Перейти к содержанию
Стоматология для всех

посоветуйте что предпринять и как лечить?


АЛЯ Достманн

Рекомендуемые сообщения

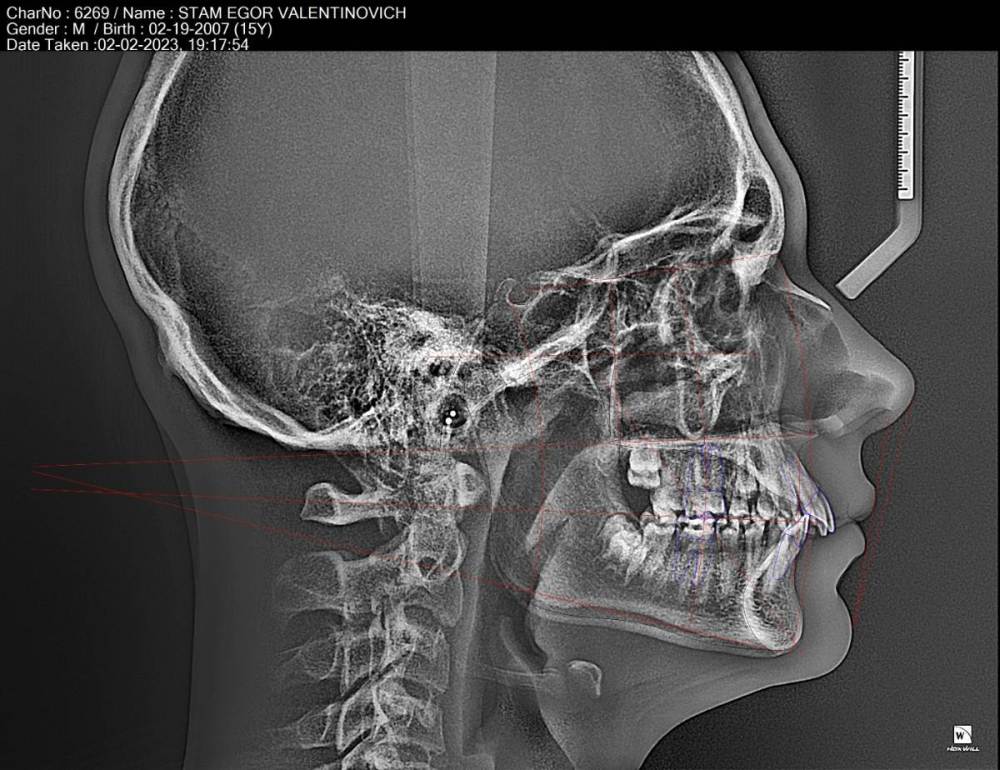
Доброго дня ! у ребенка неправильный прикус ,каждый врач Калининграда советует разные методы ,взываю о  помощи и буду благодарна за любую информацию.

Стам Егор Валентинович ТРГ трассированная.jpg

Стам Егор Валентинович заключение.pdf Стам Егор Валентинович расчёт Пикассо.pdf

Ссылка на комментарий

Для публикации сообщений создайте учётную запись или авторизуйтесь

Вы должны быть пользователем, чтобы оставить комментарий

Создать аккаунт

Зарегистрируйте новый аккаунт в нашем сообществе. Это очень просто!

Регистрация нового пользователя

Войти

Уже есть аккаунт? Войти в систему.

Войти
×
×
  • Создать...
Вверх