Govanna Опубликовано 16 января, 2024 Поделиться Опубликовано 16 января, 2024 Здравствуйте! У меня 8ка слева внизу лежит горизонтально, боль в прилегающей области. Боль на подобии кариеса. Врач направила на снимок и сказала удалять зуб мудрости, ложиться в больницу члх на 5 дней и там удалять. Не хочется в больнице лежать, ребенок маленький дома. В платных поликлиниках не все берутся за такую манипуляцию, а кто берется не говорят про риски, не обещают костный материал поставить в случае необходимости. устанавливают высокие, но, похоже за результат не отвечают. Уважаемые специалисты, подскажите, пожалуйста, можно ли удалять мой сверхкомплектный зуб в частной клинике или действительно лучше лечь в члх? Нужно ли класть при глубокой выемке костный материал? Что делать если заденут нерв или повредят корень соседнего зуба? Нужно ли удалять весь зуб или можно распилить и вынуть часть чтобы не сломать челюсть при попытке вынуть весь зуб? Заранее спасибо за ответ. Ссылка на комментарий
wladdX Опубликовано 16 января, 2024 Поделиться Опубликовано 16 января, 2024 1. Удалить такой зуб в амбулаторных условиях вполне реально. 2. Закладывать костно-замещающий материал излишне. 3. Несчастные случаи возможны. Вероятность их невысока. 4. Существует методика частичного удаления. Показания к ней определяются оперирующим вас хирургом. 1 1 Ссылка на комментарий
Govanna Опубликовано 21 января, 2024 Автор Поделиться Опубликовано 21 января, 2024 Здравствуйте! Удалила в платной клинике, раздуло щеку до глаза, что делать как снять отек? Завтра на работу надо Ссылка на комментарий
red_butler Опубликовано 21 января, 2024 Поделиться Опубликовано 21 января, 2024 3 часа назад, Govanna сказал: что делать обратитесь к своему врачу Ссылка на комментарий
Irouil Опубликовано 21 января, 2024 Поделиться Опубликовано 21 января, 2024 9 часов назад, Govanna сказал: Здравствуйте! Удалила в платной клинике, раздуло щеку до глаза, что делать как снять отек? Завтра на работу надо Отёк после подобных удалений часто очень выраженный и нарастает в течении 3-х дней Ссылка на комментарий
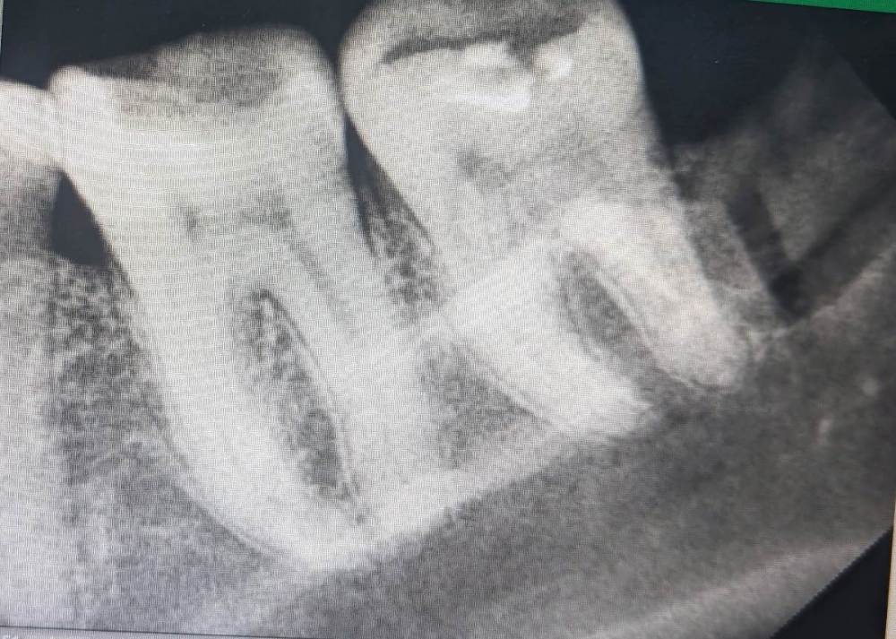
Govanna Опубликовано 23 января, 2024 Автор Поделиться Опубликовано 23 января, 2024 Врач который удалил в платной клинике, сказал все в порядке, пошла к другому- говорит гной, завтра заканчиваю пить антибиотики, а отек все ещё сильный. Посмотрите, пожалуйста, на снимке все в порядке? Действительно ли правильно так выпиливать? Ссылка на комментарий
Женька Опубликовано 23 января, 2024 Поделиться Опубликовано 23 января, 2024 @Govanna по этому снимку видно, что коронковая часть зуба точно отсутствует, не более того. 1 Ссылка на комментарий
Govanna Опубликовано 23 января, 2024 Автор Поделиться Опубликовано 23 января, 2024 Подбородок и часть губы не чувствую, посоветовали витамины группы В, но пока изменений нет, отек, синяк, рот не открывается, при надавливании на внутреннюю сторону щеки воздух выходит и жидкость, как будто десну к щеке пришили. Как восстановить чувствительность? Есть ли способ снять отек? Надо ли через боль разрабатывать движение челюсти? Ещё читала через неделю снимают швы, а мне сказали приходить через две, как Вы считаете , есть смысл так долго ходить со швами? Ссылка на комментарий
Женька Опубликовано 23 января, 2024 Поделиться Опубликовано 23 января, 2024 @Govanna сделайте КТ и скиньте сюда файл (ссылку на файл). Чем быстрее тем лучше. 16 минут назад, Govanna сказал: посоветовали витамины группы В Кто посоветовал? Вы были у доктора, который удалял зуб? 18 минут назад, Govanna сказал: Есть ли способ снять отек? До 3х суток он нарастает, как Вам уже ответили выше (если удаляли в воскресенье, то завтра уже должен становиться меньше) 18 минут назад, Govanna сказал: Надо ли через боль разрабатывать движение челюсти? Пока не стоит. Ссылка на комментарий
Рекомендуемые сообщения
Для публикации сообщений создайте учётную запись или авторизуйтесь
Вы должны быть пользователем, чтобы оставить комментарий
Создать аккаунт
Зарегистрируйте новый аккаунт в нашем сообществе. Это очень просто!
Регистрация нового пользователяВойти
Уже есть аккаунт? Войти в систему.
Войти