Перейти к содержанию
Стоматология для всех

Темный твердый налет около десны


София1

Рекомендуемые сообщения

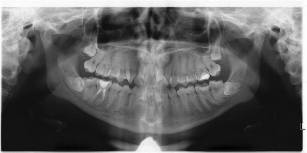
Здравствуйте,появился темный твердый налет около десны. Оказалось, на некоторых зубах с другой стороны тоже такое есть, и по ощущениям будто есть и между некоторыми зубами. Из симптомов только небольшое воспаление десны, но там рядом у меня лезет зуб мудрости под неправильным углом,что и может быть причиной. В какой момент это появилось сказать сложно, полгода назад делала рентген, подобных проблем не было. На холодное\горячее зубы не реагируют, жевать не больно. Подскажите, что это, какой-то вид кариеса? Возможно ли еще неинвазивное лечение или уже поздно? 

-6kKaso0BZY.jpg

uIXr4VC_d7w.jpg

Ссылка на комментарий

Здравствуйте, очень похоже на зубной налёт, притом мягкий, который даже Вы сами в дома можете соскрести. Подойдите на осмотр к стоматологу, там точно проверят. В идеале сделать проф.гигиену.

У Вас ещё, кстати, на нижнем дальнем зубе справа (на котором пломба) - есть проблемы на корнях

Изменено пользователем Carioznik
  • Спасибо 1
Ссылка на комментарий

Для публикации сообщений создайте учётную запись или авторизуйтесь

Вы должны быть пользователем, чтобы оставить комментарий

Создать аккаунт

Зарегистрируйте новый аккаунт в нашем сообществе. Это очень просто!

Регистрация нового пользователя

Войти

Уже есть аккаунт? Войти в систему.

Войти
×
×
  • Создать...
Вверх