Перейти к содержанию
Стоматология для всех

Видны корни зубов


ВикаТ

Рекомендуемые сообщения

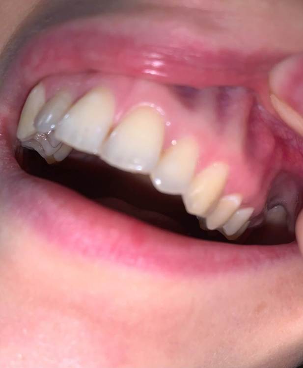
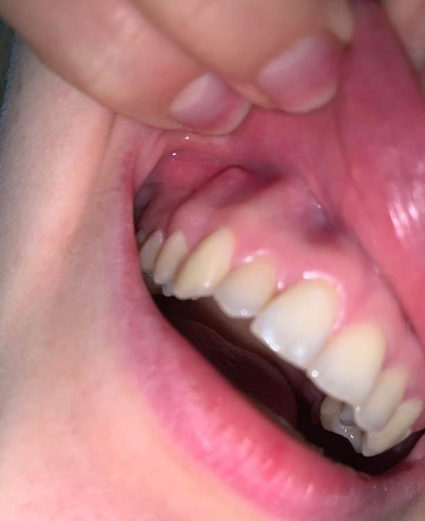
Здравствуйте. У меня стояли брекеты чуть больше 4 лет, совсем недавно мне их сняли (только верх) и я с ужасом заметила, что на верхней челюсти все мои корни видны через десна и прощупываются.  
Стало очень страшно, но я живу в малюсеньком городе и у нас к сожалению нет компетентных врачей и ортодонт тоже была не компетентна, наделала очень много ошибок (в области это подтвердилось). На прием в область получится попасть только через несколько месяцев, так как большие очереди. Подскажите пожалуйста, насколько такая ситуация опасна и как можно исправить её?  Нужно заново ставить брекеты и возвращать зубы в кость? Возможно ли это?

F5A17D39-554F-4E9C-8FCD-F126943E2323.jpeg

B6C6A636-B32F-4307-84C6-F4F37E356B0B.jpeg

B265964D-2503-4FE6-81D1-B319F3CFD7E3.jpeg

B1594777-B651-433E-94A3-5B4E86B0B12C.jpeg

Ссылка на комментарий

Для публикации сообщений создайте учётную запись или авторизуйтесь

Вы должны быть пользователем, чтобы оставить комментарий

Создать аккаунт

Зарегистрируйте новый аккаунт в нашем сообществе. Это очень просто!

Регистрация нового пользователя

Войти

Уже есть аккаунт? Войти в систему.

Войти
×
×
  • Создать...
Вверх