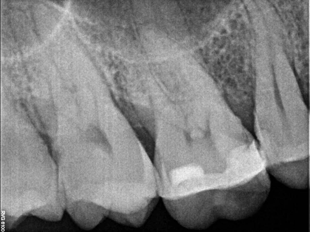
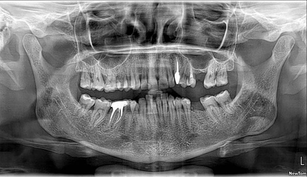
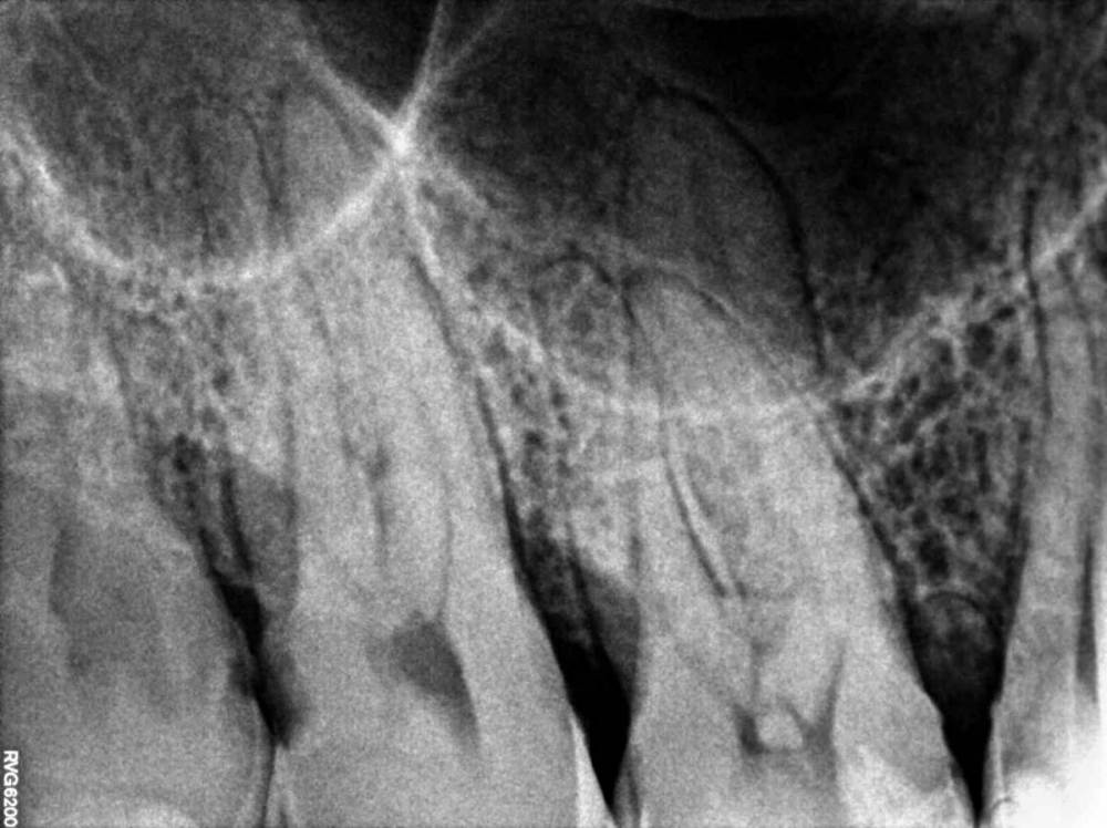
Jyuly Опубликовано 30 мая, 2023 Поделиться Опубликовано 30 мая, 2023 Добрый день! 4 года назад установила керамическую вкладку E-MAX на "живой" зуб (предлагали на выбор пломбу или вкладку, как более долговечный и надежный вариант). 4 месяца назад вкладка начала "гулять", терапевт осмотрел, сказал, что она треснула + кусочек небольшой откололся. Была у ортопеда в марте, он сказал после осмотра и свежей ортопанорамы от февраля этого года (свежего прицела не было) что, велика вероятность, зуб придется депульпировать. Скажите, пожалуйста, можно ли по снимку сказать (одному из них 2 года, другому точно не знаю, ~3-4) степень вероятности депульпирования зуба? Что это за "шарик" внутри? Несколько дней, как зуб начал беспокоить, точнее, не сам зуб, а выше, челюсть ноет, отдает в область глаза и уха. Может, это и не от этого зуба боли, между 7 и 8 кариес по снимкам. Хороший терпевт, которого мне посоветовали, в отпуске до 29 июня, я и не понимаю, какого специалиста мне искать спешно - терапевта, для пломбирования каналов или ортопеда для установки новой вкладки. Помогите, пожалуйста, просто крик души! Москва Ссылка на комментарий
Carioznik Опубликовано 30 мая, 2023 Поделиться Опубликовано 30 мая, 2023 (изменено) Здравствуйте, возникает ли, или усиливается боль при наклоне головы? Изменено 30 мая, 2023 пользователем Carioznik Ссылка на комментарий
Jyuly Опубликовано 31 мая, 2023 Автор Поделиться Опубликовано 31 мая, 2023 (изменено) Здравствуйте! Нет, не замечала. Понаблюдаю ещё сегодня. Наклон головы в любую сторону? И о чем это может говорить? Изменено 31 мая, 2023 пользователем Jyuly Ссылка на комментарий
Carioznik Опубликовано 31 мая, 2023 Поделиться Опубликовано 31 мая, 2023 (изменено) 1 час назад, Jyuly сказал: Здравствуйте! Нет, не замечала. Понаблюдаю ещё сегодня. Наклон головы в любую сторону? И о чем это может говорить? В любую. О пульпите из-за этого "шарика". Но это редкое явление, так что, не заморачивайтесь по этому поводу. Это так... профессиональный интерес. И к вашему случаю, похоже, не имеет отношения Изменено 31 мая, 2023 пользователем Carioznik 1 Ссылка на комментарий
Carioznik Опубликовано 31 мая, 2023 Поделиться Опубликовано 31 мая, 2023 (изменено) 22 часа назад, Jyuly сказал: можно ли по снимку сказать (одному из них 2 года, другому точно не знаю, ~3-4) степень вероятности депульпирования зуба? Нет 22 часа назад, Jyuly сказал: какого специалиста мне искать спешно - терапевта, для пломбирования каналов или ортопеда для установки новой вкладки Думаю, нужно начать с ортопеда, чтобы он определил план действий по этому зубу. (либо будет делать сам , либо к терапевту сначала отправит) Изменено 31 мая, 2023 пользователем Carioznik 1 Ссылка на комментарий
Jyuly Опубликовано 31 мая, 2023 Автор Поделиться Опубликовано 31 мая, 2023 4 часа назад, Carioznik сказал: Нет Думаю, нужно начать с ортопеда, чтобы он определил план действий по этому зубу. (либо будет делать сам , либо к терапевту сначала отправит) Вот ортопед меня и направил к терапевту. По его мнению (а он видел зуб воочию) скорее всего его нужно будет депульпировать. Он считает, что лучше треснувшую вкладку выпилить терпевту, ибо, если это сделает он (ортопед), и опасения подтвердятся, он меня отправит с открытым зубом, что не есть хорошо, лучше этого избежать. Дал мне терапевта своего, которого сам учил делать вкладки, и готов поручиться, а он в отпуске до 29 числа. Непросто найти хорошего специалиста самостоятельно. Я уже попробовала в прошлый раз (делала у другого ортопеда) - и вот результат. Вкладка, которая должна служить 10-15 лет простояла всего 4 года... Ссылка на комментарий
Carioznik Опубликовано 31 мая, 2023 Поделиться Опубликовано 31 мая, 2023 Ну варианты тогда такие: 1)ждать терапевта (что-то длинный у него отпуск.. ) и надеятся ,что зуб сильно не разболится (если конечно в нем причина Ваших болей) 2) искать, всё-таки, другого терапевта или ортопеда Ссылка на комментарий
annda Опубликовано 1 июня, 2023 Поделиться Опубликовано 1 июня, 2023 (изменено) Как мне это нравится. Вкладочки керамические ставит ортопед, а выпиливай их, выпучив глаза - терапевт. Прям , справедливо и правильно. Литых вкладок тоже касается. Изменено 1 июня, 2023 пользователем annda 1 1 Ссылка на комментарий
Jyuly Опубликовано 2 июня, 2023 Автор Поделиться Опубликовано 2 июня, 2023 (изменено) 15 часов назад, annda сказал: Как мне это нравится. Вкладочки керамические ставит ортопед, а выпиливай их, выпучив глаза - терапевт. Прям , справедливо и правильно. Литых вкладок тоже касается. Ах, вот как? Я даже и не подумала об этом, что ортопед не стал выпиливать вкладку не из-за намерения осуществить правильный порядок лечения, с минимумом возможных осложнений, а из-за того, что ему не захотелось выполнять "грязную" и сложную работу, судя по Вашему комментарию о выпучивании глаз... Теперь буду знать, что в первую очередь мне нужно позаботиться о комфорте Врача, за мои же шанежки, и лучше будет, если я сама вкладку отковыряю ))) P.S. Вы пользуетесь бинокулярами при работе? Изменено 2 июня, 2023 пользователем Jyuly Ссылка на комментарий
Jyuly Опубликовано 2 июня, 2023 Автор Поделиться Опубликовано 2 июня, 2023 31.05.2023 в 10:37, Carioznik сказал: В любую. О пульпите из-за этого "шарика". Но это редкое явление, так что, не заморачивайтесь по этому поводу. Это так... профессиональный интерес. И к вашему случаю, похоже, не имеет отношения И всё же, что это за шарик может быть?))) Я понаблюдала, боль не усиливается при наклоне. Полностью перестала жевать на этой стороне - и боль стала беспокоить меньше. Ссылка на комментарий
Carioznik Опубликовано 2 июня, 2023 Поделиться Опубликовано 2 июня, 2023 2 часа назад, Jyuly сказал: что это за шарик может быть? Дентикль 1 1 Ссылка на комментарий
annda Опубликовано 2 июня, 2023 Поделиться Опубликовано 2 июня, 2023 (изменено) Ответ на пы. сы.Если вы внимательно посмотрите на мой аватар, то увидите, что я даже микроскоп пользую, да.Лет 10 как. И бинокуляры иногда. И ортопедию в него делаю, и эндо, и чистку:) Могу сказать, что даже в микроскоп-это достаточно нетривиальная задача.Честно говоря, вас эта реплика вообще не касается… Просто вчера чужую литую вкладку выковыривала полтора часа, убила с десяток дорогущих боров, прайс ни время, ни здоровье , ни затраты, конечно, не перекрыл… А ведь можно было просто удалить зуб, да и все дела, быстро и без проблем. Просто обидно. Прошу прощения, вы как пациент, конечно, не при чем… Изменено 2 июня, 2023 пользователем annda Ссылка на комментарий
Рекомендуемые сообщения
Для публикации сообщений создайте учётную запись или авторизуйтесь
Вы должны быть пользователем, чтобы оставить комментарий
Создать аккаунт
Зарегистрируйте новый аккаунт в нашем сообществе. Это очень просто!
Регистрация нового пользователяВойти
Уже есть аккаунт? Войти в систему.
Войти