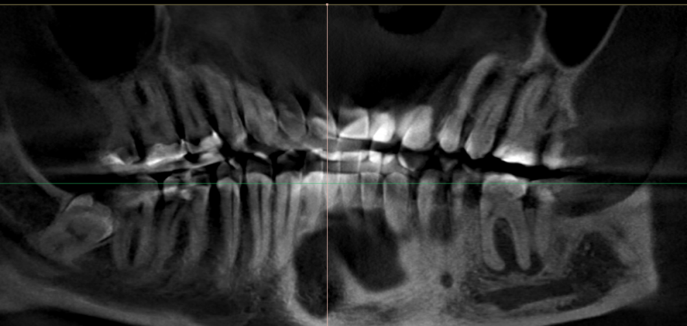
Max9965 Опубликовано 30 июля, 2023 Поделиться Опубликовано 30 июля, 2023 (изменено) Добрый день! 8 лет назад ставил пломбы на левые 6ку и 7ку (они справа не снимке) между ними врач проложил мостик, он через какое-то время сломался, но под ним уже произошло воспаление, которые не проходило. 3 года назад на эти зубы стало больно накусывать вплоть до невозможности, реакция на холодное\горячее была у этих зубов колоссальная. Зубы казались "выше" и при накусывании, как будто проваливались, как ботинок в какую-то жижу и она его выталкивает назад. (лучшей аналогии нет). Десна стала отступать на этих зубах, а в последние 2 года десны отступили почти везде довольно существенно. (но это отдельная тема) Фторировали эти места на 6ке 7ке и стал тщательней чистить, боль почти прошла. Уже год прекрасно жую на эти зубы, если по ним постучать, они конечно чувствуются, иногда есть обострения и я чувствую их больше. Снимок кт прилагаю. (лучшая проекция которую я смог найти опытным путем). 6-ка 7ка справа внизу, ну вы наверно знаете. Спасибо Изменено 30 июля, 2023 пользователем Max9965 Ссылка на комментарий
Женька Опубликовано 30 июля, 2023 Поделиться Опубликовано 30 июля, 2023 @Max9965 здравствуйте. 6 видно, 7 нт Я за депульпирование если оценивать только по этому срезу. Ссылка на комментарий
Max9965 Опубликовано 30 июля, 2023 Автор Поделиться Опубликовано 30 июля, 2023 Сделал видео покадрово. Что скажете? Ссылка на комментарий
Женька Опубликовано 30 июля, 2023 Поделиться Опубликовано 30 июля, 2023 @Max9965 скажу тоже самое. Лечите 3.6 пока инфекция ещё не перешла на 3.7. 1 Ссылка на комментарий
Max9965 Опубликовано 30 июля, 2023 Автор Поделиться Опубликовано 30 июля, 2023 Спасибо! Ссылка на комментарий
Max9965 Опубликовано 6 августа, 2023 Автор Поделиться Опубликовано 6 августа, 2023 Здравствуйте еще раз. Эту 6-ку предлагают лечить в 3-4 посещения. Говорят, что нерв умер, поэтому зуб уже и не реагирует на холодное\горячее. Обычной прочисткой каналов тут не обойтись? Ссылка на комментарий
Женька Опубликовано 6 августа, 2023 Поделиться Опубликовано 6 августа, 2023 @Max9965 что в Вашем понимании значит "обычная прочистка каналов"? 3-4 посещения это практически стандартный протокол по лечению периодонтитных зубов. Что собственно Вам и предлагают. @Max9965 Вам стоит либо доверится тому доктору, к которому Вы ходите. Либо искать другого, кому сможете довериться. Но уж точно не переспрашивать после каждого приёма корректность действий врача. Лучше от этого Вам точно не станет. 2 Ссылка на комментарий
Рекомендуемые сообщения
Для публикации сообщений создайте учётную запись или авторизуйтесь
Вы должны быть пользователем, чтобы оставить комментарий
Создать аккаунт
Зарегистрируйте новый аккаунт в нашем сообществе. Это очень просто!
Регистрация нового пользователяВойти
Уже есть аккаунт? Войти в систему.
Войти