Перейти к содержанию
Стоматология для всех

Ноющая боль в гайморовой пазухе на протяжении полутора месяцев


podivilov

Рекомендуемые сообщения

С наступающим Новым годом! У меня тут, конечно, не совсем праздничное, но очень нужна помощь. Опишу, с чем возился последние полтора месяца. Сейчас нахожусь в Грузии.

Двадцатого ноября начал ныть зуб (семёрка), немедленно обратился к стоматологу за консультацией. Поставили диагноз «пульпит» и на уже следующий день удалили нерв зуба. Я уж было обрадовался, что всё, болеть больше не будет, но нет: всё только начиналось.

Первого декабря депульпированный зуб начал ныть. Сначала немного, но к пятому декабря так сильно разболелся, что мне пришлось поздней ночью, часа в два, отправиться в больницу — в отдел челюстно-лицевой хирургии. Там я показал доктору панорамный снимок, он увидел воспаление у корня того зуба и удалил его. Назначили антибиотики, я их пропил.

Думал, что наконец-то всё прошло. Но нет: двенадцатого декабря ко мне вернулось ноющее чувство — тяжесть в околоносовой пазухе. Отправился к ЛОРу — сказали, что есть отёк; велели промывать нос. Не помогло.

Сделал КТ и посетил хирурга, который удалял мне зуб. Врач сказал, что перфорации гайморовой пазухи нет и назначил противовоспалительные таблетки. Лучше, к сожалению, не стало: а сегодня так вообще отмечаю, что ныть стало гораздо сильнее.

Честно говоря, руки опускаются и это очень сильно бьёт по продуктивности. Сложно на чём-либо концентрироваться и чем-либо заниматься в принципе. Постоянная боль очень психологически выматывает.

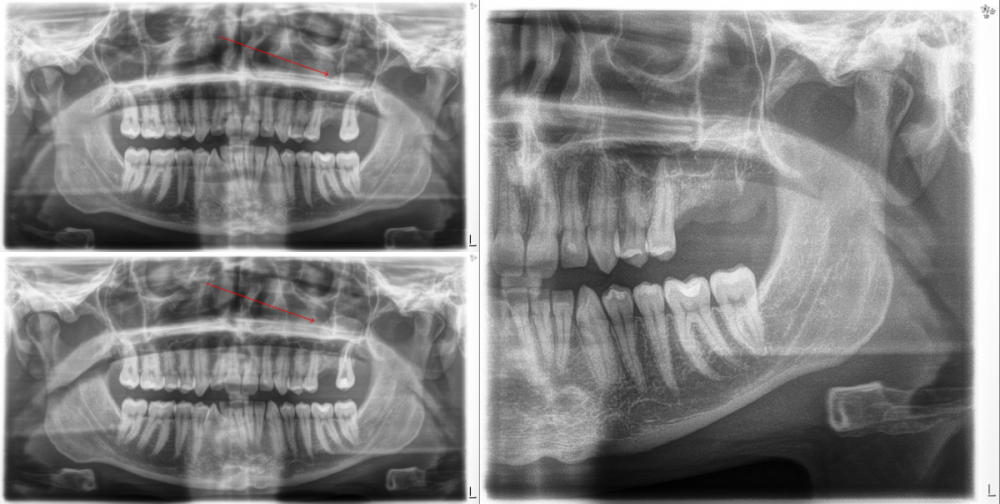
Честно говоря, руки опускаются и это очень сильно бьёт по продуктивности. Сложно на чём-либо концентрироваться и чем-либо заниматься в принципе. Постоянная боль очень психологически выматывает. На первой фотографии панорамные снимки (до депульпации, после депульпации и после удаления зуба). На второй — КТ.

На КТ я вижу какое-то образование — видимо, киста. Ну, явно какое-то воспаление. Но вот, что интересно: сегодня я разглядел на панорамных снимках то же самое образование, то же самое воспаление! То есть, вероятно, тот зуб вовсе не нужно было удалять. Я связывал появление этой кисты с удалением зуба, но, видимо, оно было и до этого.

Помогите, пожалуйста — посоветуйте, к кому обратиться и что здесь в принципе можно сделать. Что это может быть? Через полмесяца я переезжаю в другую страну и перенести это никак нельзя, поэтому хочется успеть хоть что-то предпринять. Уже полтора месяца живу с постоянной болью. Очень устал.

Психологически добивает то, что разные врачи, которых посещал, ставят разные диагнозы, но лучше не становится. Из-за непонимания того, что это может быть и какие у этого могут быть прогнозы, очень тревожно.

Photo 1.png

Photo 2.jpg

Ссылка на комментарий

Здравствуйте, киста в пазухе невоспалительной природы, с высокой долей вероятности существовала задолго до появления симптомов. Думаю, имеет смысл обратиться к неврологу. Вряд ли это связано с зубами и пазухой.

Ссылка на комментарий

Для публикации сообщений создайте учётную запись или авторизуйтесь

Вы должны быть пользователем, чтобы оставить комментарий

Создать аккаунт

Зарегистрируйте новый аккаунт в нашем сообществе. Это очень просто!

Регистрация нового пользователя

Войти

Уже есть аккаунт? Войти в систему.

Войти
×
×
  • Создать...
Вверх