Перейти к содержанию
Стоматология для всех

Кариес или пигментация?


hediji

Рекомендуемые сообщения

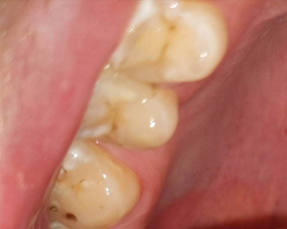
Здравствуйте, краем глаза заметил у себя на верхнем зубе потемнение.  Решил сфотографировать, и увидел что это большое пятно.  В свое время мне вроде бы стоматолог говорила что на этом зубе у меня потемнение из-за пигментации, а не кариес. Это было пару лет назад, и я не уверен что правильно помню.

По фото можно определить, это кариес или пятно из-за пигментации? Или нужно идти на очный осмотр? Если это поверхностный кариес, можно ли его залечить с помощью методов вроде ICON? Сам зуб никак не беспокоит, не болит, на горячее\холодное не реагирует, при жевании ни боли, ни дискомфорта нет. Другие зубы тоже не беспокоят.

На фото верхняя челюсть, зуб с пятном - 7ка, 6ки нету, изза ракурса не видно. 

Коричневые полоски - это видимо налет или зубной камень, их у меня много,  они на всех поверхностях зубов есть. Не знаю откуда, курение\кофе\плохая вода\гигена.

Скрытый текст

На зуб в полосках на противоположной стороне не обращайте внимания, это  остатки расколотого депульпированого зуба, там тканей зуба почти нет, все остальное пломба. Он не беспокоит, перелечивать дорого, опасно из-за близости к пазухе и сложно.

Форум пережимает картинки, добавил фото крупным планом

IMG_20230924_22131.png.922265458550373f9ef329b5b7380af5.png

IMG_20230924_220608.jpg

IMG_20230924_220611.jpg

IMG_20230924_222833.jpg

IMG_20230924_222423.jpg

Изменено пользователем hediji
Ссылка на комментарий
10 часов назад, hediji сказал:

По фото можно определить, это кариес или пятно из-за пигментации?

нет, нужен очный осмотр, это или кариес или фасетки стирания

10 часов назад, hediji сказал:

Или нужно идти на очный осмотр?

нужно

 

Ссылка на комментарий

Для публикации сообщений создайте учётную запись или авторизуйтесь

Вы должны быть пользователем, чтобы оставить комментарий

Создать аккаунт

Зарегистрируйте новый аккаунт в нашем сообществе. Это очень просто!

Регистрация нового пользователя

Войти

Уже есть аккаунт? Войти в систему.

Войти
×
×
  • Создать...
Вверх