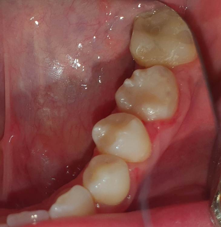
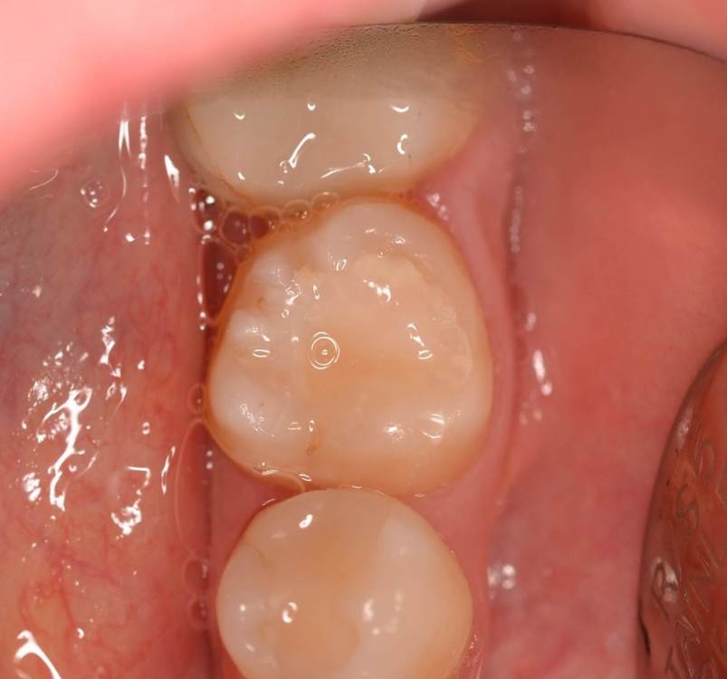
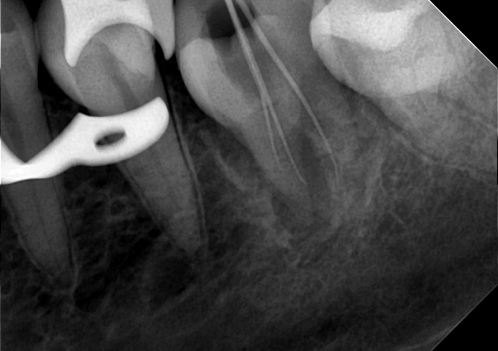
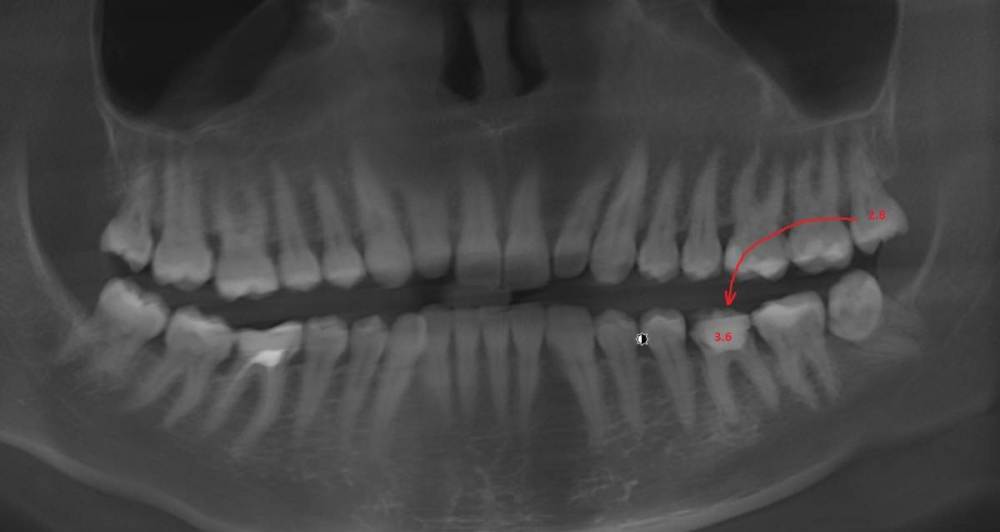
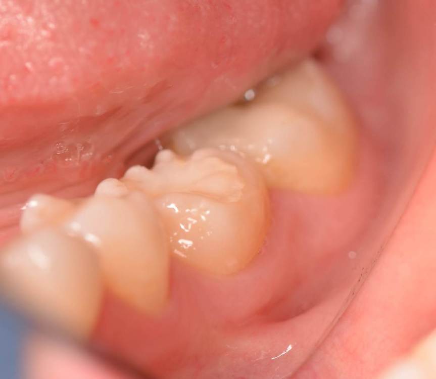
Dr.Deletle Опубликовано 22 июля, 2023 Поделиться Опубликовано 22 июля, 2023 (изменено) Этот кейс интересен тем, что у пересаживаемого 2.8 полностью сформированы корни. Пациент Н., 35лет, зуб 3.6 подлежит удалению по терапевтическим показаниям. Донором был выбран зуб 2.8. Фото №1, 2 - ситуация ДО на фото и срезе КЛКТ Фото №3 - планирование на реконструкции ОПТГ из КЛКТ Фото №4 - шаблон зуба 2.8 Фото №5, 6 - операция, удален 3.6, припасован шаблон, пересажен 2.8 (фиксирован швами и шиной к 3.7) Фото №7 - КТ сразу после пересадки Фото №8, 9 - депульпирование пересаженного 2.8 через 2 недели Фото №10 - снятие шины через 2нед после пересадки Фото № 11, 12, 13 - состояние в полости рта и на срезе КТ через год после пересадки, видно сформированное периодонтальное пространство, здоровая костная ткань, жалоб у пациента нет, полноценно жует как обычным зубом Изменено 22 июля, 2023 пользователем Dr.Deletle 4 3 Ссылка на комментарий
АнтонТЛТ Опубликовано 22 июля, 2023 Поделиться Опубликовано 22 июля, 2023 Спасибо за клинический случай. Коронкой не планируете покрывать? Можно прицельный снимок 8-ки, а не срез клкт? Ссылка на комментарий
Dr.Deletle Опубликовано 23 июля, 2023 Автор Поделиться Опубликовано 23 июля, 2023 @АнтонТЛТ спасибо! Нет, коронкой пока покрывать не будем Прицельных снимков нет, только через 1,5 мес после пересадки А зачем именно прицельный?.. если есть кт Ссылка на комментарий
АнтонТЛТ Опубликовано 23 июля, 2023 Поделиться Опубликовано 23 июля, 2023 По этому кт выглядит так, что будто каналы не до конца запломбированы и нет апроксимальных контактов. Ссылка на комментарий
annda Опубликовано 23 июля, 2023 Поделиться Опубликовано 23 июля, 2023 А почему интерес именно в сформированности корней? Ссылка на комментарий
Irouil Опубликовано 23 июля, 2023 Поделиться Опубликовано 23 июля, 2023 @АнтонТЛТ что за вопрос с контактами? Ссылка на комментарий
Dr.Deletle Опубликовано 23 июля, 2023 Автор Поделиться Опубликовано 23 июля, 2023 @АнтонТЛТ могу другие срезы просто скинуть Пока воспалительных изменений периодонта нет Ссылка на комментарий
Dr.Deletle Опубликовано 23 июля, 2023 Автор Поделиться Опубликовано 23 июля, 2023 @annda т.к. удаляется нерв и ниже процент приживаемости и восстановления периодонта Ссылка на комментарий
Irouil Опубликовано 23 июля, 2023 Поделиться Опубликовано 23 июля, 2023 @Dr.Deletle а как влияет пульпа на сохранность периодонта? Насколько я знаю, основные факторы там внераневое время, отсутствие костно-цементного контакта при иммобилизации и время иммобилизации. Ссылка на комментарий
АнтонТЛТ Опубликовано 23 июля, 2023 Поделиться Опубликовано 23 июля, 2023 2 часа назад, Irouil сказал: @АнтонТЛТ что за вопрос с контактами? Если нет контактов с соседними зубами, то будет туда постоянно еда попадать и травмировать сосочки 2 часа назад, Dr.Deletle сказал: @АнтонТЛТ могу другие срезы просто скинуть Пока воспалительных изменений периодонта нет Лучше срез толщиной 5мм Ссылка на комментарий
АнтонТЛТ Опубликовано 23 июля, 2023 Поделиться Опубликовано 23 июля, 2023 Ну а вообще для оценки контактов используется снимок bite wings Ссылка на комментарий
annda Опубликовано 23 июля, 2023 Поделиться Опубликовано 23 июля, 2023 2 часа назад, Dr.Deletle сказал: @annda т.к. удаляется нерв и ниже процент приживаемости и восстановления периодонта Как на связку пульпа влияет ,не понимаю:( Если делаем аутотрансплантацию взрослому,эндо в любом случае делаем,тут нет вариантов.Или я чего-то не знаю? Ссылка на комментарий
Irouil Опубликовано 23 июля, 2023 Поделиться Опубликовано 23 июля, 2023 @АнтонТЛТ понятно, но тут вопрос же чуть шире - если зуб априори по размерам зубы не совпадают, то вопрос решается покрывным протезированием и тогда уж лучше подождать полгода - если успех полный и связка формируется без анкилоза, то зубы могут и подмигрировать, а если не мигрируют (по любым причинам) - то уже рассматривать его как имплант на минималках 1 Ссылка на комментарий
АнтонТЛТ Опубликовано 23 июля, 2023 Поделиться Опубликовано 23 июля, 2023 Так я в самом начале и спросил про коронку. Помимо соседей, антагонист ещё будет экструзируется и возможно создавать блок для 3.7 при движении нижней челюсти во время жевания. Ссылка на комментарий
АнтонТЛТ Опубликовано 23 июля, 2023 Поделиться Опубликовано 23 июля, 2023 2 часа назад, annda сказал: Как на связку пульпа влияет ,не понимаю:( Если делаем аутотрансплантацию взрослому,эндо в любом случае делаем,тут нет вариантов.Или я чего-то не знаю? Если апекс не сформирован, то возможно пульпа может оживится при трансплантации 1 Ссылка на комментарий
Dr.Deletle Опубликовано 23 июля, 2023 Автор Поделиться Опубликовано 23 июля, 2023 (изменено) @Irouil я и не писала, что пульпа влияет на сохранность периодонта) А депульпируем здесь обязательно, чтобы не было воспалительных изменений в периодонте и воспалительной резорбции Изменено 23 июля, 2023 пользователем Dr.Deletle Ссылка на комментарий
Irouil Опубликовано 23 июля, 2023 Поделиться Опубликовано 23 июля, 2023 8 часов назад, Dr.Deletle сказал: @annda т.к. удаляется нерв и ниже процент приживаемости и восстановления периодонта @Dr.Deletle что-то я не понимаю Ссылка на комментарий
annda Опубликовано 23 июля, 2023 Поделиться Опубликовано 23 июля, 2023 6 часов назад, АнтонТЛТ сказал: Если апекс не сформирован, то возможно пульпа может оживится при трансплантации При пересадке с одного места на другое? Многокорневой зуб? Ну даже и однокорневой,но многоканальный? Что-то я про такие чудеса не слышала..Согласна считать,что просто не знаю,имею право.Прошу пруфов... Ссылка на комментарий
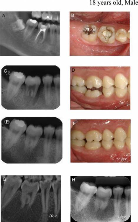
АнтонТЛТ Опубликовано 23 июля, 2023 Поделиться Опубликовано 23 июля, 2023 (изменено) stomatologiya_2020_04_081.pdf Предпоследняя и последняя страницы, там и ссылки на первоисточник Изменено 23 июля, 2023 пользователем АнтонТЛТ 1 Ссылка на комментарий
Irouil Опубликовано 24 июля, 2023 Поделиться Опубликовано 24 июля, 2023 (изменено) Да, при незакрытой верхушке можно без эндо, хотя я ещё такие зубы не пересаживал, честно говоря Изменено 24 июля, 2023 пользователем Irouil Ссылка на комментарий
annda Опубликовано 24 июля, 2023 Поделиться Опубликовано 24 июля, 2023 16 часов назад, АнтонТЛТ сказал: stomatologiya_2020_04_081.pdf 152 \u041a\u0431 · 4 скачивания Предпоследняя и последняя страницы, там и ссылки на первоисточник Я,конечно,рискую прослыть душнил ой третьей степени,но в данных исследованиях говорится о трансплантации нижних премоляров(однокорневых и одноканальных) в лунки утерянных резцов.Это несколько не то,о чем я спрашивала:) Ссылка на комментарий
АнтонТЛТ Опубликовано 24 июля, 2023 Поделиться Опубликовано 24 июля, 2023 Пойдет?) 1 Ссылка на комментарий
annda Опубликовано 25 июля, 2023 Поделиться Опубликовано 25 июля, 2023 (изменено) Это уже гораздо лучше,спасибо:) Где почитать-то? Изменено 25 июля, 2023 пользователем annda Ссылка на комментарий
АнтонТЛТ Опубликовано 25 июля, 2023 Поделиться Опубликовано 25 июля, 2023 Tsukiboshi-2002-Dental_Traumatology.pdf 2 1 Ссылка на комментарий
Dr.Deletle Опубликовано 25 июля, 2023 Автор Поделиться Опубликовано 25 июля, 2023 23.07.2023 в 22:36, annda сказал: При пересадке с одного места на другое? Многокорневой зуб? Ну даже и однокорневой,но многоканальный? Что-то я про такие чудеса не слышала..Согласна считать,что просто не знаю,имею право.Прошу пруфов... Да, можно) У меня здесь выложен подобный кейс И несколько случаев под наблюдением, буду выкладывать попозже Ссылка на комментарий
Рекомендуемые сообщения
Для публикации сообщений создайте учётную запись или авторизуйтесь
Вы должны быть пользователем, чтобы оставить комментарий
Создать аккаунт
Зарегистрируйте новый аккаунт в нашем сообществе. Это очень просто!
Регистрация нового пользователяВойти
Уже есть аккаунт? Войти в систему.
Войти