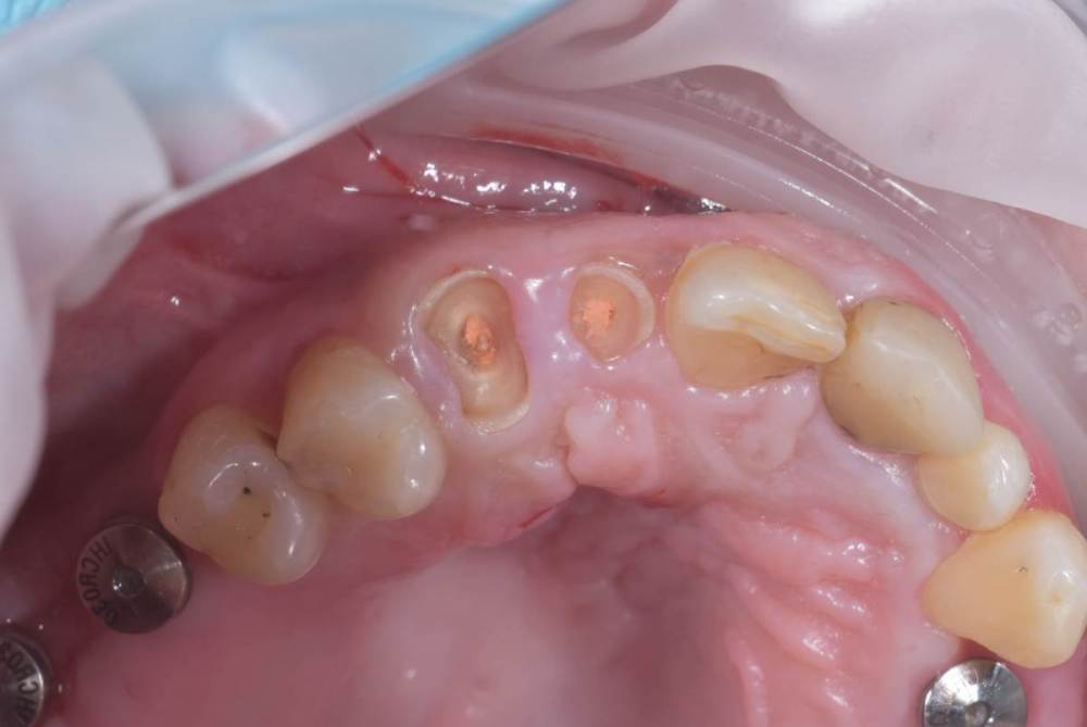
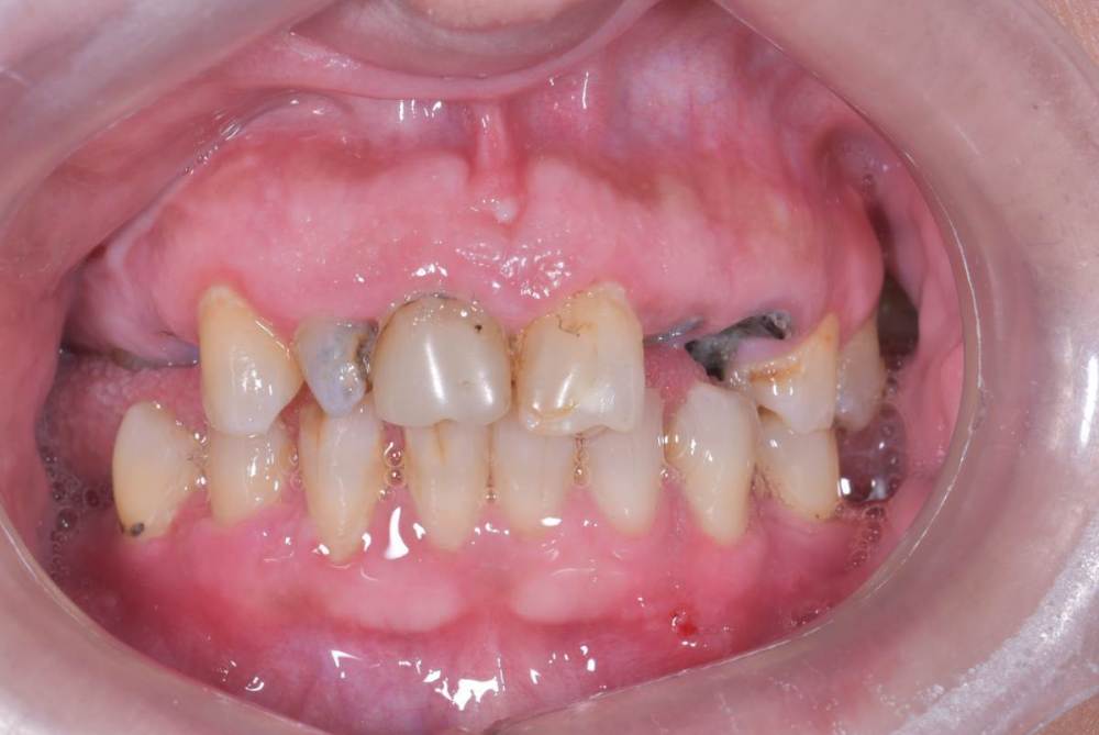
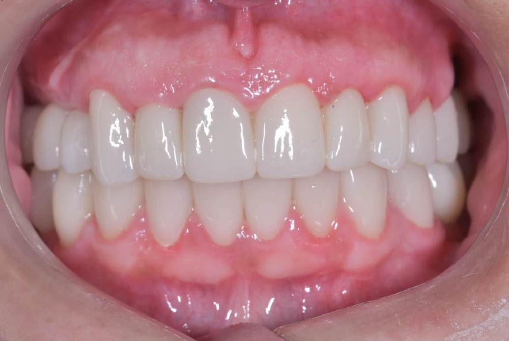
TIGER Опубликовано 3 ноября, 2023 Поделиться Опубликовано 3 ноября, 2023 Периохирургия способна на чудеса)не спешите удалять зубы 5 1 Ссылка на комментарий
АнтонТЛТ Опубликовано 3 ноября, 2023 Поделиться Опубликовано 3 ноября, 2023 А чего зениты не выровнены? Ссылка на комментарий
TIGER Опубликовано 3 ноября, 2023 Автор Поделиться Опубликовано 3 ноября, 2023 @АнтонТЛТ без фанатизма;)всё строго по запросам и финансам пациента Ссылка на комментарий
АнтонТЛТ Опубликовано 3 ноября, 2023 Поделиться Опубликовано 3 ноября, 2023 Ну раз 12 удлинял, то можно было удлинить с аркой зенита и сделать как 22 Ссылка на комментарий
TIGER Опубликовано 3 ноября, 2023 Автор Поделиться Опубликовано 3 ноября, 2023 @АнтонТЛТ Антон честно,лень было)Пациентка довольна как слон,эстетические требования приемлимые.Поэтому не стал навязывать доп манипуляцию.Поэтому тут считаю результат приемлимый Ссылка на комментарий
Рекомендуемые сообщения
Для публикации сообщений создайте учётную запись или авторизуйтесь
Вы должны быть пользователем, чтобы оставить комментарий
Создать аккаунт
Зарегистрируйте новый аккаунт в нашем сообществе. Это очень просто!
Регистрация нового пользователяВойти
Уже есть аккаунт? Войти в систему.
Войти