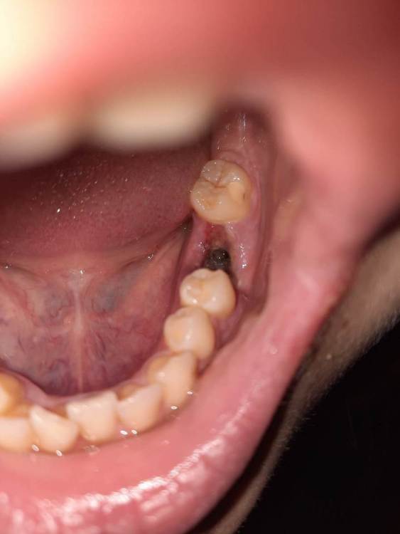
crstty Опубликовано 4 октября, 2023 Поделиться Опубликовано 4 октября, 2023 (изменено) День добрый. День назад удалила зуб, не уверена, появился ли в лунке кровяной сгусток. Сейчас лунка выглядит таким образом. Начала покрываться сероватым налетом (?). Есть небольшая ноющая боль, но сильно не беспокоит. Как-то слишком начиталась всего и напереживалась, подскажите, нормально ли все? Изменено 4 октября, 2023 пользователем crstty Ссылка на комментарий
Irouil Опубликовано 4 октября, 2023 Поделиться Опубликовано 4 октября, 2023 Если не болит - все в порядке, если начнёт выраженно болеть - на осмотр к лечащему врачу 2 Ссылка на комментарий
Рекомендуемые сообщения
Для публикации сообщений создайте учётную запись или авторизуйтесь
Вы должны быть пользователем, чтобы оставить комментарий
Создать аккаунт
Зарегистрируйте новый аккаунт в нашем сообществе. Это очень просто!
Регистрация нового пользователяВойти
Уже есть аккаунт? Войти в систему.
Войти