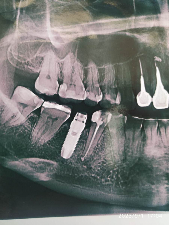
gum Опубликовано 18 сентября, 2023 Поделиться Опубликовано 18 сентября, 2023 Здравствуйте, коллеги подскажите пожалуйста, что за имплантат? Ссылка на комментарий
stommm Опубликовано 19 сентября, 2023 Поделиться Опубликовано 19 сентября, 2023 Попробуйте открутить супраструктуру. Прицелка без нее , фото платформы импланта. Больше шансов опознать будет Ссылка на комментарий
АнтонТЛТ Опубликовано 19 сентября, 2023 Поделиться Опубликовано 19 сентября, 2023 Какой-то бранемарк Ссылка на комментарий
Рекомендуемые сообщения
Для публикации сообщений создайте учётную запись или авторизуйтесь
Вы должны быть пользователем, чтобы оставить комментарий
Создать аккаунт
Зарегистрируйте новый аккаунт в нашем сообществе. Это очень просто!
Регистрация нового пользователяВойти
Уже есть аккаунт? Войти в систему.
Войти