Кирова зоя Опубликовано 1 апреля, 2023 Поделиться Опубликовано 1 апреля, 2023 Подскажите норма ли такое заживления лунки. 2 день после удаление шестого зуба. Что нужно сделать если это гной? Антибиотики ципролет пью 2 день, но от них сильная усталасть появляется. Ссылка на комментарий
IvanK Опубликовано 1 апреля, 2023 Поделиться Опубликовано 1 апреля, 2023 Здравствуйте Процесс заживления идет, это не гной Если не болит, то наблюдаем и соблюдаем рекомендации вашего врача Ссылка на комментарий
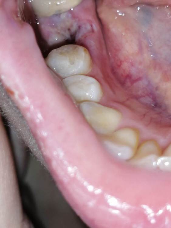
Кирова зоя Опубликовано 1 апреля, 2023 Автор Поделиться Опубликовано 1 апреля, 2023 (изменено) Я уже намазал дентамет. А так болит ещё, ноет и челюстью больно шевелить. До удаления. 2 недели зуб болел, врач лечил, говорил что из каналов выходит гной, оставил каналы открытые, чтобы гной выходил, но ничего не выходило. Со стороны щеки, внизу удалённого зуба, есть припухлость, шишка. Что это? Изменено 1 апреля, 2023 пользователем Кирова зоя Ссылка на комментарий
red_butler Опубликовано 3 апреля, 2023 Поделиться Опубликовано 3 апреля, 2023 01.04.2023 в 18:27, Кирова зоя сказал: Со стороны щеки, внизу удалённого зуба, есть припухлость, шишка. Что это? лимфоузел Ссылка на комментарий
IvanK Опубликовано 6 апреля, 2023 Поделиться Опубликовано 6 апреля, 2023 01.04.2023 в 18:27, Кирова зоя сказал: Я уже намазал дентамет. А так болит ещё, ноет и челюстью больно шевелить. До удаления. 2 недели зуб болел, врач лечил, говорил что из каналов выходит гной, оставил каналы открытые, чтобы гной выходил, но ничего не выходило. Со стороны щеки, внизу удалённого зуба, есть припухлость, шишка. Что это? ощущение раны - это нормально Динамика должна быть положительной Что-то мне подсказывает, что уже все хорошо) Ссылка на комментарий
Кирова зоя Опубликовано 6 апреля, 2023 Автор Поделиться Опубликовано 6 апреля, 2023 Спасибо за ответы. Мне полегче, но все ещё болит, уже прошло 6 дней. Сама рано болит около 5 зуба и там отёк,боль как будто рана или стоматит. Также болит когда трогаешь щеку внизу зубов 6,7. Ссылка на комментарий
IvanK Опубликовано 8 апреля, 2023 Поделиться Опубликовано 8 апреля, 2023 я бы советовал посетить Вашего врача для осмотра Ссылка на комментарий
Кирова зоя Опубликовано 12 апреля, 2023 Автор Поделиться Опубликовано 12 апреля, 2023 (изменено) Врач говорит ещё долго будет болеть. Это норма. Но вот уже 12 дней после удаления, а между десной и щекой ещё отёк небольшой и болит. Такое ощущение что гной не выходит от туда. При чем боль постепенно стихала, но вот сегодня болит сильнее. Изменено 12 апреля, 2023 пользователем Кирова зоя Ссылка на комментарий
IvanK Опубликовано 13 апреля, 2023 Поделиться Опубликовано 13 апреля, 2023 покажите фото желательно в зеркало, чтобы лунку было видно полностью Ссылка на комментарий
Рекомендуемые сообщения
Для публикации сообщений создайте учётную запись или авторизуйтесь
Вы должны быть пользователем, чтобы оставить комментарий
Создать аккаунт
Зарегистрируйте новый аккаунт в нашем сообществе. Это очень просто!
Регистрация нового пользователяВойти
Уже есть аккаунт? Войти в систему.
Войти