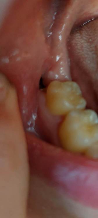
Мария4 Опубликовано 2 ноября, 2023 Поделиться Опубликовано 2 ноября, 2023 Здравствуйте. 2 недели назад была удалена восьмерка. Сейчас обратила внимание, что у края лунки есть какое-то скопление чего-то беловатого, чего раньше я не наблюдала. Выполоскать не получается. Основная масса скапливается за седьмым зубом. Эту массу видно, если оттянуть щеку и смотреть сбоку. Я не могу понять это скопление еды или гноя, посторонних вкусов во рту нет, иногда ноет место удаления зуба Ссылка на комментарий
kramer Опубликовано 2 ноября, 2023 Поделиться Опубликовано 2 ноября, 2023 Здравствуйте, промывать лунку с помощью ирригатора или обычного шприца, заростет за несколько недель 1 1 Ссылка на комментарий
Рекомендуемые сообщения
Для публикации сообщений создайте учётную запись или авторизуйтесь
Вы должны быть пользователем, чтобы оставить комментарий
Создать аккаунт
Зарегистрируйте новый аккаунт в нашем сообществе. Это очень просто!
Регистрация нового пользователяВойти
Уже есть аккаунт? Войти в систему.
Войти