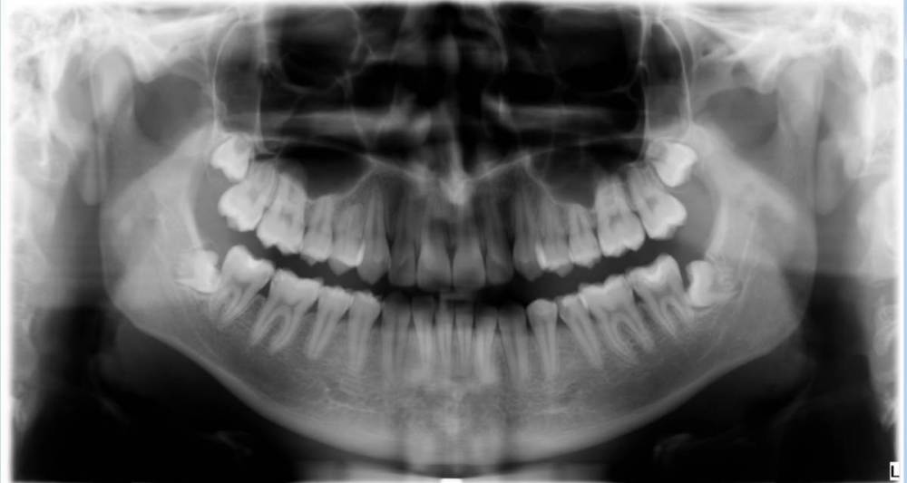
modsamara Опубликовано 12 марта, 2023 Поделиться Опубликовано 12 марта, 2023 Всем добра, подскажите пожалуйста по восьмеркам. 17 лет, недавно было пару дней дискомфортно в нижней челюсти, как будто что-то сдавливало зубной ряд сделал снимок Подскажите, стоит ли вообще удалять нижние и верхние? Для удаления нижних врач планирует пилить челюсть Порекомендуйте к кому обратиться за очной консультацией и удалением - качественным и не очень дорогим:) Ссылка на комментарий
Зубоволок 36 Опубликовано 13 марта, 2023 Поделиться Опубликовано 13 марта, 2023 Добрый день, нижние удалять. Насчёт верхних, скорее всего, так как без нижних в них нет смысла. " Пилить челюсть" - один из возможных вариантов удаления этих зубов, но лучше пилить сам зуб на части. Ссылка на комментарий
modsamara Опубликовано 13 марта, 2023 Автор Поделиться Опубликовано 13 марта, 2023 2 часа назад, Зубоволок 36 сказал: Добрый день, нижние удалять. Насчёт верхних, скорее всего, так как без нижних в них нет смысла. " Пилить челюсть" - один из возможных вариантов удаления этих зубов, но лучше пилить сам зуб на части. ну доктор говорит что и зубы пилить и челюсть я как не спец на снимке вижу что впринципе, если распилить зубы, то они вылезут в имеющиеся отверстия Ссылка на комментарий
IvanK Опубликовано 24 марта, 2023 Поделиться Опубликовано 24 марта, 2023 Здравствуйте не переживайте по поводу "будут пилить", обычно кость затрагивают минимально или не трогают вовсе. Если переживаете, то можно в мед сне убрать все сразу 1 Ссылка на комментарий
modsamara Опубликовано 24 марта, 2023 Автор Поделиться Опубликовано 24 марта, 2023 9 часов назад, IvanK сказал: Здравствуйте не переживайте по поводу "будут пилить", обычно кость затрагивают минимально или не трогают вовсе. Если переживаете, то можно в мед сне убрать все сразу Я переживаю по поводу умений доктора, у меня нет возможности объективно его оценить а при желании, думаю там можно половину рта разворотить Ссылка на комментарий
IvanK Опубликовано 31 марта, 2023 Поделиться Опубликовано 31 марта, 2023 24.03.2023 в 19:15, modsamara сказал: Я переживаю по поводу умений доктора, у меня нет возможности объективно его оценить а при желании, думаю там можно половину рта разворотить тогда нужно найти врача, которому Вы сможете доверять Ссылка на комментарий
Рекомендуемые сообщения
Для публикации сообщений создайте учётную запись или авторизуйтесь
Вы должны быть пользователем, чтобы оставить комментарий
Создать аккаунт
Зарегистрируйте новый аккаунт в нашем сообществе. Это очень просто!
Регистрация нового пользователяВойти
Уже есть аккаунт? Войти в систему.
Войти