Перейти к содержанию
Стоматология для всех

открытый синус лифтинг (неизбежность и варианты) ?


Мудрозуб

Рекомендуемые сообщения

Здравствуйте !

Я  мужчина 55 лет от роду).

1) Зуб 16 лечен давно в 90х  ( возможно резорцин-формалином), на нем была пломба со штифтом которая сломалось вмсете со стенкой и штифтом. Зуб приговаривают к удалению.

Возможно ли использоавть этот корень под культевую вкладку и коронку и какой прогноз на такое восстановление?  

Если удаление неизбежно, то какие варианты имплантации возможны очень желательно без открытого синус лифтинга. ( открытый синус лифтинг пугает осложнениями и долгой реабилитацией).

Если не удалять этот корень, как долго он может в таком состоянии мумифицированного корня не вызывать воспалений в полости рта и кости.

2. Зуб 47, один из корней сгнил, но неболит.  Есть вариант сделать гемисекцию и одеть коронку. Ваше мнение и прогноз? Почему то все хирурги усмехаюся когда я спрашиваю про этот метод.

3. По поводу результатов проведенной имплантации 7 лет назад.  Один хирург  который смотрел мой снимок недавно выразил мнение, что импланты на верних челюстях выбраны избыточной длины и можно было просто поставить импланты большего диаметра и короче. Он увидел признаки резорбции кости.  Хотел бы услышать ваше мнение об этом и на сколько прав он в своих суждениях. Сколько лет еще могут простоять установленные импланты ? Про врачебную этику и пациентов знаю, но мы не раскрываем имя доктора, а если не хотите писать открыто можно написать мне в личку.  Для меня это очень важно. К доктору я естественно без претензий, но на выбор для новых операции безусловно повлияет.  Спасибо большое за то, что вы  прочитали и ваше мнение!

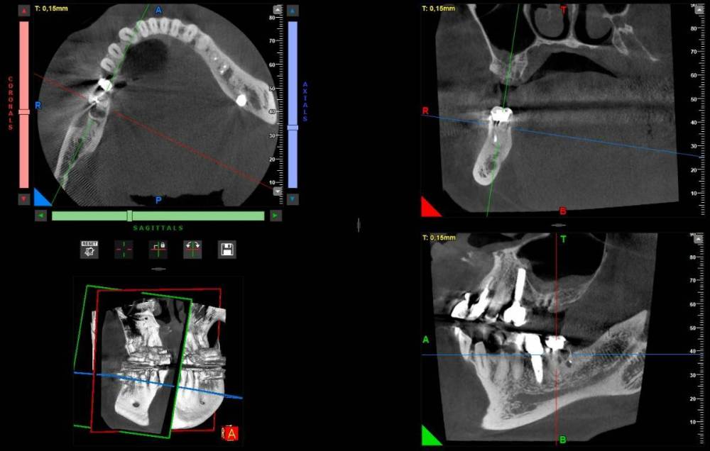
Компьютерная томография: https://cloud.mail.ru/public/nnZJ/N2pid2KKF

photo_2023-07-24_17-02-59.jpg

Изменено пользователем Мудрозуб
Ссылка на комментарий

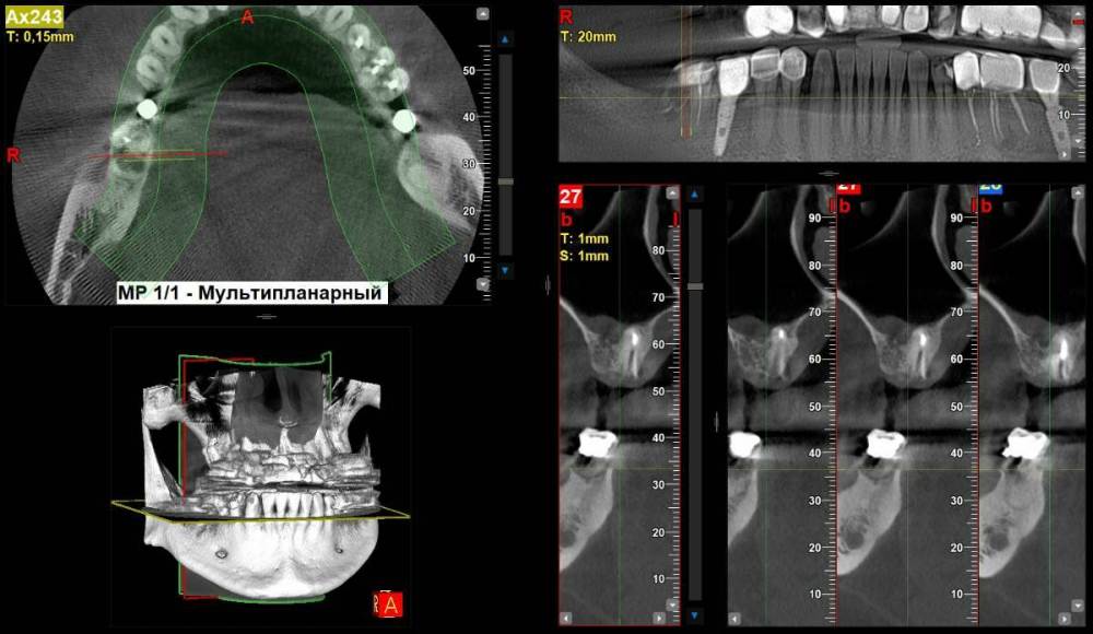
1 зуб 1.6 надо удалять, чем раньше - тем лучше, синус лифт не та операция, которую надо избегать любой ценой

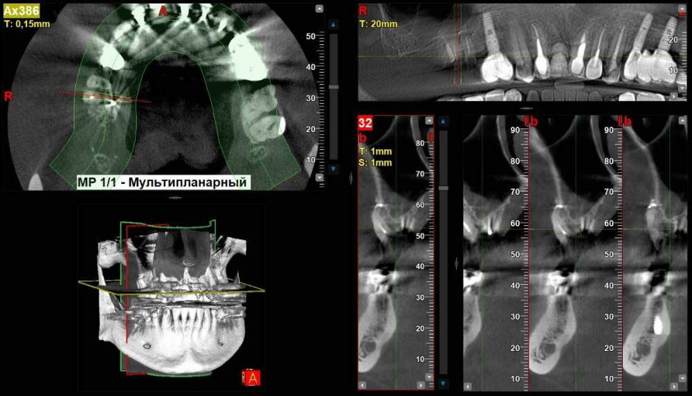
2 учитывая ту картину, которую видно на панорамной реконструкции, зуб 4.7 нужно удалять

3 оценить сейчас что можно было бы сделать 7 лет назад очень сложно, даже имея на руках абсолютно все объективные данные (рентгены, фотографии, внутриротовые замеры и т.д.), а без них - вообще беспардонная болтовня. Хотите принимать решение о своём лечении на её основании?

 

  • Поддерживаю 2
Ссылка на комментарий

 

1 минуту назад, Irouil сказал:

1 зуб 1.6 надо удалять, чем раньше - тем лучше, синус лифт не та операция, которую надо избегать любой ценой

2 учитывая ту картину, которую видно на панорамной реконструкции, зуб 4.7 нужно удалять

3 оценить сейчас что можно было бы сделать 7 лет назад очень сложно, даже имея на руках абсолютно все объективные данные (рентгены, фотографии, внутриротовые замеры и т.д.), а без них - вообще беспардонная болтовня. Хотите принимать решение о своём лечении на её основании?

 

Все КТ до и после на руках. Вопрос главный искать другого доктора или довериться снова ?  

Ссылка на комментарий

1. Зуб 16 удалять вне всяких сомнений. Закрытый или открытый синус-лифтинг? Решение будет принимать хирург, который будет вас оперировать.

16_1.thumb.jpg.d36ccf60c6da549ac9743c7b8c3456da.jpg

 

16_2.thumb.jpg.459fb3335e38209cef01f2895e775db4.jpg

2. Зуб 47 лучше удалить. Гемисекция в данном случае не показана.

47_1.thumb.jpg.72d534cee08a7599a65a246afa26dd77.jpg

47_2.thumb.jpg.55b2ff233eb674b4d633d71b2182fcc6.jpg

3. Высказывания консультанта остаются на его совести. На мой взгляд, особо придраться не к чему. Хотя, "докопаться" и до столба можно.

Искать нового хирурга? Решать вам.

 

Изменено пользователем wladdX
  • Спасибо 1
Ссылка на комментарий

Для публикации сообщений создайте учётную запись или авторизуйтесь

Вы должны быть пользователем, чтобы оставить комментарий

Создать аккаунт

Зарегистрируйте новый аккаунт в нашем сообществе. Это очень просто!

Регистрация нового пользователя

Войти

Уже есть аккаунт? Войти в систему.

Войти
×
×
  • Создать...
Вверх