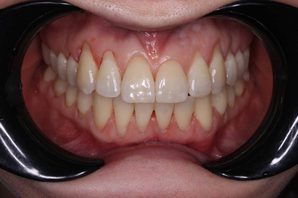
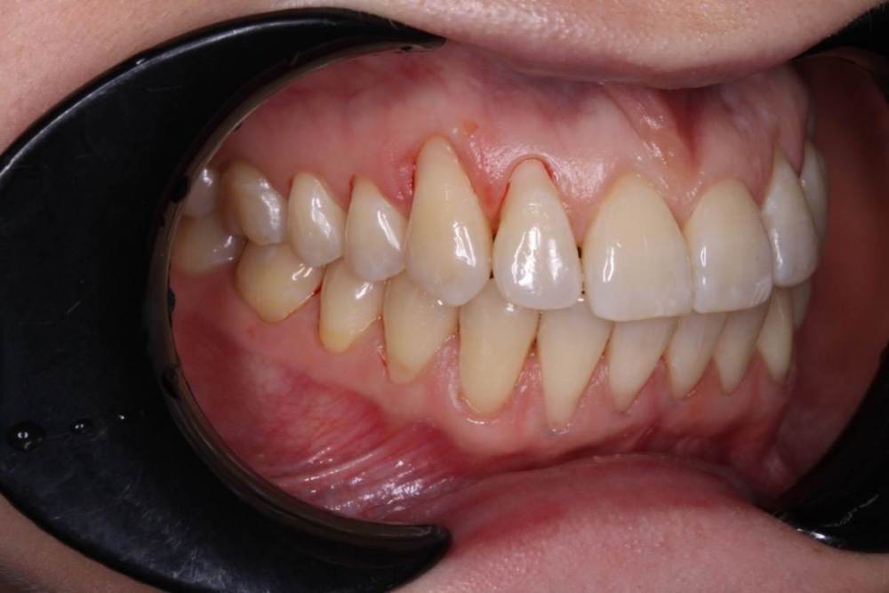
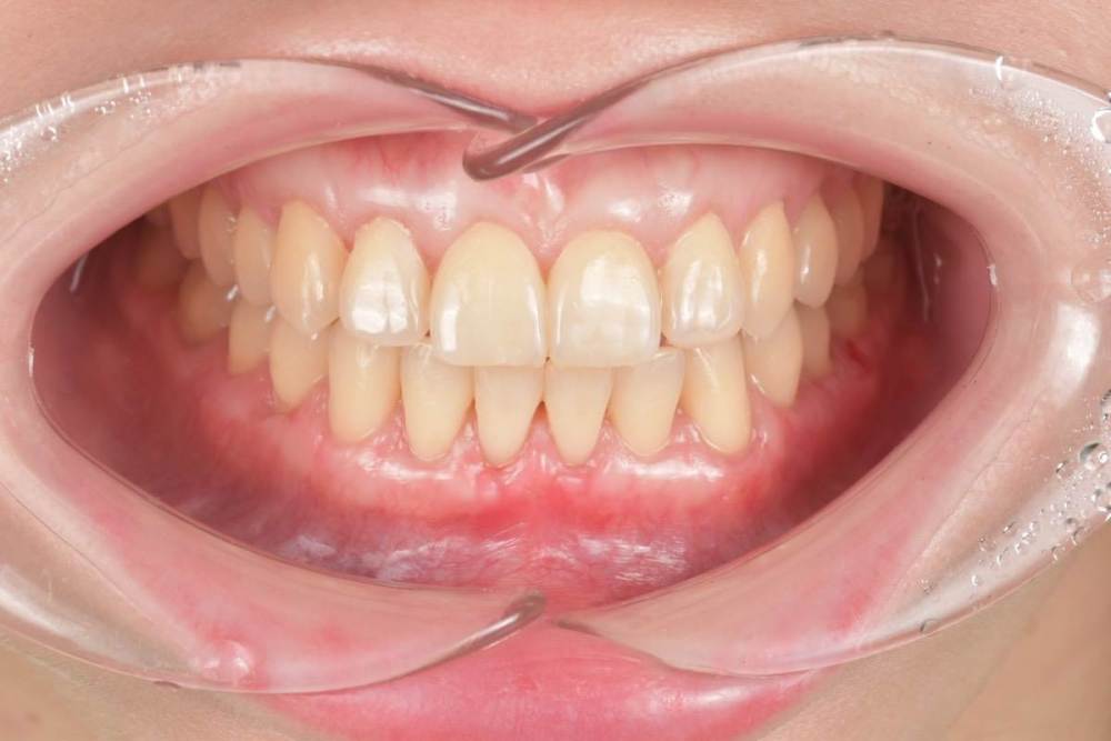
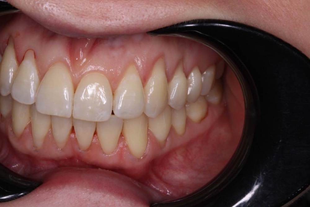
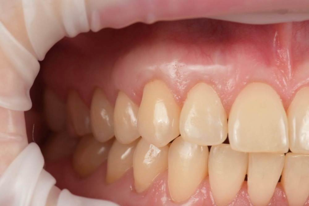
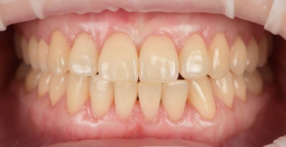
Santi Опубликовано 4 ноября, 2023 Поделиться Опубликовано 4 ноября, 2023 Реферативный пациент. Фото до ортодонтии нету. Закрытие рецессий тоннелем верхняя и нижняя челюсть. 5 1 Ссылка на комментарий
Santi Опубликовано 4 ноября, 2023 Автор Поделиться Опубликовано 4 ноября, 2023 1 1 Ссылка на комментарий
Женька Опубликовано 4 ноября, 2023 Поделиться Опубликовано 4 ноября, 2023 Сколько времени между верхом и низом? и есть фото донорской зоны после второй операции?) Ссылка на комментарий
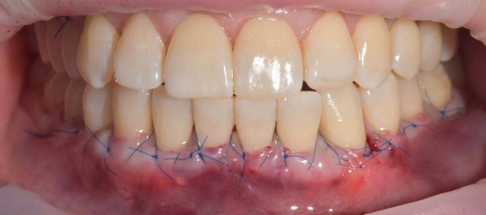
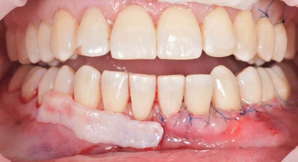
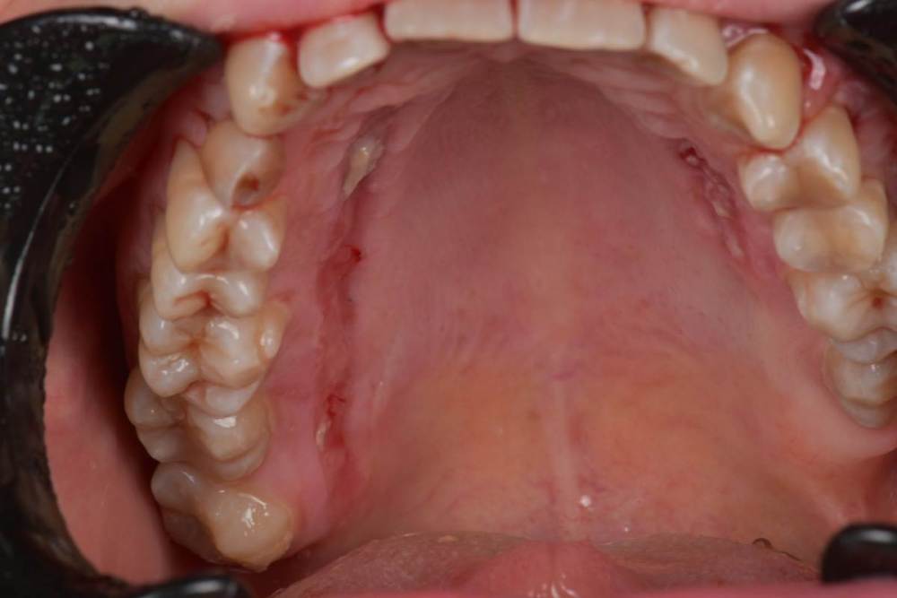
Santi Опубликовано 4 ноября, 2023 Автор Поделиться Опубликовано 4 ноября, 2023 @Женька 2 месяца ) но я не ставил рамки. Не , обычная зона как десятки выложенных. Что-то типа. Перекрываю композитом Ссылка на комментарий
Aquarius Опубликовано 4 ноября, 2023 Поделиться Опубликовано 4 ноября, 2023 Красивая работа. Композитом текучим просто проливаете и все? Без каких либо швов? Ссылка на комментарий
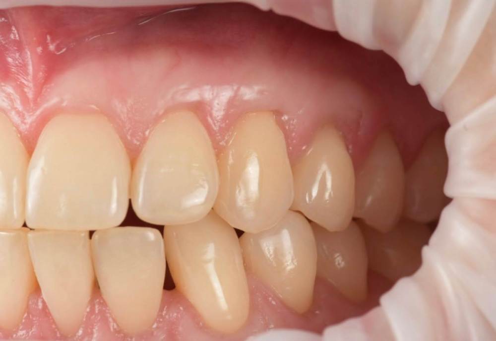
Женька Опубликовано 4 ноября, 2023 Поделиться Опубликовано 4 ноября, 2023 3 часа назад, Santi сказал: 2 месяца ) да не, я не об этом Я про то, как скоро вы от сделанного верха начали делать низ. Донорская зона просто великолепно выглядит... ума не приложу, как так всего двух полосок хватило на верх+низ с небольшой разницей во времени? Ссылка на комментарий
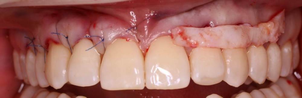
Santi Опубликовано 4 ноября, 2023 Автор Поделиться Опубликовано 4 ноября, 2023 @Женька это с другой пациент , но там аналогичная ситуация ситуация) Стараюсь не трогать вторую сторону и брать шире , а через пару месяцев другая сторона @Aquarius Пасиб) сначала швы, на них композит. Снимаю на 14 день Ссылка на комментарий
Женька Опубликовано 4 ноября, 2023 Поделиться Опубликовано 4 ноября, 2023 1 час назад, Santi сказал: Стараюсь не трогать вторую сторону и брать шире , а через пару месяцев другая сторона То есть на 10 зубов к примеру берёте широкий трансплантат и делите на 2 полоски? и через 2 месяца идёте на другую челюсть? Ссылка на комментарий
Santi Опубликовано 4 ноября, 2023 Автор Поделиться Опубликовано 4 ноября, 2023 @Женька да ) 1 1 Ссылка на комментарий
Рекомендуемые сообщения
Для публикации сообщений создайте учётную запись или авторизуйтесь
Вы должны быть пользователем, чтобы оставить комментарий
Создать аккаунт
Зарегистрируйте новый аккаунт в нашем сообществе. Это очень просто!
Регистрация нового пользователяВойти
Уже есть аккаунт? Войти в систему.
Войти