Mnrg Опубликовано 6 июля, 2023 Поделиться Опубликовано 6 июля, 2023 Всех приветствую! Беспокоит правосторонний гайморит и тонзиллит. Сделали КТ, нашли восьмерку, но предложили вместо удаления восьмерки депульпировать шестерку, консилиум сошелся во мнении, что корень перфорирует пазуху и пломба слишком близко к нерву, возможно воспаление. При зондировании между 6 и7 слегка побаливает десна, шестерка не беспокоит, холод чувствует, но не болит. Восьмерку предложили оставить. Спорить не стал, лишь решил собрать воедино мнения специалистов, т.к ближайшие более менее нормальные клиники от 100км. Архив с файлами КТ прикрепил, прошу специалистов глянуть и поделиться мнением, с чего все-таки начать, помочь разобраться.Archive.rar Ссылка на комментарий
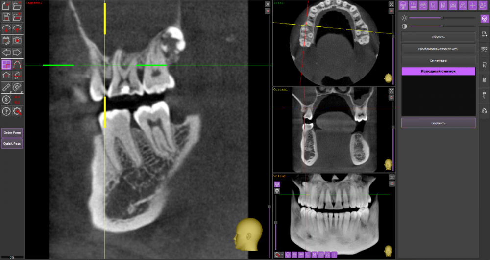
wladdX Опубликовано 6 июля, 2023 Поделиться Опубликовано 6 июля, 2023 Если гайморит одонтогенный, то зуб 18 вряд ли виновен. К зубу 16 надо присмотреться. Что вам и порекомендовали. 2 Ссылка на комментарий
Mnrg Опубликовано 6 июля, 2023 Автор Поделиться Опубликовано 6 июля, 2023 (изменено) Благодарю вас за столь быстрый и содержательный ответ. Подскажите, на корнях шестерки не видно гранулемы или признаков воспаления? Так же прошу прокомментируйте восьмерку в целом, влияние на семерку, сложность удаления, возможные последствия после удаления, связанные с гайморитом? Может ли она воспаляться из-за проблем с шестеркой и создавать дополнительные неприятности? В местной клинике, когда обратился на удаление, предложили ехать в областную, ссылаясь на отсутствие какого-то инструмента, насколько я понял это госпитализация, или же это рутинный процесс для хорошего врача и достаточно хорошей клиники, час-два по времени, и все не так сложно? Изменено 6 июля, 2023 пользователем Mnrg Ссылка на комментарий
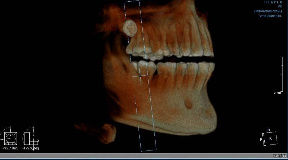
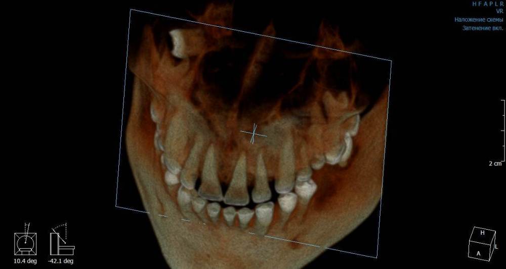
wladdX Опубликовано 7 июля, 2023 Поделиться Опубликовано 7 июля, 2023 (изменено) Гайморит у вас совершенно необязательно имеет одонтогенную природу (вызван зубами). Судя по КТ, зуб 16 может быть виновником (а может и не быть). Для уточнения нужна также проверка витальности его пульпы (жив нерв или нет). Если пульпа нежизнеспособна, то этот зуб почти наверняка поддерживает воспалительный процесс в пазухе. Зуб 18 вряд ли нужно трогать. Лежит он себе в кости и пускай, никому он там не вредит. Да он вплотную прилежит к корням зуба 17, но и только. С внешней средой не контактирует. Никакого негативного влияния на соседние зубы он оказывать не должен: формирование корней завершено, потенции к росту и какому-либо движению нет. Удаление зуба 18 в данной ситуации вряд ли оправдано. Процедура не самая простая, но и не запредельной сложности. Изменено 7 июля, 2023 пользователем wladdX Ссылка на комментарий
Mnrg Опубликовано 7 июля, 2023 Автор Поделиться Опубликовано 7 июля, 2023 6 минут назад, wladdX сказал: Гайморит у вас совершенно необязательно имеет одонтогенную природу (вызван зубами). Судя по КТ, зуб 16 может быть виновником (а может и не быть). Для уточнения нужна также проверка витальности его пульпы (жив нерв или нет). Если пульпа нежизнеспособна, то этот зуб почти наверняка поддерживает воспалительный процесс в пазухе. Зуб 18 вряд ли нужно трогать. Лежит он себе в кости и пускай, никому он там не вредит. Да он вплотную прилежит к корням зуба 17, но и только. С внешней средой не контактирует. Никакого негативного влияния на соседние зубы он оказывать не должен: формирование корней завершено, потенции к росту и какому-либо движению нет. Удаление зуба 18 в данной ситуации вряд ли оправдано. Процедура не самая простая, но и не запредельной сложности. Шестерку проверяли холодом - чувствует, не знаю, означает ли это жизнеспособность пульпы, но на холод реагировал немного сильней других зубов. Сегодня открыл КТ программой RadiAntViewer и обнаружил в 3D просмотре визуальные признаки нахождения части восьмерки в краю пазухи. Конечно я не могу утверждать, т.к не врач и насколько понимаю это режим моделирования, но все же выглядит убедительно на мой скромный взгляд. Еще один глупый вопрос, если позволите) Возможно ли в шестерке в одном из трех корней воспаление и нерв разрушен, а другие два при этом будут создавать чувствительность, т.е быть "живыми" или же это фантастика? Деньги запросили немалые для нашего региона за депульпацию (13к) поэтому пытаюсь собрать как можно больше информации прежде, чем принимать решения. Ссылка на комментарий
wladdX Опубликовано 8 июля, 2023 Поделиться Опубликовано 8 июля, 2023 Ничего нового добавить к своим словам я не могу. Разве что повторить : "Гайморит у вас совершенно необязательно имеет одонтогенную природу". Т.е. надо рассматривать возможность ЛОР-патологии в чистом виде. Если зуб 16 с живой пульпой, то других одонтогенных причин при помощи данного КТ исследования я не вижу. На истину в последней инстанции не претендую. 1 1 Ссылка на комментарий
Рекомендуемые сообщения
Для публикации сообщений создайте учётную запись или авторизуйтесь
Вы должны быть пользователем, чтобы оставить комментарий
Создать аккаунт
Зарегистрируйте новый аккаунт в нашем сообществе. Это очень просто!
Регистрация нового пользователяВойти
Уже есть аккаунт? Войти в систему.
Войти