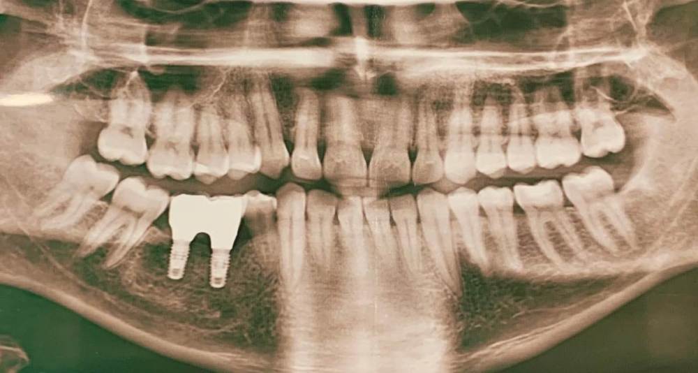
terp3773 Опубликовано 25 июля, 2023 Поделиться Опубликовано 25 июля, 2023 Здравствуйте! Хотелось бы услышать квалифицированное мнение по состоянию зубов. Видно ли критические проблемы на снимке ? Зубы не беспокоят, кроме имплантов. Начало переодически поднывать, но лечащий врач в отпуске.. Хочу услышать Ваши мнения. Благодарю! Ссылка на комментарий
red_butler Опубликовано 26 июля, 2023 Поделиться Опубликовано 26 июля, 2023 20 часов назад, terp3773 сказал: Видно ли критические проблемы на снимке ? нет Ссылка на комментарий
Рекомендуемые сообщения
Для публикации сообщений создайте учётную запись или авторизуйтесь
Вы должны быть пользователем, чтобы оставить комментарий
Создать аккаунт
Зарегистрируйте новый аккаунт в нашем сообществе. Это очень просто!
Регистрация нового пользователяВойти
Уже есть аккаунт? Войти в систему.
Войти