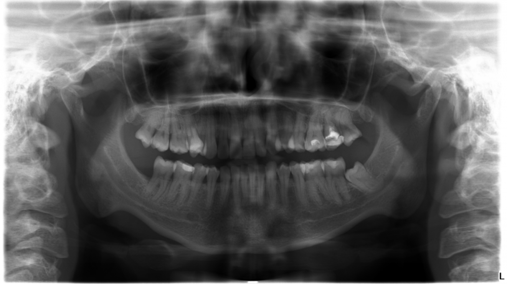
spectraitor Опубликовано 2 июля, 2023 Поделиться Опубликовано 2 июля, 2023 Здравствуйте! Планирую удаление трех оставшихся зубов мудрости, вызывает много вопросов нижний зуб. Один хирург сказал, что удаление хоть и сложное, но вполне выполняется амбулаторно. Другой утверждает, что удаление только в ЧХЛ. Вот КТ - https://disk.yandex.ru/d/KbeChDMj0QCtMg А также снимок. Подскажите, как лучше поступить? Может быть, можете посоветовать врача, который сможет удалить, не задев нервы (г. Москва)? Ссылка на комментарий
Irouil Опубликовано 3 июля, 2023 Поделиться Опубликовано 3 июля, 2023 Удаление вполне амбулаторное 1 1 Ссылка на комментарий
wladdX Опубликовано 3 июля, 2023 Поделиться Опубликовано 3 июля, 2023 Поддержу коллегу, вполне возможно амбулаторно прооперировать. Поискать врача попробуйте в теме "Посоветуйте хирурга/имплантолога" 1 Ссылка на комментарий
Рекомендуемые сообщения
Для публикации сообщений создайте учётную запись или авторизуйтесь
Вы должны быть пользователем, чтобы оставить комментарий
Создать аккаунт
Зарегистрируйте новый аккаунт в нашем сообществе. Это очень просто!
Регистрация нового пользователяВойти
Уже есть аккаунт? Войти в систему.
Войти