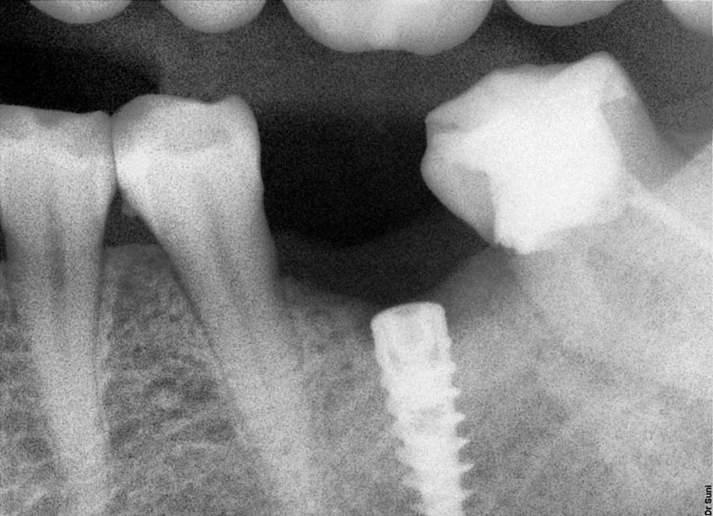
bilal Опубликовано 2 сентября, 2023 Поделиться Опубликовано 2 сентября, 2023 Кто нибудь может подсказать что за имплант? Ссылка на комментарий
Irouil Опубликовано 2 сентября, 2023 Поделиться Опубликовано 2 сентября, 2023 Что-то шестигранное, альфа SPI или любые её копии 1 Ссылка на комментарий
Irouil Опубликовано 6 мая, 2025 Поделиться Опубликовано 6 мая, 2025 Вопрос тот же) Ссылка на комментарий
АнтонТЛТ Опубликовано 6 мая, 2025 Поделиться Опубликовано 6 мая, 2025 Лучше прицельный сделать и сфоткать интерфейс шахты имплантата. По оптг больше похож на астру. Ссылка на комментарий
Irouil Опубликовано 7 мая, 2025 Поделиться Опубликовано 7 мая, 2025 21 час назад, АнтонТЛТ сказал: Лучше прицельный сделать и сфоткать интерфейс шахты имплантата. По оптг больше похож на астру. Да, тоже подумал про астру по снимку, но фдм такого там вроде нет Ссылка на комментарий
Irouil Опубликовано 7 мая, 2025 Поделиться Опубликовано 7 мая, 2025 10 минут назад, Irouil сказал: Да, тоже подумал про астру по снимку, но фдм такого там вроде нет А вот и нет, спасибо @АнтонТЛТ, у EV новые цвета ФДМ) Ссылка на комментарий
Doc Опубликовано 9 мая, 2025 Поделиться Опубликовано 9 мая, 2025 А кто-то еще пользуется Астрой? У нас такие проблемы с поставками запчастей, что я, будучи раньше убежденным адептом Астры, сейчас от нее полностью отказался. Приходят люди, которым ставили 10-15 лет назад и невозможно ни одну запчасть заказать. На всю Россию один-два продавца, да и те не представители, а просто торгуют по инерции. Если кто знает где брать запчасти на Астру, свистните, пожалуйста. А то мои последние два дублера и трансфера уже на вес золота, отправлял их даже в другие города попользоваться. Хорошо, что вернули. Ссылка на комментарий
Doc Опубликовано 9 мая, 2025 Поделиться Опубликовано 9 мая, 2025 В 06.05.2025 в 17:59, Irouil сказал: Отвертка такой длины есть в наличии? Тут, похоже, по локоть влезть можно. :))) Ссылка на комментарий
Irouil Опубликовано 9 мая, 2025 Поделиться Опубликовано 9 мая, 2025 @Doc могу скинуть контакт менеджера, с которой работал я пока жил в Петербурге, может поможет чем-то А тут имплант, на мой взгляд, лучше все равно удалить/заглушить, чем протезировать, но коллега спросил, я лишь пытаюсь помочь) Под OsseoSpeed TX должна подойти протетика от Кореи, но только на лилак (фиолетовую) платформу (осстем регуляр, к примеру) Ссылка на комментарий
Doc Опубликовано 10 мая, 2025 Поделиться Опубликовано 10 мая, 2025 15 часов назад, Irouil сказал: могу скинуть контакт менеджера, с которой работал я пока жил в Петербурге, может поможет чем-то Скиньте, конечно, спасибо. Но в Питере мы всех знаем и никто помочь не может. Они, кстати, еще и регулярно уходят из Астры, видя бесперспективность торговли. Ссылка на комментарий
Fin Опубликовано 10 мая, 2025 Поделиться Опубликовано 10 мая, 2025 19 часов назад, Irouil сказал: @Doc могу скинуть контакт менеджера, с которой работал я пока жил в Петербурге, может поможет чем-то А тут имплант, на мой взгляд, лучше все равно удалить/заглушить, чем протезировать, но коллега спросил, я лишь пытаюсь помочь) Под OsseoSpeed TX должна подойти протетика от Кореи, но только на лилак (фиолетовую) платформу (осстем регуляр, к примеру) Может на супер тонком абатменте прокатит. Выглядит конечно супер глубоко. Имею подобный опыт руководства. Ссылка на комментарий
Doc Опубликовано 10 мая, 2025 Поделиться Опубликовано 10 мая, 2025 18 часов назад, Fin сказал: Может на супер тонком абатменте прокатит. Выглядит конечно супер глубоко. Имею подобный опыт руководства. Теоретически можно выпутаться из любой ситуации. У Астры есть 20-градусные абатменты высотой 6 мм, они могут помочь. Но только, пардон за мой французский, это насколько же нужно бояться элементарной костной пластики, чтобы зафигачивать имплантат на такую глубину?! Да и кусать такой коронкой уже никогда ничего нельзя будет при таком-то плече! Ссылка на комментарий
Fin Опубликовано 10 мая, 2025 Поделиться Опубликовано 10 мая, 2025 (изменено) 2 часа назад, Doc сказал: Теоретически можно выпутаться из любой ситуации. У Астры есть 20-градусные абатменты высотой 6 мм, они могут помочь. Но только, пардон за мой французский, это на сколько же нужно бояться элементарной костной пластики, чтобы зафигачивать имплантат на такую глубину?! Да и кусать такой коронкой уже никогда ничего нельзя будет при таком-то плече! Согласен с вами, но к примеру в моем случае не боязнь костной пластики была, а поиск торка в одномоментной имплантации и "тупняк". В итоге получил похожую ситуацию и 6 мм десны над шейкой Импланта. Выруливал шаровидной отвёрткой и упиленным абатментом. А доставать имплант совсем не хочется уже(( Изменено 10 мая, 2025 пользователем Fin Ссылка на комментарий
Doc Опубликовано 11 мая, 2025 Поделиться Опубликовано 11 мая, 2025 12 часов назад, Fin сказал: Согласен с вами, но к примеру в моем случае не боязнь костной пластики была, а поиск торка в одномоментной имплантации и "тупняк". В итоге получил похожую ситуацию и 6 мм десны над шейкой Импланта. Выруливал шаровидной отвёрткой и упиленным абатментом. А доставать имплант совсем не хочется уже(( У всех бывают не самые удачные работы. Это нормально! Главное, чтобы не все были такие и чтобы доктор делал правильные выводы 3 Ссылка на комментарий
Irouil Опубликовано 11 мая, 2025 Поделиться Опубликовано 11 мая, 2025 Тут винт на глаз миллиметров 12 (судя по глубине шахты), от платформы до зенита будет порядка 80% его длины, это слишком много на мой взгляд. Надо, конечно, смотреть в целом что за пациент, но если соматика без криминала, то один из вариантов - удалять, второй - глушить/спилить и пытаться установить другой имплант в обход, в целом можно пробовать даже под ним установить винт длиной в 7 мм, если удастся регенироровать достаточный объем тканей в крестальном отделе, но очень важно исключить инфицирование от импланта/остаточного фрагмента Вариант удаления наверное проще, можно одномоментно крутить в апикальную кортикалку и IDR-подобную аугментацию вокруг, но тут нужно смотреть что там с бугром. 1 Ссылка на комментарий
Рекомендуемые сообщения
Для публикации сообщений создайте учётную запись или авторизуйтесь
Вы должны быть пользователем, чтобы оставить комментарий
Создать аккаунт
Зарегистрируйте новый аккаунт в нашем сообществе. Это очень просто!
Регистрация нового пользователяВойти
Уже есть аккаунт? Войти в систему.
Войти