Женька Опубликовано 19 августа, 2023 Поделиться Опубликовано 19 августа, 2023 ?️. Поймал себя на мысли, что испытываю проблемы с ушиванием+ССТ на формике. А именно-не устраивает результат "прирощённой" десны. Вроде на ушивании есть + к объёму, а на протезировании "яма" вестибулярно лишь немного уменьшилась. Подскажите, как лоскут формировать так, чтобы в слоёном пироге имплантат-формик-сст оставался объём слизистой, а не таял. Подумал, что может стоит при имплантации сразу формировать асл. А в кейсе я снова "согрешил" и поставил ультра-низкий формик. В этот раз без всяких послаблений лоскута и натяжения, кмк. Ссылка на комментарий
Aquarius Опубликовано 20 августа, 2023 Поделиться Опубликовано 20 августа, 2023 ССТ откуда берете? Ссылка на комментарий
Женька Опубликовано 20 августа, 2023 Автор Поделиться Опубликовано 20 августа, 2023 @Aquarius обычно зона бугра-нёба. Переход где происходит. Ссылка на комментарий
annda Опубликовано 21 августа, 2023 Поделиться Опубликовано 21 августа, 2023 А что значит - без всякого послабления лоскута? Ссылка на комментарий
Женька Опубликовано 21 августа, 2023 Автор Поделиться Опубликовано 21 августа, 2023 @annda вот тут всё по одному месту пошло в попытке закрыть эти низкие фдм. Ссылка на комментарий
annda Опубликовано 21 августа, 2023 Поделиться Опубликовано 21 августа, 2023 Так , возможно, все дело как раз в недостаточной мобилизации? Ссылка на комментарий
Женька Опубликовано 21 августа, 2023 Автор Поделиться Опубликовано 21 августа, 2023 @annda да не, там всё стык в стык пассивно ушилось. скорее это потому, что "ножка" в воздухе просто висела по сути, прикрепиться не к чему, вот и до свидания Ссылка на комментарий
Борис80 Опубликовано 31 августа, 2023 Поделиться Опубликовано 31 августа, 2023 (изменено) Евгений, а если попробовать и подсыпать и подсадить? Просто объема не хватает, трансплантат меньше требуемого Изменено 31 августа, 2023 пользователем Борис80 Ссылка на комментарий
Женька Опубликовано 7 сентября, 2023 Автор Поделиться Опубликовано 7 сентября, 2023 @Борис80 Вы про этот случай? Ссылка на комментарий
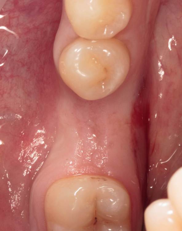
Женька Опубликовано 19 ноября, 2023 Автор Поделиться Опубликовано 19 ноября, 2023 (изменено) прошло 3 месяца. Изменено 19 ноября, 2023 пользователем Женька порядок фоток 1 Ссылка на комментарий
annda Опубликовано 23 ноября, 2023 Поделиться Опубликовано 23 ноября, 2023 Не жалуются на боли? Формик ниже края слизистой такое себе Ссылка на комментарий
Женька Опубликовано 23 ноября, 2023 Автор Поделиться Опубликовано 23 ноября, 2023 @annda неа, пока ни одной жалобы не услышал Ссылка на комментарий
Рекомендуемые сообщения
Для публикации сообщений создайте учётную запись или авторизуйтесь
Вы должны быть пользователем, чтобы оставить комментарий
Создать аккаунт
Зарегистрируйте новый аккаунт в нашем сообществе. Это очень просто!
Регистрация нового пользователяВойти
Уже есть аккаунт? Войти в систему.
Войти