Перейти к содержанию
Стоматология для всех

Одновременное удаление трех зубов и сразу установка имплантов на их место


Рекомендуемые сообщения

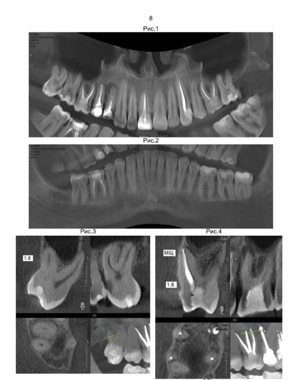
Здравствуйте. Сделал КТ всей челюсти с описание врача рентгенолога. 

Врач стоматолог написал планы лечения. Больше всего меня смущает удаление трех верхних зубов 1.4, 1.5, 1.6 т.к. на концах корней у этих зубов развиваются опухоли, и установка на их место имплантов сразу после удаления. Правильно ли это? Просто до этого слышал, что перед установкой импланта требуется около трех месяц на заживление. Стоматолог говорит, что надо сразу установить импланты, что бы избежать деформацию десны. Потом через примерно три месяца на эти три импланта будут ставиться коронки.

По второму плану лечения зубы 2.6 и 4.6 стачиваются, устанавливаются корневые вкладки и ставятся коронки.

И по третьему плану лечения зубы 1.8 и 3.8 просто удаляются.

 

Не знаю как поступить, соглашаться с этими планами лечения или обращаться в другие клиники? Да и финансовая сторона очень существенная.

01.jpg

02.jpg

03.jpg

04.jpg

05.jpg

06.jpg

07.jpg

08.jpg

09.jpg

 

11.jpg

12.jpg

13.jpg

10.jpg

Изменено пользователем TAN_78
Ссылка на комментарий
  • 2 недели спустя...
09.03.2023 в 13:39, TAN_78 сказал:

Врач стоматолог написал планы лечения. Больше всего меня смущает удаление трех верхних зубов 1.4, 1.5, 1.6 т.к. на концах корней у этих зубов развиваются опухоли, и установка на их место имплантов сразу после удаления. Правильно ли это? Просто до этого слышал, что перед установкой импланта требуется около трех месяц на заживление. Стоматолог говорит, что надо сразу установить импланты, что бы избежать деформацию десны. Потом через примерно три месяца на эти три импланта будут ставиться коронки.

По второму плану лечения зубы 2.6 и 4.6 стачиваются, устанавливаются корневые вкладки и ставятся коронки.

И по третьему плану лечения зубы 1.8 и 3.8 просто удаляются.

Здравствуйте

А Вы были на консультации у стоматолога-терапевта?

про 8ки согласен 

Ссылка на комментарий

Для публикации сообщений создайте учётную запись или авторизуйтесь

Вы должны быть пользователем, чтобы оставить комментарий

Создать аккаунт

Зарегистрируйте новый аккаунт в нашем сообществе. Это очень просто!

Регистрация нового пользователя

Войти

Уже есть аккаунт? Войти в систему.

Войти
×
×
  • Создать...
Вверх