Перейти к содержанию
Стоматология для всех

Периимплантит или нет ?


Рекомендуемые сообщения

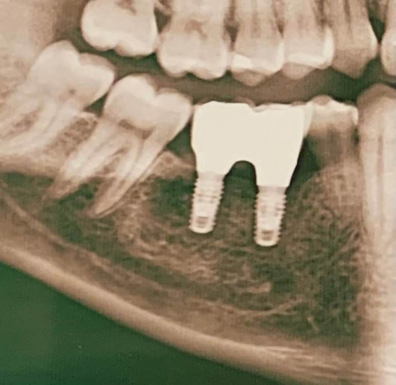
Здравствуйте! Шесть месяцев назад поставили коронки на импланты. Вторую неделю чувствую ноющую боль в области имплантов. Никаких выделений не наблюдаю, конструкция неподвижна. В чем может быть проблема ? Лечащий врач в отпуске..

IMG_1324.jpeg

Ссылка на комментарий

Для публикации сообщений создайте учётную запись или авторизуйтесь

Вы должны быть пользователем, чтобы оставить комментарий

Создать аккаунт

Зарегистрируйте новый аккаунт в нашем сообществе. Это очень просто!

Регистрация нового пользователя

Войти

Уже есть аккаунт? Войти в систему.

Войти
×
×
  • Создать...
Вверх