Алексей34679734 Опубликовано 21 ноября, 2023 Поделиться Опубликовано 21 ноября, 2023 Узнал про керамические вкладки, только что, я не слышал про такой способ лечения. Подскажите кто делал эти вкладки. Посмотрел в Ютуб, мне очень понравилась технология. То есть можно очень на долго спасти зуб, не прибегая, к коронкам. Это как имплантация, пораженного участка, цена кусается. Ссылка на комментарий
АнтонТЛТ Опубликовано 22 ноября, 2023 Поделиться Опубликовано 22 ноября, 2023 А в чем вопрос? Керамические накладки это промежуточный вариант между пломбами/композитными накладками и коронками, для всего есть свои показания. Ссылка на комментарий
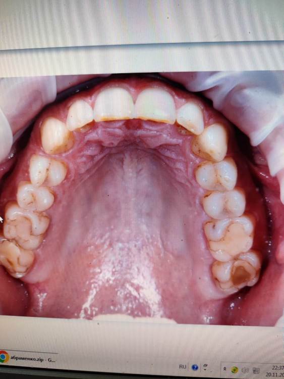
Алексей34679734 Опубликовано 22 ноября, 2023 Автор Поделиться Опубликовано 22 ноября, 2023 @АнтонТЛТ @АнтонТЛТвозможно ли вставить вкладки Ссылка на комментарий
АнтонТЛТ Опубликовано 22 ноября, 2023 Поделиться Опубликовано 22 ноября, 2023 Выглядит так, что можно. Вопрос в количестве здоровых тканей зубов под пломбами. 1 Ссылка на комментарий
Рекомендуемые сообщения
Для публикации сообщений создайте учётную запись или авторизуйтесь
Вы должны быть пользователем, чтобы оставить комментарий
Создать аккаунт
Зарегистрируйте новый аккаунт в нашем сообществе. Это очень просто!
Регистрация нового пользователяВойти
Уже есть аккаунт? Войти в систему.
Войти