Перейти к содержанию
Стоматология для всех

Можно ли так менять пломбы?


Jungle

Рекомендуемые сообщения

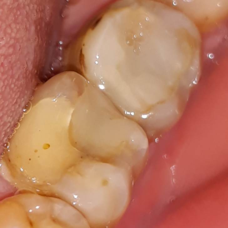
Здравствуйте. Врач провел замену пломбы на 36 зубе в связи с нарушением плотности ее прилегания. Попутно обнаружил щель между большой пломбой (вкладкой) на 37 зубе и самим зубом и поставил там латку(видно сбоку, между 36 и 37 зубами) . Но и на 36 зубе, как видно на фото, похоже, что пломба не заменена целиком, а по сути стоит латка (на зубе видно 3 разных цвета). Качественное ли такое лечение и не будет ли проникать инфекция в стыки этих пломб? Надо ли переделывать? Насколько я понимаю, зуб должна закрывать одна пломба, а не лоскутное одеяло из пломб. 20231022_101857.jpg.b3ef2fd7dc53d1014e43838d863421f9.jpgСпасибо.

Ссылка на комментарий

Для публикации сообщений создайте учётную запись или авторизуйтесь

Вы должны быть пользователем, чтобы оставить комментарий

Создать аккаунт

Зарегистрируйте новый аккаунт в нашем сообществе. Это очень просто!

Регистрация нового пользователя

Войти

Уже есть аккаунт? Войти в систему.

Войти
×
×
  • Создать...
Вверх