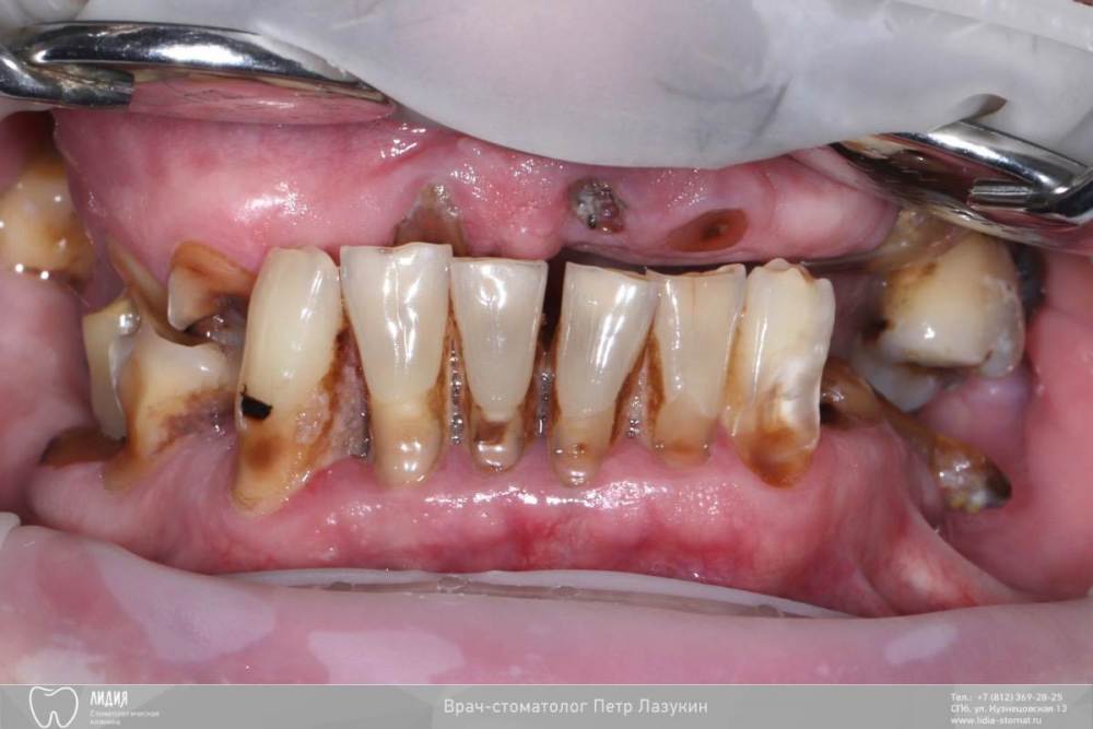
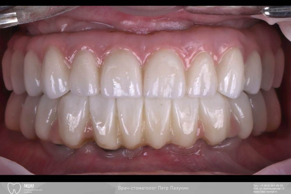
pit Опубликовано 9 августа, 2023 Поделиться Опубликовано 9 августа, 2023 Всем привет! Клинический случай тотального протезирования с опорой на имплантаты. Немедленная имплантация верхней и нижней челюсти с интервалом в 2 месяца. На верхней челюсти редукция, имплант 25 зуба транссинус. Отсроченная нагрузка, так как треснул гребень. Видео операции здесь https://youtu.be/YZM-A8we1WQ Постоянное протезирование ДЦ коронками с тирановыми каркасами. Верх с уровня МЮ, низ с уровня платформ. 2.mov 7 1 3 Ссылка на комментарий
Doc Опубликовано 9 августа, 2023 Поделиться Опубликовано 9 августа, 2023 Отлично, как обычно! 3 Ссылка на комментарий
Женька Опубликовано 9 августа, 2023 Поделиться Опубликовано 9 августа, 2023 Это ж пациентский раздел) караул! Ссылка на комментарий
wladdX Опубликовано 9 августа, 2023 Поделиться Опубликовано 9 августа, 2023 Перенесите во врачебный раздел, пожалуйста Ссылка на комментарий
Doc Опубликовано 9 августа, 2023 Поделиться Опубликовано 9 августа, 2023 1 час назад, wladdX сказал: Перенесите во врачебный раздел, пожалуйста Перенёс. Ссылка на комментарий
pit Опубликовано 10 августа, 2023 Автор Поделиться Опубликовано 10 августа, 2023 7 часов назад, Doc сказал: Перенёс. Спасибо! Мой косяк) Ссылка на комментарий
Большой Зеленый Опубликовано 15 августа, 2023 Поделиться Опубликовано 15 августа, 2023 Петя, а чего же не 6 вверху? Ссылка на комментарий
pit Опубликовано 15 августа, 2023 Автор Поделиться Опубликовано 15 августа, 2023 1 час назад, Большой Зеленый сказал: Петя, а чего же не 6 вверху? ОСЛ не захотел пациент, а в буграх маловато кости))) Ссылка на комментарий
Fin Опубликовано 15 августа, 2023 Поделиться Опубликовано 15 августа, 2023 (изменено) Здравствуйте Петр, подскажите какой был временный протез?И каким образом определяли высоту прикуса для временного протезирования? Изменено 15 августа, 2023 пользователем Fin Ссылка на комментарий
pit Опубликовано 16 августа, 2023 Автор Поделиться Опубликовано 16 августа, 2023 14 часов назад, Fin сказал: Здравствуйте Петр, подскажите какой был временный протез?И каким образом определяли высоту прикуса для временного протезирования? Н/ч металлоакрил, в/ч съемник, потом металлоакрил. Восковые валики и перекрестная гипсовка с временных коронок Ссылка на комментарий
Fin Опубликовано 16 августа, 2023 Поделиться Опубликовано 16 августа, 2023 7 часов назад, pit сказал: Н/ч металлоакрил, в/ч съемник, потом металлоакрил. Восковые валики и перекрестная гипсовка с временных коронок Восковые валики до временного протезирования? Ссылка на комментарий
pit Опубликовано 17 августа, 2023 Автор Поделиться Опубликовано 17 августа, 2023 15 часов назад, Fin сказал: Восковые валики до временного протезирования? Да 1 Ссылка на комментарий
Рекомендуемые сообщения
Для публикации сообщений создайте учётную запись или авторизуйтесь
Вы должны быть пользователем, чтобы оставить комментарий
Создать аккаунт
Зарегистрируйте новый аккаунт в нашем сообществе. Это очень просто!
Регистрация нового пользователяВойти
Уже есть аккаунт? Войти в систему.
Войти