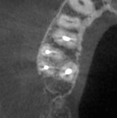
Александр В.В. Опубликовано 29 марта, 2023 Поделиться Опубликовано 29 марта, 2023 (изменено) Здравствуйте! Уже давно на шестом верхнем зубе есть гранулёма или киста размером 5-6 мм. Несколько лет назад пробовали класть кальций в каком-то виде, но, видимо, не помогло. Сейчас всё-таки решил перелечить этот канал, но эндодонтист сказал, что это только часть дела и надо делать все каналы. Кроме того, как я понял, проблема не в том канале, который запломбирован, а в том, который проходит рядом с ним и не был обнаружен и запломбирован. На этом снимке это верхний левый корень и в его правой части темное пятно - это вроде и есть тот ненайденный канал. Здесь видна гранулёма и запломбированный канал (корень слева). А здесь справа от запломбированного канала (левого корня), тот самый незапломбированный. Но у меня есть сомнения по поводу такого вывода, потому что в других каналах можно обнаружить более очевидные "темные каналы" в зависимости от среза. На этих снимках обращаю ваше внимание на правый канал. Если нужно, могу предоставить другие проекции, потому что имею диск с данными КЛКТ. Вопросы. 1. Действительно ли на снимке ненайденный канал на корне зуба с гранулёмой? 2. Возможно ли перелечивание одного канала с гранулёмой или кистой или нужно распломбировать сразу все каналы во всех корнях? 3. Если на снимке всё-таки ненайденный канал, то не кажется ли вам, что он прямой, а не изогнутый? Если прямой, его может обработать терапевт без использования микроскопа? Изменено 29 марта, 2023 пользователем Александр В.В. Ссылка на комментарий
Carioznik Опубликовано 29 марта, 2023 Поделиться Опубликовано 29 марта, 2023 1 час назад, Александр В.В. сказал: 1. Действительно ли на снимке ненайденный канал на корне зуба с гранулёмой? Да 1 час назад, Александр В.В. сказал: Возможно ли перелечивание одного канала с гранулёмой или кистой или нужно распломбировать сразу все каналы во всех корнях? Такая практика существует, но применяется редко и в исключительных случаях. Решение о селективном перелечивании принимает лечащий врач. И кстати, у Вас очень похоже на то, что в зубе есть ещё и кариес и если это так - то нужно переделывать все каналы. 1 час назад, Александр В.В. сказал: Если на снимке всё-таки ненайденный канал, то не кажется ли вам, что он прямой, а не изогнутый? Если прямой, его может обработать терапевт без использования микроскопа? Нет не прямой. И этот не найденный канал, как правило, самый изогнутый из всех. Всё завистит от мануальных навыков и ещё много чего и даже удачи. Можно и без микроскопа успешно всё сделать. Но с микроскопом или хотя бы с лупами- шансы на успех резко возрастают. 1 Ссылка на комментарий
Александр В.В. Опубликовано 29 марта, 2023 Автор Поделиться Опубликовано 29 марта, 2023 Спасибо за ответ. 1 час назад, Carioznik сказал: нужно переделывать все каналы А возможно ли сказать, примерно насколько в процентах увеличится стоимость лечения, если заниматься не всеми каналами одновременно, а поочереди? То есть, на одном сеансе распломбировали один канал или корень, почистили, заложили лекарство, поставили временную пломбу. На следующем сеансе следующий канал. И так далее. Ссылка на комментарий
Carioznik Опубликовано 30 марта, 2023 Поделиться Опубликовано 30 марта, 2023 Не знаю, у всех всё по разному, где-то список манипуляций на пол страницы из которых складываеся общая сумма, а где-то и фикс.прайс может быть( цена за моляр, резец, премоляр например. И неважно сколько там каналов) Это нужно обсуждать с лечащим врачом на консультации 1 Ссылка на комментарий
Александр В.В. Опубликовано 16 декабря, 2023 Автор Поделиться Опубликовано 16 декабря, 2023 Здравствуйте! Провёл лечение этого зуба, а гранулёма и боли остались. Прошу совета. Рассказываю по порядку. 1. До перелечивания этого зуба (шестнадцатый) были постоянные воспаления десны из-за разрушенной коронки зуба и неровных краёв пломбы в поддесневой части со стороны отсутствующего соседнего зуба. Также были боли при прикосновении пальцем десны в проекции корней зуба со стороны щеки, то есть, примерно там, где находится гранулёма. При этом припухлости этой области я не замечал. 2. На первом этапе лечения были рассверлены каналы, в том числе и ранее не найденный, и на 7 дней заложен препарат для растворения остатков пломбировочного материала. Также была установлена временная пломба. Уже после первого посещения я заметил, что ушла боль при прикосновении пальцем проекции корней. Но 2-3 дня периодически происходило выделение бурой жидкости из носа в виде капель при наклоне головы. Зуб не болел, ничего не опухало. 3. На втором этапе были удалены остатки пломбировочного материала из корней, заложен препарат кальция для «лечения» и снова установлена временная пломба. Точно не знаю, для чего применяется кальций. То ли как антисептическое средство, то ли для восстановления костной ткани. Опять несколько дней наблюдалось выделение жидкости из носа. Болей не было три недели ни в области проекции корней, ни десны со стороны отсутствующего зуба, а потом опять начала болеть десна скорее всего из-за разрушения временной пломбы. С кальцием ходил 30 дней. 4. На третьем этапе были запломбированы все каналы, установлен стекловолоконный штифт и восстановлена коронка зуба с помощью пломбировочного материала, но при этом зуб был выведен из прикуса. Стоматолог предупредил, что зуб может болеть 2 недели, как это бывает после пломбирования. На этот раз никаких выделений из носа не было. Болей или опухания тоже не было. Но примерно через 8 дней опять начала болеть десна, как со стороны отсутствующего зуба, так и в проекции корней, причём, мне кажется, что даже сильнее, чем раньше. Возможно, это связано с тем, что я начал пытаться жевать этим зубом и более смело пользоваться зубной щёткой. Новые снимки зуба показали, что гранулёма осталась на своём месте. Вопросы. 1. Нормально ли то, что гранулёма осталась, несмотря на проведённое лечение? 2. На снимке потемнение десны справа от зуба – это воспаление? В чём может быть его причина? 3. Что появилось в пазухах? На снимках, сделанных год назад, этого не было. 4. Почему проходили боли на первых этапах лечения и появились снова после его окончания? 5. Что делать дальше? Ждать, что само пройдёт или принимать какие-то меры? Систематически таблетки не пил. Только однократный приём НПВС после каждого посещения стоматолога. Сейчас провожу полоскание зуба различными препаратами и мажу разными мазями и гелями для дёсен. Ссылка на комментарий
Carioznik Опубликовано 17 декабря, 2023 Поделиться Опубликовано 17 декабря, 2023 Здравствуйте, а лечащий врач что говорит? Сложно, что то конкретное ответить, нужно посмотреть более детально, новую и старую КТ Ссылка на комментарий
Александр В.В. Опубликовано 19 декабря, 2023 Автор Поделиться Опубликовано 19 декабря, 2023 Здравствуйте! С врачом ещё не говорил, пока был у другого для лечения другого зуба. Заодно попросил его убрать неровность, как я думал, на стыке зуба и пломбы под десной, которая и приводила к воспалению. Врач предположил, что эта неровность скорее всего получилась из-за кламмера, на который одевалась изоляция. Сейчас боль с этой стороны проходит. В проекции корней и гранулёмы боль тоже затихает, но, возможно, только пока я не трогаю. Снимки КТ в первом сообщении темы старые, а в сообщении 16 декабря уже как раз новые, после лечения. В этот раз они почему-то получились менее чёткими. Ссылка на комментарий
Carioznik Опубликовано 19 декабря, 2023 Поделиться Опубликовано 19 декабря, 2023 3 часа назад, Александр В.В. сказал: Снимки КТ в первом сообщении темы старые, а в сообщении 16 декабря уже как раз новые, после лечения. В этот раз они почему-то получились менее чёткими. Простых скринов от КТ - недостаточно, нужно смотреть полноценную КТ через программу. То что Вы прикрепили- это лишь малая часть той информации, которую можно посмотреть через программу на компьютере Ссылка на комментарий
Александр В.В. Опубликовано 20 декабря, 2023 Автор Поделиться Опубликовано 20 декабря, 2023 20 часов назад, Carioznik сказал: То что Вы прикрепили- это лишь малая часть той информации, которую можно посмотреть через программу на компьютере Я понимаю. Просто сделал такие снимки для иллюстрации описанных проблем. Ссылка на комментарий
Рекомендуемые сообщения
Для публикации сообщений создайте учётную запись или авторизуйтесь
Вы должны быть пользователем, чтобы оставить комментарий
Создать аккаунт
Зарегистрируйте новый аккаунт в нашем сообществе. Это очень просто!
Регистрация нового пользователяВойти
Уже есть аккаунт? Войти в систему.
Войти