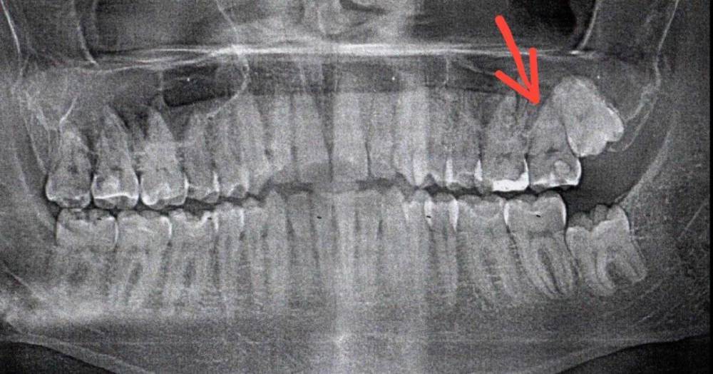
nikolas_magpies Опубликовано 14 декабря, 2023 Поделиться Опубликовано 14 декабря, 2023 Добрый день. У меня есть полис ДМС со стоматологией. В него НЕ входит лечение пораженного кариесом зуба, если он разрушен более, чем на половину (ИРОПЗ > 0,5). Появилась боль в 27 зубе. Обратился в поликлинику по ДМС. Врач стоматолог-терапевт сделал ортопантомограмму и отказал в лечение по ДМС, ссылаясь на разрушенность в 60%. Я с этим решением не согласен, по панорамному снимку видно разрушение явно меньше, чем на 50%, так как нижняя часть коронковой части зуба, которая светится белым цветом — является пломбировочным материалом, а остальная серая часть зуба до десны — является здоровым тканями зуба. Прикладываю сам снимок, подсчет площади старой пломбы и коронковой части зуба без пломбы. Подскажите, пожалуйста, как вы считаете, разрушен этот зуб более, чем на 50% или нет? Ссылка на комментарий
Notherbrick Опубликовано 14 декабря, 2023 Поделиться Опубликовано 14 декабря, 2023 Здравствуйте. Экспертное заключение на форуме Вам никто дать не может. Но наверняка сказать можно что одной проекции для того чтобы определить соотношение тканей зуба к пломбировочному недостаточно. Необходима КТ. А окончательно решить судьбу зуба и выбрать тактику лечения можно после препарирования и оценки количества интактной эмали и дентина. Просто прибегнуть к сухим цифрам и снимку недостаточно. Ссылка на комментарий
red_butler Опубликовано 15 декабря, 2023 Поделиться Опубликовано 15 декабря, 2023 Здравствуйте, конечно больше 50%, к тому же СК оценивает степень разрушения после препарирования Ссылка на комментарий
Irouil Опубликовано 15 декабря, 2023 Поделиться Опубликовано 15 декабря, 2023 После удаления пломбы и кариеса скорее всего ("на глаз") разрушение будет более 50%, поэтому СК (которая не может посмотреть в рот, а подтверждает лечение по снимкам) посчитает именно так Но вообще, это не вопрос для нашего форума, мы тут даём советы по лечению, но не по финансовой его стороне 2 Ссылка на комментарий
Doc Опубликовано 15 декабря, 2023 Поделиться Опубликовано 15 декабря, 2023 Мы очень много работаем со страховыми и всегда считалось количество поверхностей. Никто не будет сидеть и считать через компьютер объем поражения с точностью до микронов. Все очень просто. У зуба всего пять поверхностей (медиальная, дистальная, щечная, небная и жевательная-оральная). В Вашем случае, скорее всего, пломба будет занимать три поверхности из пяти — МОД (медиально, орально, дистально), значит уже больше 50%. Если какая-то поверхность не задействована, то будет менее 50%. Только и всего. Ссылка на комментарий
Рекомендуемые сообщения
Для публикации сообщений создайте учётную запись или авторизуйтесь
Вы должны быть пользователем, чтобы оставить комментарий
Создать аккаунт
Зарегистрируйте новый аккаунт в нашем сообществе. Это очень просто!
Регистрация нового пользователяВойти
Уже есть аккаунт? Войти в систему.
Войти