TIGER Опубликовано 8 мая, 2023 Поделиться Опубликовано 8 мая, 2023 (изменено) Изменено 8 мая, 2023 пользователем TIGER 6 Ссылка на комментарий
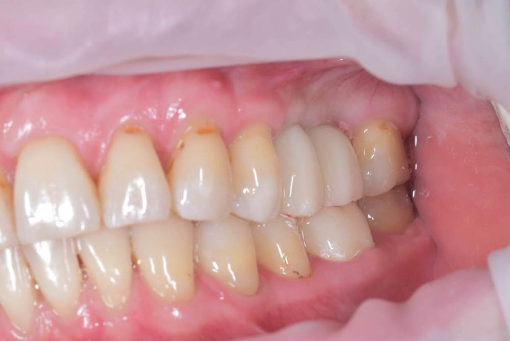
TIGER Опубликовано 8 мая, 2023 Автор Поделиться Опубликовано 8 мая, 2023 Всем привет!планировал удаление,но во время синуса решил использовать фрагмент как клин для стабилизации болта,в итоге совершил ошибку с более медиальной позицией 26,ибо шаблон не изготовил....через 5 мес одел времяхи,т.к будет тотал Ссылка на комментарий
Irouil Опубликовано 8 мая, 2023 Поделиться Опубликовано 8 мая, 2023 Вроде норм, в итоге 1 Ссылка на комментарий
TIGER Опубликовано 8 мая, 2023 Автор Поделиться Опубликовано 8 мая, 2023 @Irouil да,ортопедически всё отлично,я переживал Ссылка на комментарий
Рекомендуемые сообщения
Для публикации сообщений создайте учётную запись или авторизуйтесь
Вы должны быть пользователем, чтобы оставить комментарий
Создать аккаунт
Зарегистрируйте новый аккаунт в нашем сообществе. Это очень просто!
Регистрация нового пользователяВойти
Уже есть аккаунт? Войти в систему.
Войти