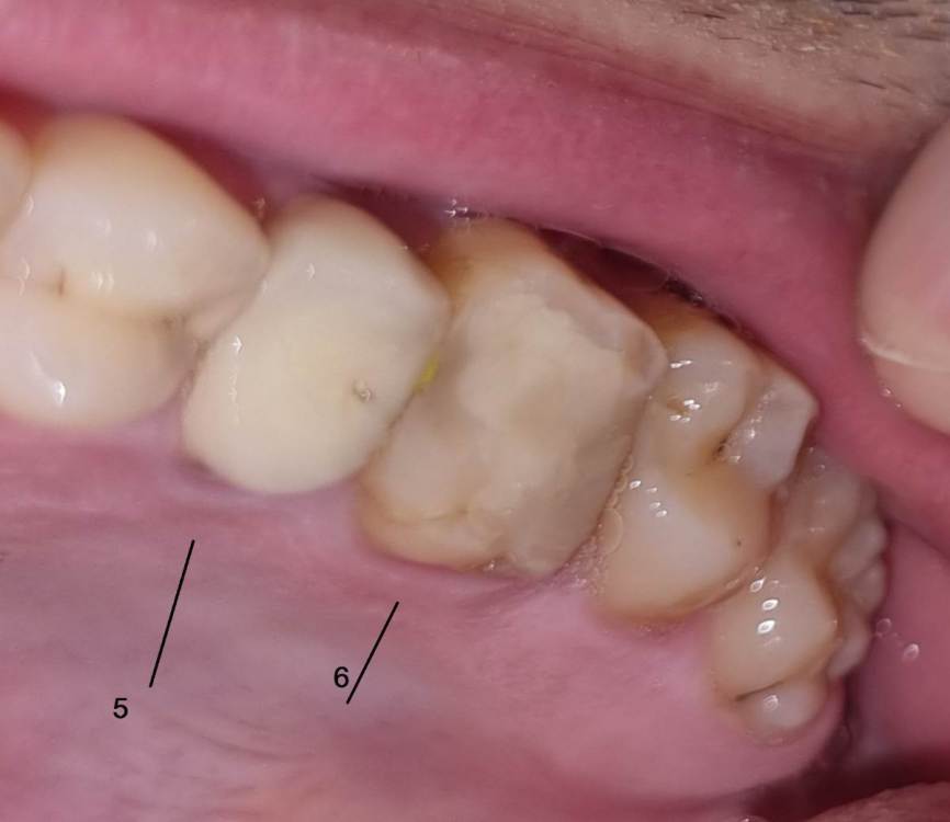
Chelovek2012 Опубликовано 17 апреля, 2023 Поделиться Опубликовано 17 апреля, 2023 (изменено) Всем добрый день. У меня вопрос. Верхняя левая 6-ка: Зуб давно был с запломбироваными каналами. Месяц назад их перепломбировали. Вкрутили в середину зуба какие-то как шурубчики для укрепления. И доктор говорит, что будет коронка Можно ли поборотся и спасти зуб, в который уже вкручены шурупчики для укрепления? 3 стенки зубы точно вижу на фото. Или нету смысла и он разлетится? Пломбировать уже нету смысла? Или технология пломбирования уже тут не подходит? 5 зуб возле него. Врачь говорит сразу сменить и эту коронку (ей 10 лет), так как между зубами есть нестыковка - темное место на рентгене между зубами Изменено 17 апреля, 2023 пользователем Chelovek2012 Ссылка на комментарий
DoctorT Опубликовано 18 апреля, 2023 Поделиться Опубликовано 18 апреля, 2023 (изменено) Коронка и ставиться, чтобы побороться за этот зуб, в противном случае (при таком объеме пломбы) вы его потеряете рано. Кстати, если вы перепроверяете слова вашего доктора, рекомендую вам сменить доктора на того, кому вы будете доверять. Изменено 18 апреля, 2023 пользователем DoctorT Ссылка на комментарий
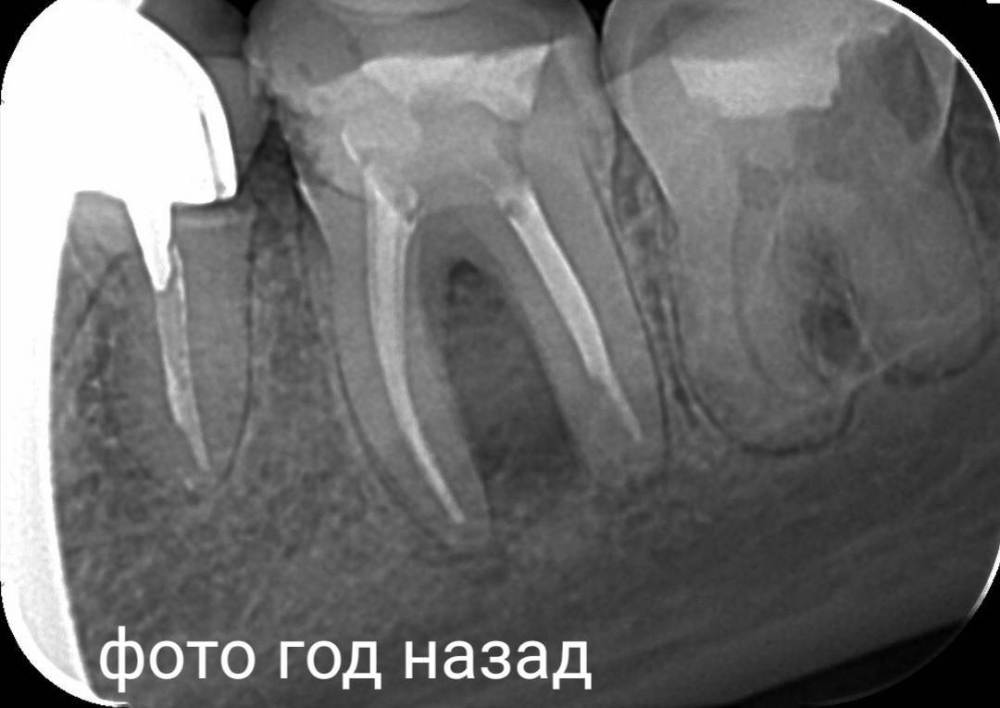
Chelovek2012 Опубликовано 18 апреля, 2023 Автор Поделиться Опубликовано 18 апреля, 2023 (изменено) Спасибо. 3 Я просто думал, что в 2023 году уже есть технология сохранения зуба со стенками, чтобы не спиливать его и не ставить коронку. Зуб у меня новый не выростет больше никогда. Хотел поборотся за зуб. Скажите, а по фото/ренгтену можно ли определить, что коронка 5 зуба нуждается в замене? Изменено 18 апреля, 2023 пользователем Chelovek2012 Ссылка на комментарий
IvanK Опубликовано 19 апреля, 2023 Поделиться Опубликовано 19 апреля, 2023 19 часов назад, Chelovek2012 сказал: что коронка 5 зуба нуждается в замене? Здравствуйте, судя по снимку, да Ссылка на комментарий
Chelovek2012 Опубликовано 19 апреля, 2023 Автор Поделиться Опубликовано 19 апреля, 2023 А это касается и других зубов, у которых есть только стенки? Нету технологии спасти зуб (во своих стенках) без коронки? Ссылка на комментарий
DoctorT Опубликовано 19 апреля, 2023 Поделиться Опубликовано 19 апреля, 2023 1 час назад, Chelovek2012 сказал: А это касается и других зубов, у которых есть только стенки? Нету технологии спасти зуб (во своих стенках) без коронки? Вы не бойтесь коронки, они же бывают разные, главное сделать грамотно и чтобы прилегание было отличное, такая коронка может прослужить очень долго. Поймите, что если убрать весь пломбировочный материал с зуба, то от него ничего не останется. Коронка только армирует ваши оставшиеся стенки и пломбу, как деревянную бочку армируют железные кольца... 1 Ссылка на комментарий
IvanK Опубликовано 20 апреля, 2023 Поделиться Опубликовано 20 апреля, 2023 20 часов назад, Chelovek2012 сказал: А это касается и других зубов, у которых есть только стенки? Нету технологии спасти зуб (во своих стенках) без коронки? покажите панорамный снимок (ОПТГ), тогда смогу сказать о других зубах судя по рг снимку есть все шансы получит кариес корня 5го зуба, что приведет к удалению зуба по поводу технологии спасения зубов - это только профилактика стоматологических заболеваний, а именно самостоятельная и профессиональная гигиена полости рта, своевременные осмотры и диагностические мероприятия у врача-стоматолога 1 Ссылка на комментарий
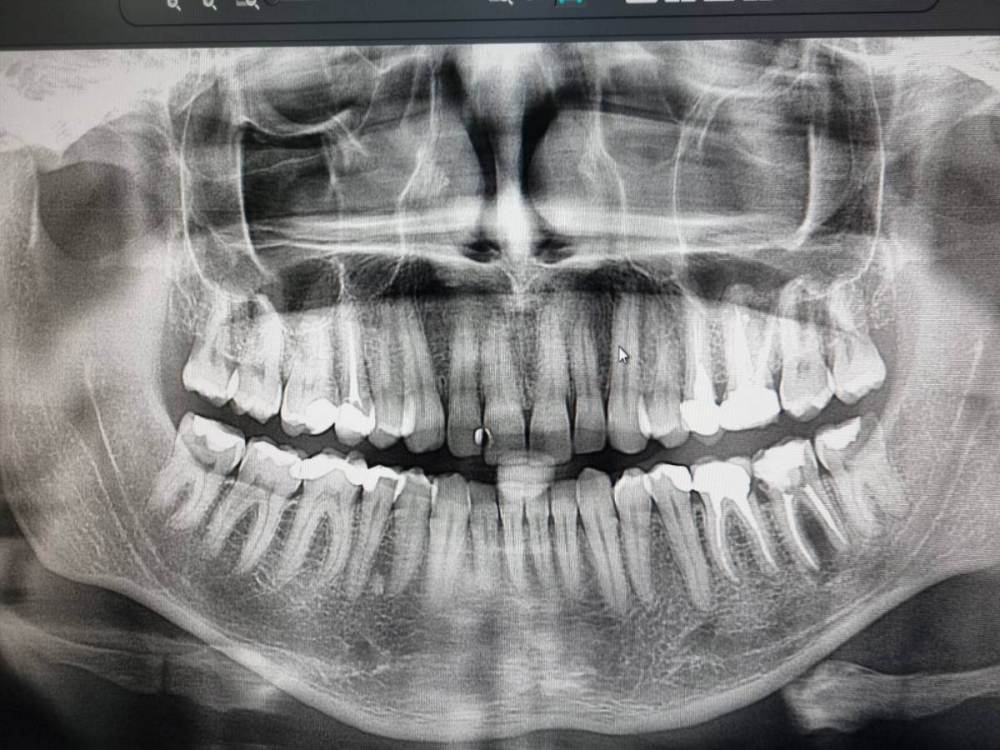
Chelovek2012 Опубликовано 20 апреля, 2023 Автор Поделиться Опубликовано 20 апреля, 2023 Вот рентген, год назад Мне 38 лет Ссылка на комментарий
IvanK Опубликовано 21 апреля, 2023 Поделиться Опубликовано 21 апреля, 2023 Здравствуйте, год - это уже срок, не очень актуально, но, исходя из этого снимка, я бы рекомендовал: проверить контактный пункт 15-16, состояние пломб 11,12, на 25 возможно кариес под коронкой 15, 26, 37 оценить по дкт корни, далее протезирование 36 кариес под коронкой оценка контактных пунктов 45-46-47 1 Ссылка на комментарий
Chelovek2012 Опубликовано 21 апреля, 2023 Автор Поделиться Опубликовано 21 апреля, 2023 Спасибо за детальный анализ. А что вы рекомендуете сделать с моими зубами мудрости? У меня они есть, но состояние их - дальняя стенка повреждена. Как вы считаете, с дальней стороны реально стоматологу подлезть и запломбировать зуб? Или пока не болят, оставить, пускай будут? Я слышал что в США рекомендуют сохранять максимум зубов, которые возможно сохранить. Что-то в 38 лет зубы у меня не очень, уже есть 3 коронки и судя по вашему анализу, еще намечаются + замена существующих. Ссылка на комментарий
IvanK Опубликовано 22 апреля, 2023 Поделиться Опубликовано 22 апреля, 2023 23 часа назад, Chelovek2012 сказал: Спасибо за детальный анализ. на здоровье 23 часа назад, Chelovek2012 сказал: А что вы рекомендуете сделать с моими зубами мудрости? я бы рекомендовал их удалить, но не стал об этом писать, так как Вы пока к этому не готовы и есть другие проблемы, к 8кам можно подойти после основного лечения или в процессе 1 Ссылка на комментарий
Chelovek2012 Опубликовано 28 апреля, 2023 Автор Поделиться Опубликовано 28 апреля, 2023 Скажите, пожалуйста, какие коронки ставить лучше: метало-керамика, или цирконий? Вторый дольше могут стоять, но что первые что вторые, если неудачно поставить, будет кариес под коронкой, как у меня Ссылка на комментарий
red_butler Опубликовано 28 апреля, 2023 Поделиться Опубликовано 28 апреля, 2023 53 минуты назад, Chelovek2012 сказал: Скажите, пожалуйста, какие коронки ставить лучше: метало-керамика, или цирконий? Вторый дольше могут стоять, но что первые что вторые, если неудачно поставить, будет кариес под коронкой, как у меня выбирайте врача, а не материал коронок Ссылка на комментарий
Doc Опубликовано 28 апреля, 2023 Поделиться Опубликовано 28 апреля, 2023 3 часа назад, Chelovek2012 сказал: Скажите, пожалуйста, какие коронки ставить лучше: метало-керамика, или цирконий? Вторый дольше могут стоять, но что первые что вторые, если неудачно поставить, будет кариес под коронкой, как у меня В хорошо заданном вопросе всегда есть половина ответа. Вы сами же и написали, что если неудачно поставить, то материал неважен. Потому ищите врача, а он уже выберет материал. Ссылка на комментарий
Chelovek2012 Опубликовано 1 мая, 2023 Автор Поделиться Опубликовано 1 мая, 2023 Насколько хороший врачь станет известно через лет 10 1 1 Ссылка на комментарий
Chelovek2012 Опубликовано 15 мая, 2023 Автор Поделиться Опубликовано 15 мая, 2023 (изменено) Был сегодня у врача. 6 Верхний зуб пока запломбировал и не стал ставить имплант. Почему-то. Наверное, увидел более серьезную проблему. НО! Он сказал, что нижний 8 зуб мудрости нужно удалить. Так же 7 зуб говорит что огромная проблема. Говорит, что нужно принимать решение про удаление 8 и нижней 7ки. Два зуба. Потом 4 месяца на то, чтобы там все раросло и еще 4 месяца за работы по импланту 8 месяцев на лечение. Я не представляю, как без 7 зуба столько проходить. Уверенность в себе будет нарушена так на долго Ну и эстетика Год+ назад этого не было. Изменено 15 мая, 2023 пользователем Chelovek2012 Ссылка на комментарий
Chelovek2012 Опубликовано 15 мая, 2023 Автор Поделиться Опубликовано 15 мая, 2023 (изменено) Уже читал про имплантацию.. Возможна ли тут одномоментная имплантация 7 нижнего зуба? Или там воспалительный процесс и это нереально? Как долго можно откладывать имплантацию? Можно ли вылечить воспаление в этом зубе, чтобы его сохранить? Изменено 16 мая, 2023 пользователем Chelovek2012 Ссылка на комментарий
Рекомендуемые сообщения
Для публикации сообщений создайте учётную запись или авторизуйтесь
Вы должны быть пользователем, чтобы оставить комментарий
Создать аккаунт
Зарегистрируйте новый аккаунт в нашем сообществе. Это очень просто!
Регистрация нового пользователяВойти
Уже есть аккаунт? Войти в систему.
Войти