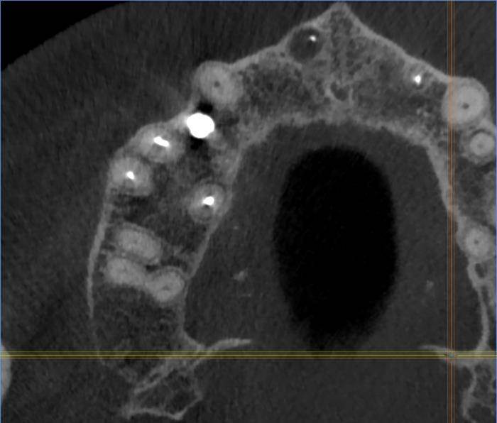
И есть второй зуб с проблемой около корней -16 (РФ зуб). Перед брекетами уже перелечивали корни в 2016 году.

Сейчас опять говорят надо заново перелечивать перед протезированием.

Имеет ли смысл? (а то так до бесконечности можно перелечивать и дешевле удалить было и имплантант поставить).16.jpg.c48b680915f979a9e4778f4248ff39c7.jpg16-1.jpg.c116f77ce054f4d184897797128c176a.jpg16-2.jpg.675bd02ec47e5582670209e0dc324a7f.jpg16-3.jpg.ece96fa59fc264e0e38c691000fc9780.jpg16-4.jpg.a269497c8968ad8cbd4d3c558c480d90.jpg16-5.jpg.e4f929dd96c9da3ce934b217da02a634.jpg16-6.jpg.260d3caac245b47f76f4f53ca38317c4.jpg

 

Спасибо за советы

Ссылка на комментарий

Для публикации сообщений создайте учётную запись или авторизуйтесь

Вы должны быть пользователем, чтобы оставить комментарий

Создать аккаунт

Зарегистрируйте новый аккаунт в нашем сообществе. Это очень просто!

Регистрация нового пользователя

Войти

Уже есть аккаунт? Войти в систему.

Войти
×
×
  • Создать...
Вверх