Перейти к содержанию
Стоматология для всех

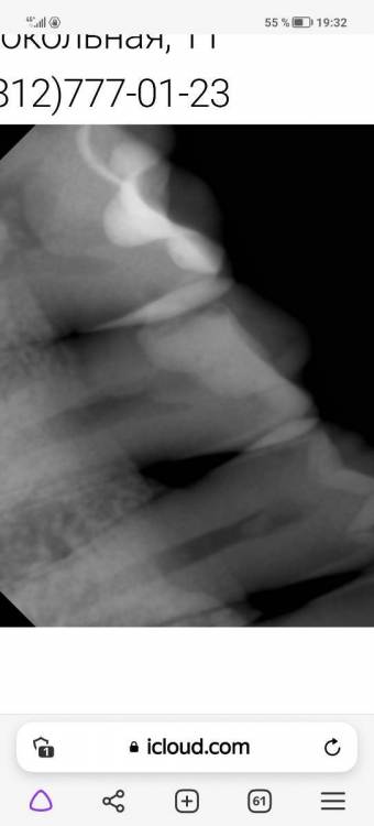
50 % разрушения коронки?


Саша томилов

Рекомендуемые сообщения

Мне в стоматологии отказались лечить зуб потому что разрушение коронки более 50 %, подскажите, пожалуйста, так ли это? И где это самое разрушение, как его вычислили

Screenshot_20231106_193218.jpg

Ссылка на комментарий
14 часов назад, Саша томилов сказал:

разрушение коронки более 50 %, подскажите, пожалуйста, так ли это?

если судить только по рентгену, то больше. 

 

14 часов назад, Саша томилов сказал:

И где это самое разрушение, как его вычислили

Белое на снимке это пломба. Мы не проводим обучение пациентов, но можете посмотреть что такое ИРОПЗ. Я предполагаю, что отказали в лечении по ДМС. Если это так, то стандартные программы не покрывают лечение  таких зубов.

Ссылка на комментарий

Для публикации сообщений создайте учётную запись или авторизуйтесь

Вы должны быть пользователем, чтобы оставить комментарий

Создать аккаунт

Зарегистрируйте новый аккаунт в нашем сообществе. Это очень просто!

Регистрация нового пользователя

Войти

Уже есть аккаунт? Войти в систему.

Войти
×
×
  • Создать...
Вверх