Перейти к содержанию
Стоматология для всех

Бублик

Рекомендуемые сообщения

Доброго времени суток)

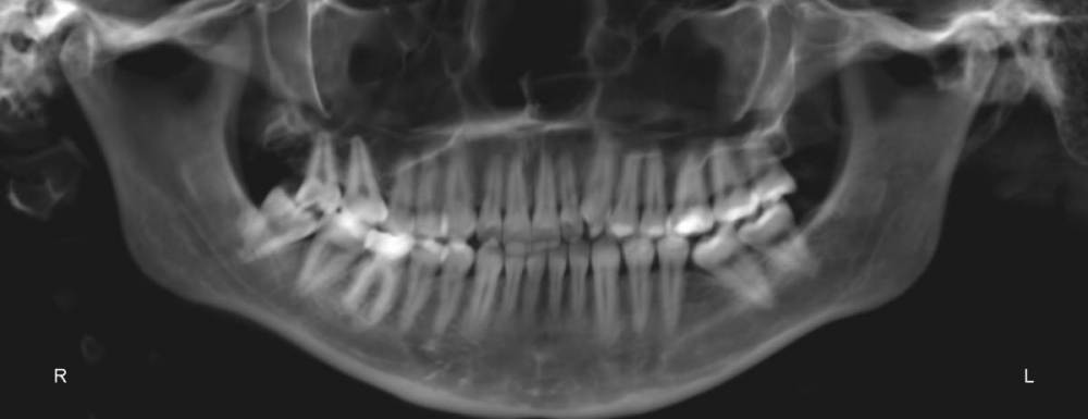
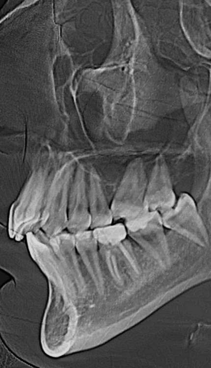
На консультации у ортодонта был поставлен диагноз : Нейтральное соотношение челюстей с тенденцией к дистальной окклюзии. Глубокая резцовая окклюзия.
Врач предложил установить безлигатурную брекет систему , вообщем-то , я была согласна, но замена имплантами 2 отсутствующих шестерок  меня немного пугала.т.к шестерки были удалены достаточно в раннем возрасте соседние зубы заняли их место и визуально это было почти не заметно .При всем  этом , у меня есть все восьмерки ,соответственно , перед установкой БС их так же нужно будет удалить(

Так вот , у меня возник вопрос, возможно ли стянуть  зубы в ровную окклюзию при помощи БС вместе  с 7(Заменяющей место 6) и 8 ? 
То есть , возможно ли как-то восстановить центральную окклюзию и, в целом, сделать красивую улыбку не применяя имплантацию ?).

Благодарю за ответ ) 

35284EB3-8BBB-4D09-9F36-14DBDD086A5B.jpeg

D551736E-02B7-433F-9D64-13B5311CFC9D.jpeg

Ссылка на комментарий
Гость
Эта тема закрыта для публикации ответов.
×
×
  • Создать...
Вверх