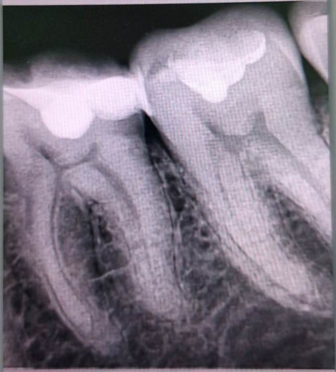
fcb99 Опубликовано 19 декабря, 2023 Поделиться Опубликовано 19 декабря, 2023 Здравствуйте. Месяц назад 18.11 переделывали нижнюю шестёрку. Старая пломба (световая 17 г.) почему-то слегка провалилась или стерлась и стало больно при попадании пищи. Поставили новую. С тех пор реагирует на горячее/ холодное и больно при попадании твёрдой пищи/ надавливании. Врач сказал придется удалять нерв. А хочется сохранить. Есть ли смысл идти в другую клинику, делать кт и тд. Или это стандартная ситуация и решение? Спасибо. (На рентгене слева) Ссылка на комментарий
Carioznik Опубликовано 19 декабря, 2023 Поделиться Опубликовано 19 декабря, 2023 8 часов назад, fcb99 сказал: Врач сказал придется удалять нерв Я бы не торопился с удалением "нерва" (исходя из приведенных Вами данных). Ссылка на комментарий
Рекомендуемые сообщения
Для публикации сообщений создайте учётную запись или авторизуйтесь
Вы должны быть пользователем, чтобы оставить комментарий
Создать аккаунт
Зарегистрируйте новый аккаунт в нашем сообществе. Это очень просто!
Регистрация нового пользователяВойти
Уже есть аккаунт? Войти в систему.
Войти