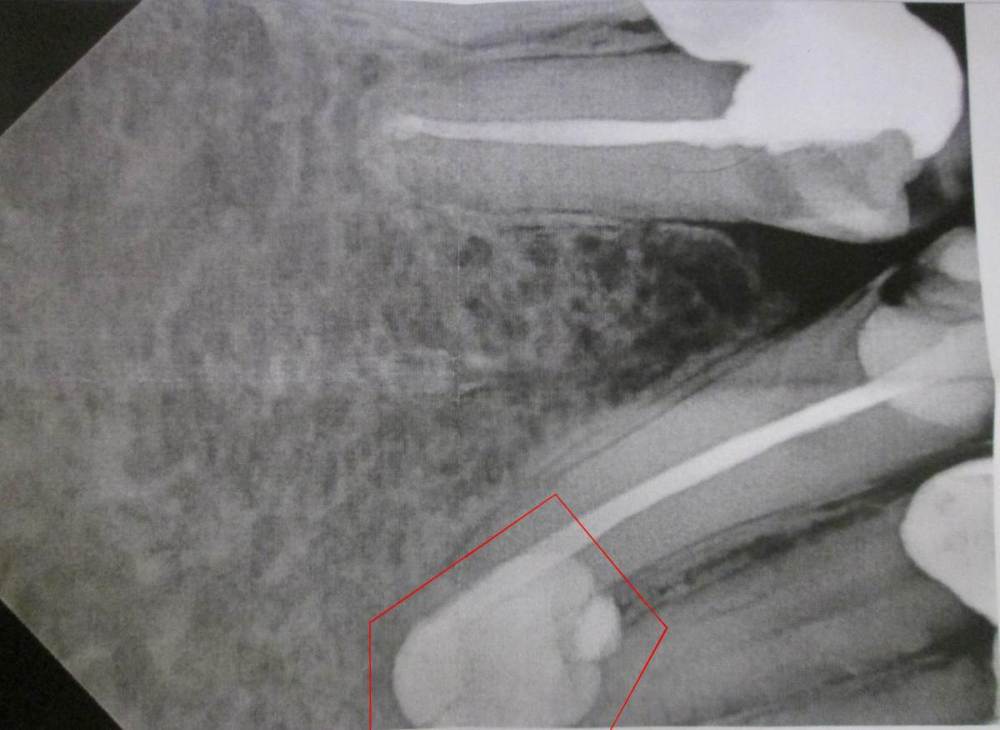
Hjolk332 Опубликовано 13 ноября, 2023 Поделиться Опубликовано 13 ноября, 2023 Добрый день. Я делал прицельный рентген снимок (прилагается) нижней челюсти, а именно клыка для постановки коронок. На снимке между клыком и боковым резцом было обнаружено образование (выделено). Рентгенелог сказал, что это может быть киста. Другой стоматолог сказал, что это не киста, так как образование на снимке белого цвета. На месте прощупывается уплотнение, при нажатии болезненное. Полгода назад в этом месте была сильная боль около недели, которая потом прошла. Боль списал на воспаление тройничного нерва. Если это киста и нечто типа этого можно ли ее удалить через десну, а не только через зуб. Спасибо Ссылка на комментарий
red_butler Опубликовано 13 ноября, 2023 Поделиться Опубликовано 13 ноября, 2023 Здравствуйте. По этому снимку не совсем понятно что это. Или пломбировочный материал, или "зачаток зуба", для уточнения сделайте компьютерную томографию . Ссылка на комментарий
Рекомендуемые сообщения
Для публикации сообщений создайте учётную запись или авторизуйтесь
Вы должны быть пользователем, чтобы оставить комментарий
Создать аккаунт
Зарегистрируйте новый аккаунт в нашем сообществе. Это очень просто!
Регистрация нового пользователяВойти
Уже есть аккаунт? Войти в систему.
Войти