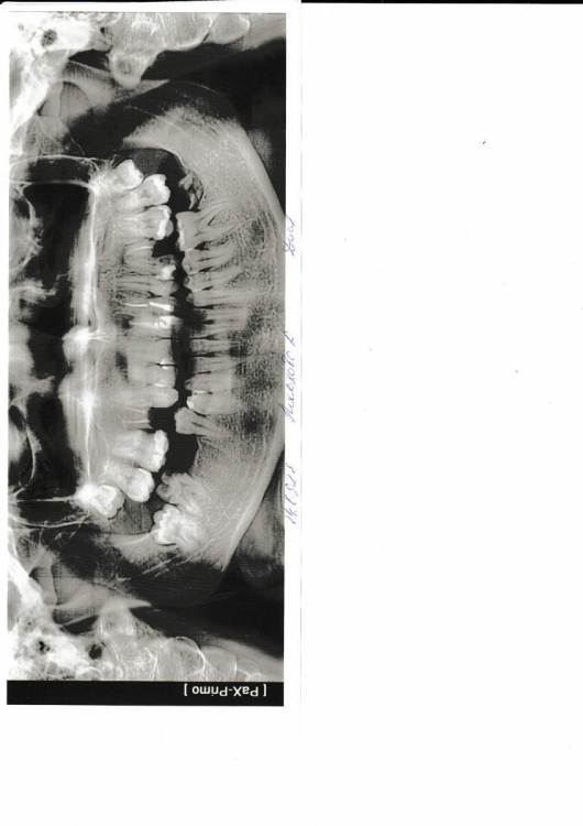
Оксана18 Опубликовано 14 сентября, 2023 Поделиться Опубликовано 14 сентября, 2023 Здравствуйте! Подскажите пожалуйста, однозначно удалять все 4 корня у разрушенных зубов? Они мёртвые? Нужно вставить зубы. И на снимке, справа вверху зуб пятый по счёту, можно ли как то сохранить, если обе боковые стенки разрушены, держится на передней и задней(( Ссылка на комментарий
Женька Опубликовано 14 сентября, 2023 Поделиться Опубликовано 14 сентября, 2023 @Оксана18 здравсвтуйте. Все корни однозначно удалять. 1 час назад, Оксана18 сказал: можно ли как то сохранить как говорится - поздно пить Боржоми Ссылка на комментарий
Doc Опубликовано 15 сентября, 2023 Поделиться Опубликовано 15 сентября, 2023 Лет десять назад бы спросили, можно было бы еще о чем-то поговорить. Ссылка на комментарий
Рекомендуемые сообщения
Для публикации сообщений создайте учётную запись или авторизуйтесь
Вы должны быть пользователем, чтобы оставить комментарий
Создать аккаунт
Зарегистрируйте новый аккаунт в нашем сообществе. Это очень просто!
Регистрация нового пользователяВойти
Уже есть аккаунт? Войти в систему.
Войти