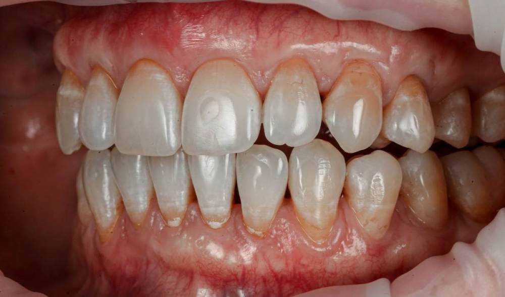
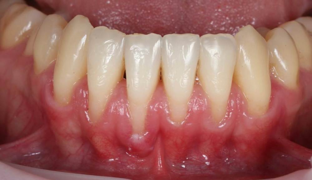
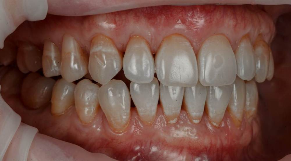
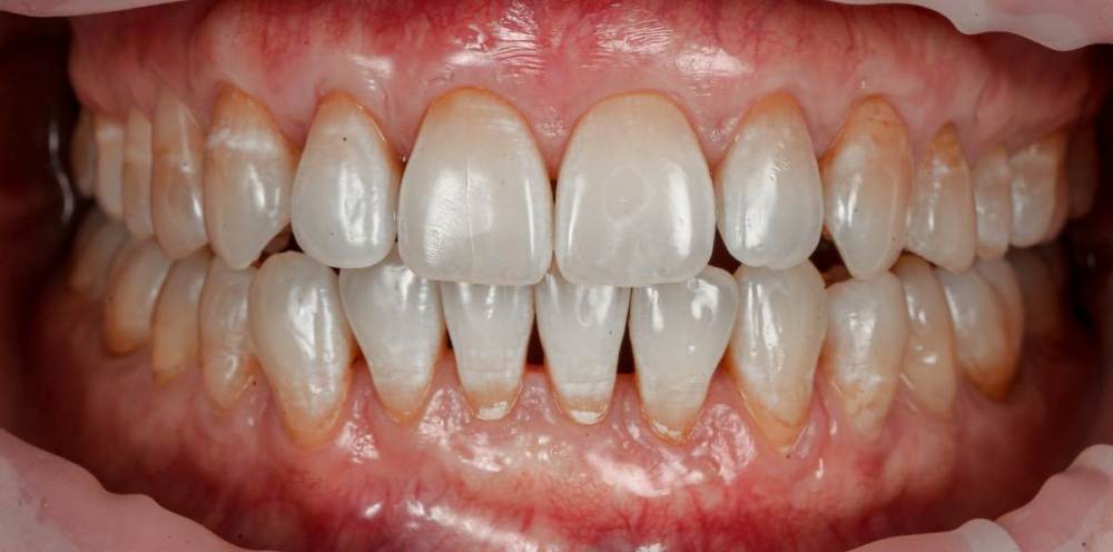
Santi Опубликовано 5 декабря, 2023 Поделиться Опубликовано 5 декабря, 2023 Тоннель верхние и нижние сегменты. После ортодонтическое лечение. Последнее фото 2 года после начала. 5 1 1 Ссылка на комментарий
DoctorT Опубликовано 6 декабря, 2023 Поделиться Опубликовано 6 декабря, 2023 Ортодонтия была? Ссылка на комментарий
Santi Опубликовано 6 декабря, 2023 Автор Поделиться Опубликовано 6 декабря, 2023 16 минут назад, DoctorT сказал: Ортодонтия была? Да Ссылка на комментарий
DoctorT Опубликовано 6 декабря, 2023 Поделиться Опубликовано 6 декабря, 2023 20 минут назад, Santi сказал: Да Подскажите, через какое время после хирургии приступили к ортодонтии. Не вернее было провести ортодонтию, а потом хирургию? Ссылка на комментарий
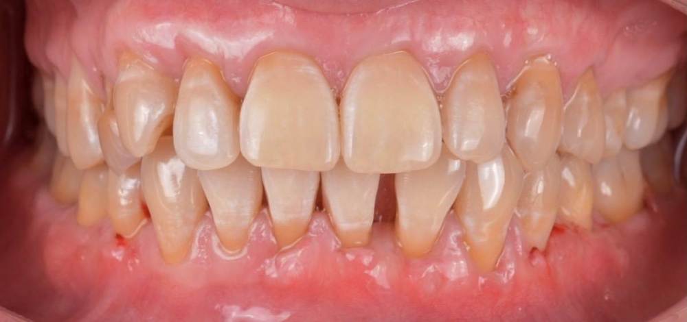
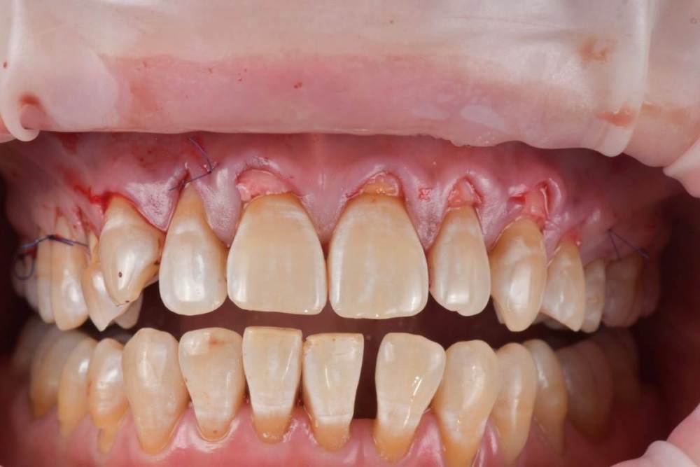
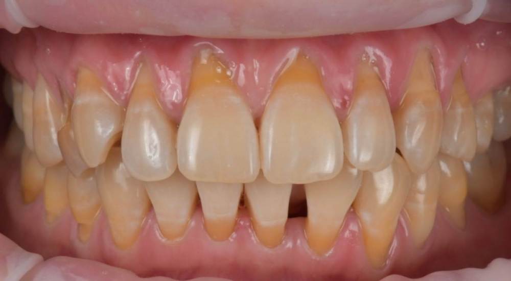
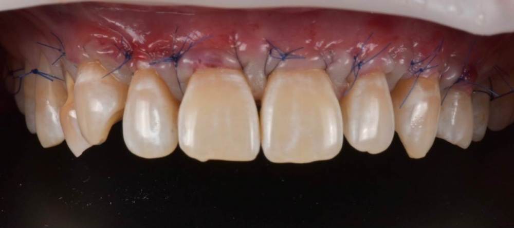
Santi Опубликовано 6 декабря, 2023 Автор Поделиться Опубликовано 6 декабря, 2023 8 часов назад, DoctorT сказал: Подскажите, через какое время после хирургии приступили к ортодонтии. Не вернее было провести ортодонтию, а потом хирургию? Я полагаю в подобного рода клинических случаях ортодонтия может усугубить рецессии и усложнить хирургию. Предпочитаю проводить хирургию и после локальная коррекция. Тут необходимости не возникло. Приступили через 4 мес. Приглядываю фото другого пациента после ортодонтии. Как думаете прогнозируемо закроем рецессии за одну операцию ? Ссылка на комментарий
DoctorT Опубликовано 8 декабря, 2023 Поделиться Опубликовано 8 декабря, 2023 По вашим наблюдениям хирургия лучше до ортодонтии? Ссылка на комментарий
Santi Опубликовано 8 декабря, 2023 Автор Поделиться Опубликовано 8 декабря, 2023 13 часов назад, DoctorT сказал: По вашим наблюдениям хирургия лучше до ортодонтии? Да. Коррекция всегда проще, чем более сложная хирургия 1 Ссылка на комментарий
Рекомендуемые сообщения
Для публикации сообщений создайте учётную запись или авторизуйтесь
Вы должны быть пользователем, чтобы оставить комментарий
Создать аккаунт
Зарегистрируйте новый аккаунт в нашем сообществе. Это очень просто!
Регистрация нового пользователяВойти
Уже есть аккаунт? Войти в систему.
Войти