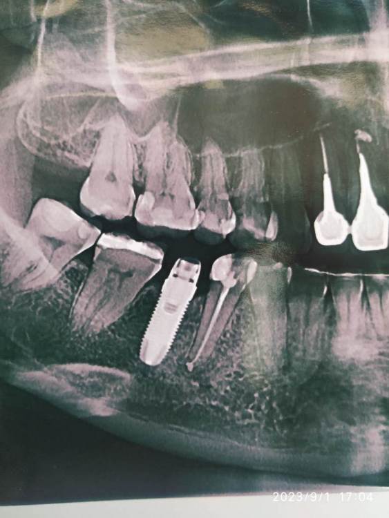
gum Опубликовано 1 сентября, 2023 Поделиться Опубликовано 1 сентября, 2023 Здравствуйте. Подскажите пожалуйста что за имплантат? Ссылка на комментарий
Nazim_NV86 Опубликовано 19 октября, 2023 Поделиться Опубликовано 19 октября, 2023 Нобель кажется Ссылка на комментарий
Рекомендуемые сообщения
Для публикации сообщений создайте учётную запись или авторизуйтесь
Вы должны быть пользователем, чтобы оставить комментарий
Создать аккаунт
Зарегистрируйте новый аккаунт в нашем сообществе. Это очень просто!
Регистрация нового пользователяВойти
Уже есть аккаунт? Войти в систему.
Войти