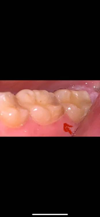
vanessa120 Опубликовано 18 марта, 2023 Поделиться Опубликовано 18 марта, 2023 Недавно появилось легкое пульсирующее ощущение в боковой части лица, иногда я чувствую боль (я думаю) в зубе, но она приходит и уходит, просто чувствует себя немного странно? Не болит при надавливании или что-то в этом роде. Это просто воспаленная десна или что-то более серьезное? Это похоже на карьес, но я не могу позволить себе ходить к стоматологу в данный момент. Очень туго с деньгами. У меня клиническая депрессия, поэтому мое здоровье полости рта не очень хорошее. Какие-нибудь домашние средства, которые могли бы сработать? Я прикрепил фотографии. я не пью и не курю Ссылка на комментарий
shishok Опубликовано 19 марта, 2023 Поделиться Опубликовано 19 марта, 2023 Похоже на вторичный кариес под пломбой. Хорошо бы снимок посмотреть. Кариес лучше полечить побыстрее (может заболеть в любой момент). Ссылка на комментарий
vanessa120 Опубликовано 19 марта, 2023 Автор Поделиться Опубликовано 19 марта, 2023 @shishokспасибо за ответ, а какие причины его возникновения? Ссылка на комментарий
shishok Опубликовано 20 марта, 2023 Поделиться Опубликовано 20 марта, 2023 Причина возникновения кариеса в принципе или в данном случае? Но по-моему это вопрос риторический. Кариес надо лечить. 1 Ссылка на комментарий
Рекомендуемые сообщения
Для публикации сообщений создайте учётную запись или авторизуйтесь
Вы должны быть пользователем, чтобы оставить комментарий
Создать аккаунт
Зарегистрируйте новый аккаунт в нашем сообществе. Это очень просто!
Регистрация нового пользователяВойти
Уже есть аккаунт? Войти в систему.
Войти