Sergey5263883 Опубликовано 26 февраля, 2023 Поделиться Опубликовано 26 февраля, 2023 Добрый день! Подскажите пожалуйста с имплантом всё в порядке? Разница между снимками 9 месяцев. Имплантам примерно 1,5 года. Беспокоит убыль кости, или это просто снимок так отображает? Заранее спасибо Ссылка на комментарий
Irouil Опубликовано 26 февраля, 2023 Поделиться Опубликовано 26 февраля, 2023 Вас что-то беспокоит? Ссылка на комментарий
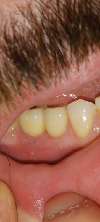
Sergey5263883 Опубликовано 26 февраля, 2023 Автор Поделиться Опубликовано 26 февраля, 2023 Да, я надавил на десну возле импланта и из неё выдавилось какая то белая субстанция, я подумал что это гной. Кстати пол года назад была точно такая же ситуация, надавил на десну оттуда что-то белое вытекло я тогда сходил сразу же к врачу, сделали снимок - там все было хорошо. И по моим субъективным ощущениям на снимке имплант был полностью погружен в кость. Даже больше чем на снимке которому 9 месяцев. Так меня ничего не беспокоит, ничего не болит, просто из за того что постоянно тыркаю в десну что бы узнать выходит оттуда что-то или нет ( идиот) она как бы подопухла, и какие то белые точки появились. Только что был у врача ( не своего, который ставил имплант - к нему только в четверг) Решил не тянуть и сходить просто к терапевту которого нашёл т. К сегодня воскресенье Он посмотрел, сказал что это точно не гной, типа нету свища и все выглядит нормально. Снимок он как то кстати на компе цвет менял и он по разному выглядил. Прилагаю фото во рту Ссылка на комментарий
Sergey5263883 Опубликовано 26 февраля, 2023 Автор Поделиться Опубликовано 26 февраля, 2023 А так было 9 месяцев назад Ссылка на комментарий
Большой Зеленый Опубликовано 28 февраля, 2023 Поделиться Опубликовано 28 февраля, 2023 Лет на 150 еще должно хватить.. 1 1 Ссылка на комментарий
Sergey5263883 Опубликовано 2 марта, 2023 Автор Поделиться Опубликовано 2 марта, 2023 Пришёл сегодня к врачу. Доктор сказала что это переимплантит, и нужно снимать коронки, ставить формирователи. Но потом отправила сделать ещё снимок. И он как будто не отличается от первого, который был под года назад. Сказала неделю походить, пополоскать и мазью помазать - понаблюдать. Ссылка на комментарий
Sergey5263883 Опубликовано 13 июля, 2023 Автор Поделиться Опубликовано 13 июля, 2023 Здравствуйте. Прошло 4 месяца, опять та же проблема. Сделал клкт, врач говорит переимплантит. Говорит нужно снять коронки, она попробует почистить, Сполировать оголившиеся витки, и нарастить десну. Я так понимаю что если процесс заражения запущен - то его уже не остановить , и это все временные меры? Так ли это? И если имплант хорошо интегрирован в кость, его тяжело удалить? Придётся пол челюсти выпилить?) большая будет потеря кости? Спасибо Ссылка на комментарий
АнтонТЛТ Опубликовано 13 июля, 2023 Поделиться Опубликовано 13 июля, 2023 Лучше делать прицельный снимок для оценки периимплантита. Кт менее достоверный снимок. Корейские имплантаты тяжелее всего удалять. Ссылка на комментарий
Sergey5263883 Опубликовано 13 июля, 2023 Автор Поделиться Опубликовано 13 июля, 2023 (изменено) А шансы спасти есть? Или это трата времени и денег? Изменено 13 июля, 2023 пользователем Sergey5263883 Ссылка на комментарий
АнтонТЛТ Опубликовано 13 июля, 2023 Поделиться Опубликовано 13 июля, 2023 Чтобы оценить шансы, нужно как минимум посмотреть новый прицельный снимок Ссылка на комментарий
DoctorT Опубликовано 14 июля, 2023 Поделиться Опубликовано 14 июля, 2023 Если нет воспаления и достаточно "толстая" десна, то простоят они еще лет 10 и ничего им не будет. Ссылка на комментарий
Рекомендуемые сообщения
Для публикации сообщений создайте учётную запись или авторизуйтесь
Вы должны быть пользователем, чтобы оставить комментарий
Создать аккаунт
Зарегистрируйте новый аккаунт в нашем сообществе. Это очень просто!
Регистрация нового пользователяВойти
Уже есть аккаунт? Войти в систему.
Войти