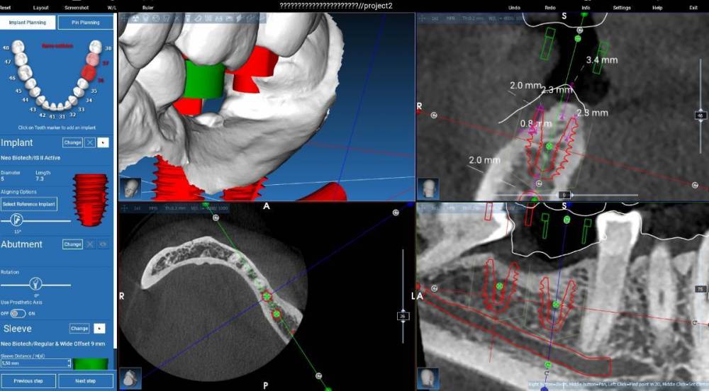
Fin Опубликовано 21 августа, 2023 Поделиться Опубликовано 21 августа, 2023 Здравствуйте коллеги. Появился такой клинический случай. Как вы считаете поможет ли установка 2 импл. штрауман 4.1 на 6 с полированной шейкой 1.8 в данной ситуации? На скриншотах представлен необиотек это как второй вариант 4.6 -4х 7.3 с полировкой 0,5 и 4.7- 5х7.3 с полировкой 1.3 . Штрауман будет на 0,5 мм выше коронально. Спасибо Ссылка на комментарий
koreandr Опубликовано 21 августа, 2023 Поделиться Опубликовано 21 августа, 2023 В дистальный вроде как WN 6 мм войдет. 1 Ссылка на комментарий
stommm Опубликовано 21 августа, 2023 Поделиться Опубликовано 21 августа, 2023 Как вариант оба 5х7.3. У 46 шейку повыше. И 47 лучше вестибулярнее. Дефицит десны язычно потом намного сложнее решить будет. 1 Ссылка на комментарий
Fin Опубликовано 21 августа, 2023 Автор Поделиться Опубликовано 21 августа, 2023 (изменено) 1 час назад, koreandr сказал: В дистальный вроде как WN 6 мм войдет. Спасибо.Вы имеете ввиду диаметр 4.8? Я в Штрауманах плоховато разбираюсь, но для таких клин случаев нужно. 1 час назад, stommm сказал: Как вариант оба 5х7.3. У 46 шейку повыше. И 47 лучше вестибулярнее. Дефицит десны язычно потом намного сложнее решить будет. Благодарю. Оба Необиотека 5x7.3 с полировкой 1.3? Изменено 21 августа, 2023 пользователем Fin Ссылка на комментарий
koreandr Опубликовано 21 августа, 2023 Поделиться Опубликовано 21 августа, 2023 33 минуты назад, Fin сказал: Спасибо.Вы имеете ввиду диаметр 4.8? Так точно) Ссылка на комментарий
TIGER Опубликовано 21 августа, 2023 Поделиться Опубликовано 21 августа, 2023 @Fin регулярно ставлю 4 и 6 мм ,никаких проблем Ссылка на комментарий
stommm Опубликовано 21 августа, 2023 Поделиться Опубликовано 21 августа, 2023 6 часов назад, Fin сказал: Спасибо.Вы имеете ввиду диаметр 4.8? Я в Штрауманах плоховато разбираюсь, но для таких клин случаев нужно. Благодарю. Оба Необиотека 5x7.3 с полировкой 1.3? Я нео не работал, но в каталоге видел с 5.0 с шекой 2.3. Попробуйте его нарисовать в планировщике и посмотрите как встанет Ссылка на комментарий
TIGER Опубликовано 21 августа, 2023 Поделиться Опубликовано 21 августа, 2023 Для нео 7.3 кости надо 10 мм для заглуба Ссылка на комментарий
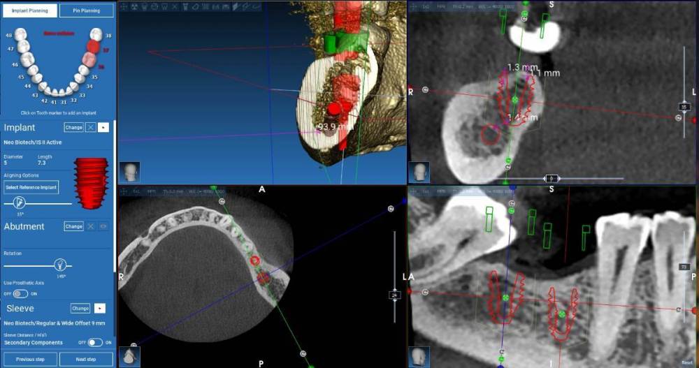
stommm Опубликовано 21 августа, 2023 Поделиться Опубликовано 21 августа, 2023 15 минут назад, TIGER сказал: Для нео 7.3 кости надо 10 мм для заглуба Зачем если шейка 2.3? Ну и судя по скринам влезает по высоте точно. Но тут коронок не видно. Выглядит будто 47 в перекрес выйдёт. Штрауманн тоже можно. Дистально 6 мм. Медиально 6 или 8 (рисовать с учётом коронки и выбирать) Ссылка на комментарий
TIGER Опубликовано 21 августа, 2023 Поделиться Опубликовано 21 августа, 2023 @stommm конусное соединение,при дефиците тканей лучше плоскость Ссылка на комментарий
stommm Опубликовано 21 августа, 2023 Поделиться Опубликовано 21 августа, 2023 Зачем фрезерованную шейку 2.3 мм топить на 2 мм субкрестально? Что бы 5 мм десны по высоте от уровня шероховатой части получить? Имхо вровень или как на картинке выше + десна будет более чем 1 Ссылка на комментарий
Fin Опубликовано 23 августа, 2023 Автор Поделиться Опубликовано 23 августа, 2023 21.08.2023 в 22:07, stommm сказал: Я нео не работал, но в каталоге видел с 5.0 с шекой 2.3. Попробуйте его нарисовать в планировщике и посмотрите как встанет 21.08.2023 в 21:06, TIGER сказал: @Fin регулярно ставлю 4 и 6 мм ,никаких проблем В моем случае поставили бы два 6мм штраумана? 21.08.2023 в 15:47, koreandr сказал: Так точно) Здравствуйте коллеги. Спасибо за ваши ответы. В планировщике, к сожалению нет импланта 5х7.3 с полировкой но по сути длина такая же. При планировании у пациентки получается перекрестный прикус- так и есть. Подгрузил прикус и немного поправил. Ссылка на комментарий
stommm Опубликовано 23 августа, 2023 Поделиться Опубликовано 23 августа, 2023 Попробуйте вестибулярнее нарисовать и поставить. проще с с десной потом работать будет.в области нижних 7 особенно актуально. Несколько таких кецсов с проблемами. Вестибулярно все супер, а язычно нарастить не удаётся или плохо удаётся. Язык давит Ссылка на комментарий
Fin Опубликовано 23 августа, 2023 Автор Поделиться Опубликовано 23 августа, 2023 5 часов назад, stommm сказал: Попробуйте вестибулярнее нарисовать и поставить. проще с с десной потом работать будет.в области нижних 7 особенно актуально. Несколько таких кецсов с проблемами. Вестибулярно все супер, а язычно нарастить не удаётся или плохо удаётся. Язык давит Имеете ввиду так? Всю кератинизированную слизистую придется смещать язычно. СДТ с апикальном смещением вестибулярно. Ссылка на комментарий
TIGER Опубликовано 24 августа, 2023 Поделиться Опубликовано 24 августа, 2023 20 часов назад, Fin сказал: В моем случае поставили бы два 6мм штраумана? Здравствуйте коллеги. Спасибо за ваши ответы. В планировщике, к сожалению нет импланта 5х7.3 с полировкой но по сути длина такая же. При планировании у пациентки получается перекрестный прикус- так и есть. Подгрузил прикус и немного поправил. конечно Ссылка на комментарий
Fin Опубликовано 11 сентября, 2023 Автор Поделиться Опубликовано 11 сентября, 2023 24.08.2023 в 10:26, TIGER сказал: конечно Подскажите пожалуйста где заказываете импланты? Ссылка на комментарий
TIGER Опубликовано 12 сентября, 2023 Поделиться Опубликовано 12 сентября, 2023 @Fin у Straumann Ссылка на комментарий
Fin Опубликовано 13 сентября, 2023 Автор Поделиться Опубликовано 13 сентября, 2023 12.09.2023 в 20:54, TIGER сказал: @Fin у Straumann Логично, спасибо 1 Ссылка на комментарий
Fin Опубликовано 13 сентября, 2023 Автор Поделиться Опубликовано 13 сентября, 2023 12.09.2023 в 20:54, TIGER сказал: @Fin у Straumann Как считаете принципиальная разница между поверхностью sla и sla active? Ссылка на комментарий
TIGER Опубликовано 14 сентября, 2023 Поделиться Опубликовано 14 сентября, 2023 @Fin вы знаете по моим замерам icq быстрее интеграция даже спинера, Ссылка на комментарий
Fin Опубликовано 14 сентября, 2023 Автор Поделиться Опубликовано 14 сентября, 2023 1 час назад, TIGER сказал: @Fin вы знаете по моим замерам icq быстрее интеграция даже спинера, Не понял, что вы имели ввиду.У SLA? Ссылка на комментарий
TIGER Опубликовано 16 сентября, 2023 Поделиться Опубликовано 16 сентября, 2023 @Fin sla active Ссылка на комментарий
Fin Опубликовано 16 сентября, 2023 Автор Поделиться Опубликовано 16 сентября, 2023 48 минут назад, TIGER сказал: @Fin sla active Спасибо, думаю дело не в скорости остеоинтегоации, а в ее силе.Все таки коротыши и площадь поверхности маленькая, нужно что бы кость хорошо держала. Ссылка на комментарий
TIGER Опубликовано 17 сентября, 2023 Поделиться Опубликовано 17 сентября, 2023 @Fin почитайте про sla active,и да время выжидания там больше у коротышей Ссылка на комментарий
Рекомендуемые сообщения
Для публикации сообщений создайте учётную запись или авторизуйтесь
Вы должны быть пользователем, чтобы оставить комментарий
Создать аккаунт
Зарегистрируйте новый аккаунт в нашем сообществе. Это очень просто!
Регистрация нового пользователяВойти
Уже есть аккаунт? Войти в систему.
Войти