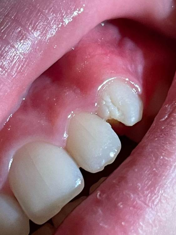
Ольгаxxx Опубликовано 20 февраля, 2023 Поделиться Опубликовано 20 февраля, 2023 Добрый вечер, уважаемые врачи. Подскажите, пожалуйста, что происходит с эмалью у дочки? Трещины на зубах и на клыке какая-то борозда. Как это лечить и что с этим делать? Вроде не ударялась нигде. Но бывает ночью слышу скрежет зубами. Нужно ли реставрировать клык? Спасибо за ответы. Ссылка на комментарий
ЛанаМ Опубликовано 21 февраля, 2023 Поделиться Опубликовано 21 февраля, 2023 Клык - аномалия развития. Реставрировать можно по эстетическим соображениям, но сначала решить проблему с бруксизмом (скрежет зубами). 1 Ссылка на комментарий
Рекомендуемые сообщения
Для публикации сообщений создайте учётную запись или авторизуйтесь
Вы должны быть пользователем, чтобы оставить комментарий
Создать аккаунт
Зарегистрируйте новый аккаунт в нашем сообществе. Это очень просто!
Регистрация нового пользователяВойти
Уже есть аккаунт? Войти в систему.
Войти