smikvarnik Опубликовано 12 июня, 2023 Поделиться Опубликовано 12 июня, 2023 (изменено) Здравствуйте, проблема следующая 25 лет, пол М У меня с детства аномалии(нет корней на 3х зубах), одна двойка справа молочная + тройки молочные. Двойка выпала и хожу с дыркой уже лет 10, также зона улыбки кривовата и есть промежуток между однерками тройки молочные маленькие но держатся, все хорошо. Самая главная проблема по которой мне многие отказывали в реставрации только зоны улыбки, это прикус. у меня глубокий прикус с детства. Ортодонты говорят что нужно носить брекеты 2-3 года, и только после этого имплантация либо коронки с мостами. Но пару ортопедов предложили мне сточить все верхние зубы(все жевательные зубы в отличном состоянии, передние так себе, уже немного сточены из за прикуса). Говорят что если поставить без исправления прикуса - я просто выбью коронки или импланты, нагрузка будет не такая какая должна быть Пробовал также ходить с капой чтобы поднять прикус - результатов нет. некоторые врачи отказывали даже в лечении брекетами, говоря что ситуация сложная. Также зубы для моего возраста маленькие, по сравнению с другими людьми Говорят что если сделать коронки на верхней челюсти, можно таким образом исправить прикус+сделать улыбку без ортодонтии. но также возможно потребуется сточить немного зубов на нижней(не уточнял какие) Коронки из диоксида циркония как вы считаете, это нормальный вариант, или так себе? у меня психологический комплекс из за зубов и еще 2-3 года ходить с брекетами и дырками честно говоря так себе идея. Какие есть минусы и опасности у такого варианта, и как с вашей точки зрения, как докторов, этот вариант оценивается? Насколько это целесообразно? Спасибо за помощь заранее, очень жду ответ, каждый день волнует эта тема Изменено 12 июня, 2023 пользователем smikvarnik Ссылка на комментарий
red_butler Опубликовано 13 июня, 2023 Поделиться Опубликовано 13 июня, 2023 Уважаемые пациенты! Данный форум предназначен для оказания он-лайн консультаций пациентам специалистами форума. Специалисты дают консультации по реальным, а не гипотетическим проблемам. Также специалисты не проводят обучения по теоретической и практической стоматологии для пациентов. Если Вы хотите получить максимально информативный ответ максимально быстро, пожалуйста, соблюдайте следующие правила: 1) В 99% случаев невозможно дать рекомендацию, основываясь только на словах пациента, поэтому обязательно просим прикладывать рентгеновские снимки и фотографии, которые могут помочь докторам разобраться в ситуации. Если Вы просто опишете свою ситуацию, не предоставив снимок, у Вас все равно его попросят, - даже в клинике диагнозы не ставятся только со слов пациентов, не говоря уже об Интернете. Не испытывайте терпение администраторов и отвечающих врачей - СНАЧАЛА СДЕЛАЙТЕ СНИМОК, А ЗАТЕМ ЗАДАЙТЕ ВОПРОС. И еще раз: Со слов пациента диагнозы не ставятся! Отсутствие снимков приведет к закрытию темы! Снимки можно сделать в частной клинике, забрать с собой и разместить в форуме. Если снимки на пленке, то нужно не СКАНИРОВАТЬ, а ФОТОГРАФИРОВАТЬ, как, описано здесь. 2) Кратко и по существу опишите проблему и задайте свой вопрос. ВНИМАНИЕ: открывайте свою собственную тему! Не нужно писать в темах других пациентов, это затруднит поиск Вашего сообщения и приведет к путанице. На форуме много места, поверьте, его хватит всем! В названии темы постарайтесь кратко отразить суть вопроса. Нежелательно называть тему "Помогите!", "Есть вопрос" и т.п., это неинформативно. 3) Пожалуйста, уважайте время докторов. Все профессиональные участники являются практикующими врачами-стоматологами, консультирующими в свое свободное время. Многие и конкретные, и отвлеченные вопросы уже не раз обсуждались за несколько лет существования форума, поэтому если Ваш вопрос не касается Вашей личной ситуации во рту, сначала попробуйте воспользоваться поиском. Темы о том, «какие врачи плохие и жадные», популярности не имеют, как и длинные пространные рассуждения ни о чем. 4) Форум является открытым ресурсом, в нем участвуют доктора со всей России и из других стран. Здесь предлагаются вероятные решения Вашей проблемы на основе предоставленных Вами же данных. Мнения специалистов могут расходиться. Если совет доктора Вас не устраивает, Вы вольны принимать решение самостоятельно. Агрессия и хамство недопустимы, здесь никто никому ничего не должен. 5) Отдельный совет любителям давать советы. Как бы ни хотелось поделиться своим выстраданным опытом, задающие вопрос пациенты прежде всего расчитывают получить ответ от специалиста. Пообщаться и обменяться пациентским опытом можно в «личке» (она же «приват»). Высказывая свое мнение по случаю другого пациента, Вы только вводите в заблуждение его и остальных пациентов, читающих форум. Пациенты! НЕ пишите, пожалуйста, НИЧЕГО в теме других пациентов! 6) Если Вам нужна рекомендация по выбору клиники, в каждом тематическом форуме существует отдельная тема для запроса рекомендаций (не забывайте обязательно указывать город, даже если это Москва). Обратите внимание, что размещение сообщения в теме для рекомендаций не гарантирует ответа врачей. Вы также можете самостоятельно обратиться к понравившемуся доктору в личку. Нарушение правил может привести к закрытию темы и/или предупреждению, а в тяжелых случаях и бану. Ссылка на комментарий
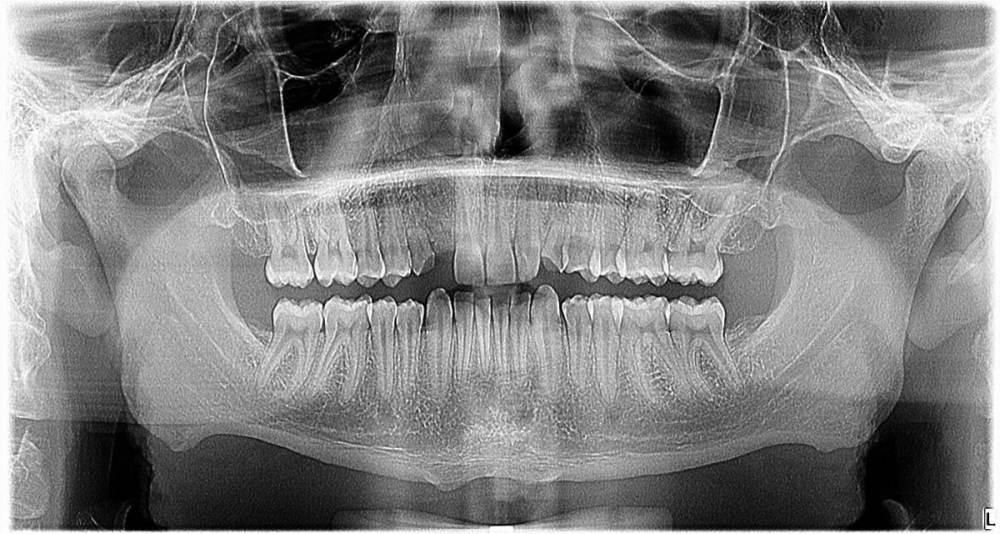
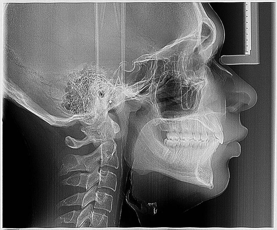
smikvarnik Опубликовано 13 июня, 2023 Автор Поделиться Опубликовано 13 июня, 2023 здравствуйте, не видел! исправляю еще также есть фото лица и самих зубов, как попросите так и сфоткаю. также есть КТ ВЧ и НЧ Ссылка на комментарий
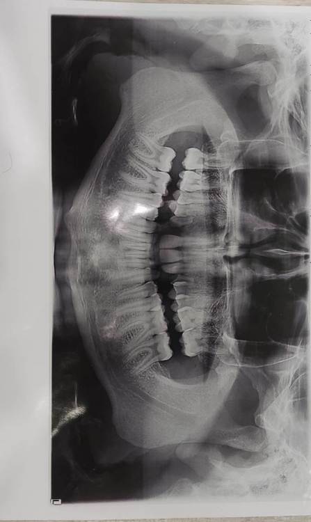
smikvarnik Опубликовано 13 июня, 2023 Автор Поделиться Опубликовано 13 июня, 2023 если неудобно - другой ракурс, чтоб голову не поворачивать Ссылка на комментарий
smikvarnik Опубликовано 13 июня, 2023 Автор Поделиться Опубликовано 13 июня, 2023 также ситуация во рту, и с прикусом. молочные зубы выделил. извините за флуд) Ссылка на комментарий
art700 Опубликовано 14 июня, 2023 Поделиться Опубликовано 14 июня, 2023 Вам ортодонтическое лечение показано, промежутки можно закрыть на этапе ортодонтии повесив искусственный зуб на ортодонтическую дугу 1 1 Ссылка на комментарий
smikvarnik Опубликовано 14 июня, 2023 Автор Поделиться Опубликовано 14 июня, 2023 (изменено) 7 часов назад, art700 сказал: Вам ортодонтическое лечение показано, промежутки можно закрыть на этапе ортодонтии повесив искусственный зуб на ортодонтическую дугу странно что я это первый раз слышу от вас, никто даже и не говорил что можно повесить искусственный зуб) а сколько по вашему мнению, по времени тут примерно лечение будет? Изменено 14 июня, 2023 пользователем smikvarnik Ссылка на комментарий
Рекомендуемые сообщения
Для публикации сообщений создайте учётную запись или авторизуйтесь
Вы должны быть пользователем, чтобы оставить комментарий
Создать аккаунт
Зарегистрируйте новый аккаунт в нашем сообществе. Это очень просто!
Регистрация нового пользователяВойти
Уже есть аккаунт? Войти в систему.
Войти