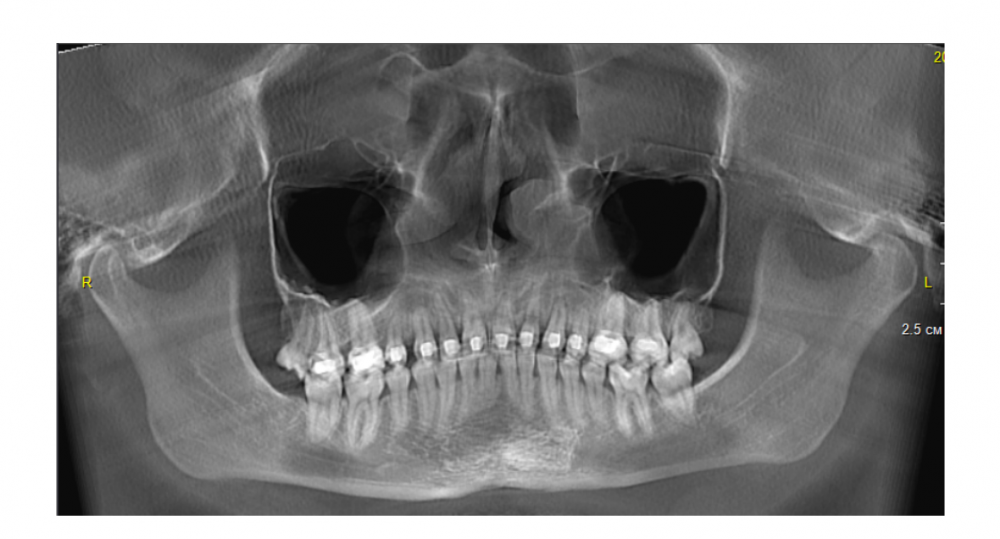
Loya Опубликовано 10 июля, 2023 Поделиться Опубликовано 10 июля, 2023 Добрый день! Помогите пожалуйста с таким вопросом. Носила брекеты 5 лет, в процессе лечения были удалены 4ки и активно двигались 2-ки и 3-ки под большим натяжением. Незадолго до снятия делала КЛКТ, было подозрение на трещину/перелом шейки зуба 2.2, лечащий ортодонт сказала, что скорее всего "засвет", тк не может быть перелома без боли. Консультировалась у двух врачей, один сказал, что видит перелом и зуб нужно удалять. Второй врач сказал, что есть трещина, судя по всему, очень давняя, нужды удалять он не видит. По поводу шатания зубов сказали, что со временем нарастет костная ткань и все будет нормально. Прошло два года после снятия брекетов, двойка (в которой трещина) и соседняя тройка (клык) до сих пор подвижны (шатание 1-2 мм наверное), но нет боли и неприятных ощущений. Снимки в эти 2 года не делала. Хотела узнать, что мне стоит делать, можно ли ходить так дальше, или есть вероятность воспаления (прогресса вроде бы нет), есть ли действительно перелом/трещина и что лучше всего сделать с этой проблемой, пропадет ли подвижность со временем или нужно делать имплантацию? Прикладываю снимок двухлетней давности, не знаю, насколько он актуален спустя 2 года, новый пока не делала Ссылка на комментарий
Irouil Опубликовано 10 июля, 2023 Поделиться Опубликовано 10 июля, 2023 Ритейнеры Вы не носите? На "засвет" и на перелом/трещину не похоже, скорее на резорбцию корня Делайте свежий снимок 1 1 Ссылка на комментарий
Loya Опубликовано 10 июля, 2023 Автор Поделиться Опубликовано 10 июля, 2023 @Irouil Спасибо за ответ! Ретейнер стоит на нижних зубах постоянный. На верхних год носила съемную капу по ночам, как сказал ортодонт, потом перестала. А что означает резорбция корня, подскажите пожалуйста Ссылка на комментарий
Irouil Опубликовано 10 июля, 2023 Поделиться Опубликовано 10 июля, 2023 Резорбция - это "рассасывание" тканей корня зуба 1 Ссылка на комментарий
Loya Опубликовано 10 июля, 2023 Автор Поделиться Опубликовано 10 июля, 2023 @Irouil спасибо большое! И можно пожалуйста последнее спросить - если на новом снимке картина будет неизменной, что обычно делают в таком случае? Удаление или как-то лечится. И какой снимок лучше сделать (КЛКТ или другой) для подробной картины Ссылка на комментарий
Irouil Опубликовано 10 июля, 2023 Поделиться Опубликовано 10 июля, 2023 Лучше сделать КЛКТ Сам факт резорбции в Вашем случае скорее всего на подвижность зуба не влияет, если картина на КЛКТ будет сравнимой с предоставленной я бы рассмотрел возможность шинирования подвижных зубов 1 Ссылка на комментарий
Loya Опубликовано 10 июля, 2023 Автор Поделиться Опубликовано 10 июля, 2023 @IrouilСпасибо! 1 Ссылка на комментарий
Рекомендуемые сообщения
Для публикации сообщений создайте учётную запись или авторизуйтесь
Вы должны быть пользователем, чтобы оставить комментарий
Создать аккаунт
Зарегистрируйте новый аккаунт в нашем сообществе. Это очень просто!
Регистрация нового пользователяВойти
Уже есть аккаунт? Войти в систему.
Войти