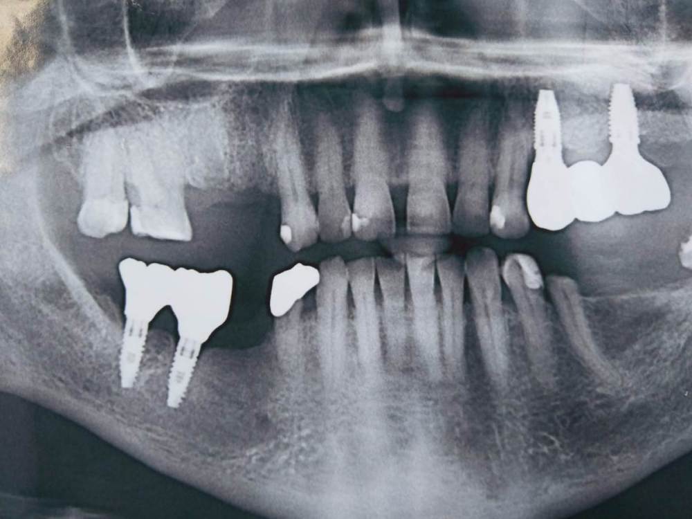
ssmokie Опубликовано 30 октября, 2023 Поделиться Опубликовано 30 октября, 2023 (изменено) Добрый день всем. Пациент Ж 70лет Ситуация - подготовка к имплантации верхних правых 4,5. Нижней правой 5. Верхние правые 6, 7, внешне в хорошем состоянии не считая корневого кариеса на 6 со стороны 7. Вариант 1. Оставить 6 если кто-то возьмется его вылечить, кариес заходит ниже уровня десны. Вариант 2. Удалить 6 и уже вставлять импланты на 4,6 и 3 коронки. Хочется сохранить 6ку если это целесообразно и возможно. Может быть с коронкой на корень например. В районной поликлинике такое лечить отказались. Может, кто-то возьмется или посоветует доктора в Санкт-Петербурге. Если возможно оцените примерную стоимость работы по лечению пожалуйста, тк от этого зависит есть-ли экономический смысл лечить или сразу ставить 3 коронки на 2 импланта. Изменено 30 октября, 2023 пользователем ssmokie Ссылка на комментарий
АнтонТЛТ Опубликовано 30 октября, 2023 Поделиться Опубликовано 30 октября, 2023 Удалить и поставить имплантаты как слева 4, 6 3 Ссылка на комментарий
Рекомендуемые сообщения
Для публикации сообщений создайте учётную запись или авторизуйтесь
Вы должны быть пользователем, чтобы оставить комментарий
Создать аккаунт
Зарегистрируйте новый аккаунт в нашем сообществе. Это очень просто!
Регистрация нового пользователяВойти
Уже есть аккаунт? Войти в систему.
Войти