Большой Зеленый Опубликовано 30 сентября, 2023 Поделиться Опубликовано 30 сентября, 2023 7 1 3 Ссылка на комментарий
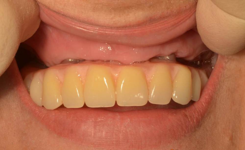
Irouil Опубликовано 1 октября, 2023 Поделиться Опубликовано 1 октября, 2023 Чего-то я не понял - КТ с зубами ещё, а шаблон на беззубую челюсть... Ссылка на комментарий
Большой Зеленый Опубликовано 2 октября, 2023 Автор Поделиться Опубликовано 2 октября, 2023 Зубы удалил предварительно. Толкать импланты в гной нехорошо. Ссылка на комментарий
Мартовский Опубликовано 2 октября, 2023 Поделиться Опубликовано 2 октября, 2023 Там везде гной был или только в 14? Лучше зубы использовать для первого шаблона для правильной постановки пинов. А потом удалить и поставить второй шаблон, когда ложе под пины создано, тогда точно промашки не будет. 1 Ссылка на комментарий
Большой Зеленый Опубликовано 3 октября, 2023 Автор Поделиться Опубликовано 3 октября, 2023 Везде воспаление было. зубы оставшиеся точно не помощники были. Ссылка на комментарий
Рекомендуемые сообщения
Для публикации сообщений создайте учётную запись или авторизуйтесь
Вы должны быть пользователем, чтобы оставить комментарий
Создать аккаунт
Зарегистрируйте новый аккаунт в нашем сообществе. Это очень просто!
Регистрация нового пользователяВойти
Уже есть аккаунт? Войти в систему.
Войти