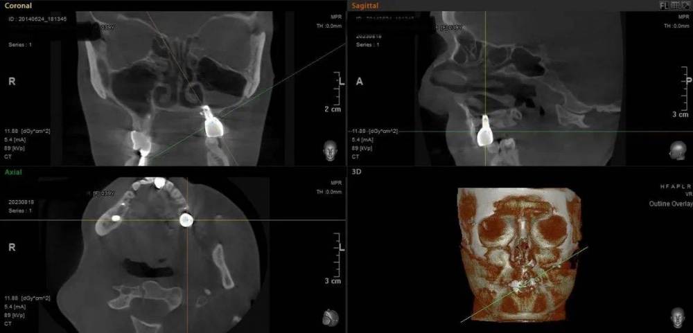
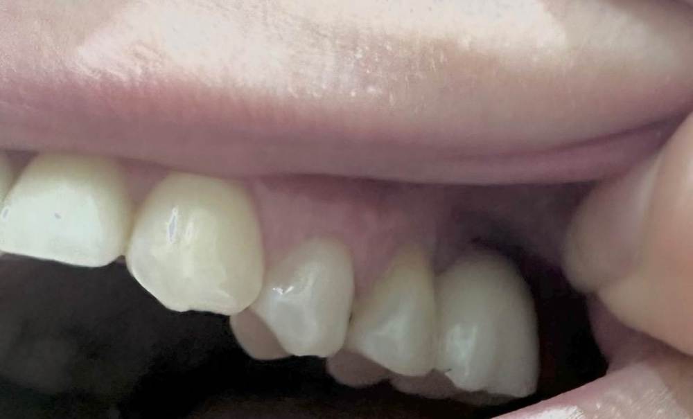
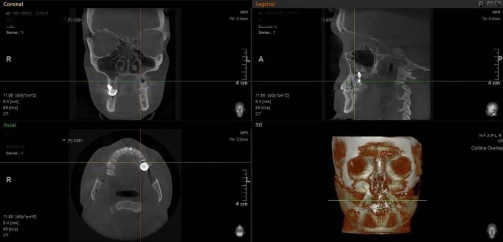
Mitt Опубликовано 29 октября, 2023 Поделиться Опубликовано 29 октября, 2023 (изменено) Здравствуйте. Ж., 39 лет. Так получилось, что мне нужно решить, что делать с имплантатом на месте верхней шестерки. А тк я не обладаю необходимой компетенцией, очень нуждаюсь в подсказках специалистов. Дано: 1. 2014-2015 гг - удаление зуба, синус лифтинг, имплантация с пластикой мягких тканей, установка коронки. 2. 2015 - 2019 гг - проблема контактов с рядом находящимися пятым и седьмым зубами, воспаление десны вокруг 5, имплантант, 7. Решалось путем композитных «накладок» на 5 и 7 зубы. 3. 2019 - 2023 гг - пластика мягких тканей, удаление 7 зуба с подсыпкой графта, еще штуки 3 или 4 пластики, включая вестибулопластику, временная коронка. 4. 2023 г - установка новой постоянной коронки, 5 месяцев тишины, с августа гной в районе имплантата (десна спокойна). Проблемы общие для всех временных периодов - тандем с пазухой и периодические ближе к постоянным боли разной интенсивности и локации (пазуха, 7 зуб, место от 7 зуба, стенка носа, кость), мне сложно лоцировать( Мне нужно выбрать, что делать дальше: попробовать почистить имплантат, или уже отпустить=удалить. Вариант почистить и еще сделать пластику пока не рассматриваю, тк после стольких пластик частичная парастезия неба. Может быть, кто-то подскажет, к какому решению в итоге прийти.. P.s. Я не знаю , какие скрины кт нужны( кт 08.2023 Изменено 29 октября, 2023 пользователем Mitt Ссылка на комментарий
kramer Опубликовано 29 октября, 2023 Поделиться Опубликовано 29 октября, 2023 Здравствуйте, скорее всего без очного осмотра не получится дать совет. Но наверное прогноз для импланта плохой. Ссылка на комментарий
Mitt Опубликовано 30 октября, 2023 Автор Поделиться Опубликовано 30 октября, 2023 11 часов назад, kramer сказал: Здравствуйте, скорее всего без очного осмотра не получится дать совет. Но наверное прогноз для импланта плохой. Спасибо за ответ. Он неподвижен, пластики даже сформировали сосочек. Но со стороны пятого зуба тоже гной. Пожалуй, я тоже не особо верю в чудесное исцеление. Любое действо - просто отсрочка еще месяцев на 6. Есть ли в этом смысл?. Ранее поднимала этот вопрос: удалить и начать сначала. Году в 2020 удалила бы без сомнений. Но после стольких пластик (каждый раз как феникс), без твердой позиции/рекомендации хирурга на удаление, не могу решиться. Получается, что удалить - мое желание. Был еще у меня вариант - ничего не делать, пусть уже сам выпадет Ссылка на комментарий
Рекомендуемые сообщения
Для публикации сообщений создайте учётную запись или авторизуйтесь
Вы должны быть пользователем, чтобы оставить комментарий
Создать аккаунт
Зарегистрируйте новый аккаунт в нашем сообществе. Это очень просто!
Регистрация нового пользователяВойти
Уже есть аккаунт? Войти в систему.
Войти