chacraborti Опубликовано 12 марта, 2023 Поделиться Опубликовано 12 марта, 2023 Поскажите, есть ли кариес на левой пятерке снизу? Темное пятно ниже пломбы. Ссылка на комментарий
Carioznik Опубликовано 12 марта, 2023 Поделиться Опубликовано 12 марта, 2023 Это не кариес 1 Ссылка на комментарий
red_butler Опубликовано 13 марта, 2023 Поделиться Опубликовано 13 марта, 2023 chacraborti что Вас беспокоит? Ссылка на комментарий
chacraborti Опубликовано 13 марта, 2023 Автор Поделиться Опубликовано 13 марта, 2023 @red_butler Зуб реагирует на холодное, горячее, кислое, сладкое, боль кратковременная, проходит через секунду. Зуб витальный (делали холодовую пробу). Ссылка на комментарий
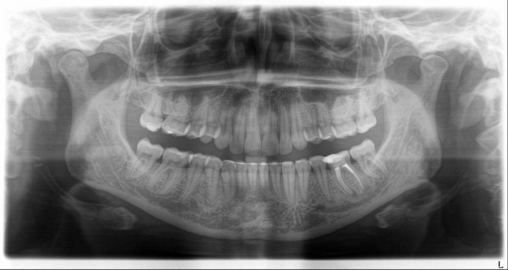
IvanK Опубликовано 24 марта, 2023 Поделиться Опубликовано 24 марта, 2023 Здравствуйте Выложите фото зуба на ОПТГ бросается в глаза зуб 3.6 Ссылка на комментарий
Рекомендуемые сообщения
Для публикации сообщений создайте учётную запись или авторизуйтесь
Вы должны быть пользователем, чтобы оставить комментарий
Создать аккаунт
Зарегистрируйте новый аккаунт в нашем сообществе. Это очень просто!
Регистрация нового пользователяВойти
Уже есть аккаунт? Войти в систему.
Войти