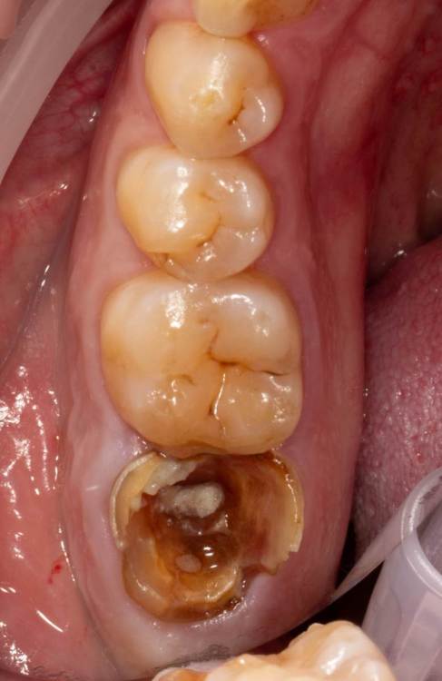
Женька Опубликовано 14 февраля, 2023 Поделиться Опубликовано 14 февраля, 2023 Собственно начал я работать в бинах... было тяжко, трудно. Но кажется даже по позициям не промахнулся... что странно ибо 3 сегмент для меня и без бинов не самый удобный (хотя может быть 3.5 несколько с дистальным наклоном вышел. Снимков нет, тк сделаны на плёнку увы (да мы всё ещё на плёнку фоткаемся ((( ). В бинах правда показалось, что очень сочный трансплантат забираю, по факту тонко и грустно. Поэтому решил не деэпителизировать и попробовать эпителием уложить на кость. Посмотрим, что из этого выйдет. 3 1 Ссылка на комментарий
Doc Опубликовано 14 февраля, 2023 Поделиться Опубликовано 14 февраля, 2023 Есть такой грех у бинокуляров. Пилишь зуб, кажется, что там полно еще тканей, места под коронку — завались, а по факту потом снимаешь, а там спичка такая вместо зуба и по прикусу миллиметра даже нет. Со временем это проходит, учишься мыслить в масштабе 1 Ссылка на комментарий
Женька Опубликовано 14 февраля, 2023 Автор Поделиться Опубликовано 14 февраля, 2023 @Doc или маркировочными борами?))) Ссылка на комментарий
Doc Опубликовано 14 февраля, 2023 Поделиться Опубликовано 14 февраля, 2023 2 часа назад, Женька сказал: @Doc или маркировочными борами?))) Без них не работа, но восприятие все равно никуда не денется. Ссылка на комментарий
Большой Зеленый Опубликовано 16 февраля, 2023 Поделиться Опубликовано 16 февраля, 2023 Эпителий надо убирать по любому. Ссылка на комментарий
Женька Опубликовано 16 февраля, 2023 Автор Поделиться Опубликовано 16 февраля, 2023 (изменено) @Большой Зеленый пробовал по Баграту Смбатяну, не видели его доклад? Изменено 16 февраля, 2023 пользователем Женька Ссылка на комментарий
Большой Зеленый Опубликовано 16 февраля, 2023 Поделиться Опубликовано 16 февраля, 2023 Баграт исследователь хороший парень , но работа то ваша. Ссылка на комментарий
Женька Опубликовано 16 февраля, 2023 Автор Поделиться Опубликовано 16 февраля, 2023 @Большой Зеленый Вот как раз и пробую на основании его исследований. Ссылка на комментарий
Большой Зеленый Опубликовано 16 февраля, 2023 Поделиться Опубликовано 16 февраля, 2023 Ссылка на комментарий
red_butler Опубликовано 16 февраля, 2023 Поделиться Опубликовано 16 февраля, 2023 43 минуты назад, Большой Зеленый сказал: все ходы записаны ))) Ссылка на комментарий
Женька Опубликовано 16 февраля, 2023 Автор Поделиться Опубликовано 16 февраля, 2023 @Большой Зеленый я Вас услышал)) Но всё-таки что сделано, то сделано. Посмотрим что вырастет? Ссылка на комментарий
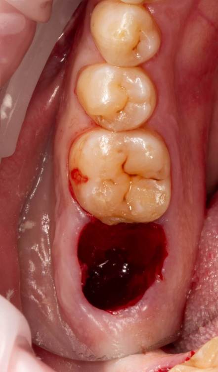
Женька Опубликовано 20 февраля, 2023 Автор Поделиться Опубликовано 20 февраля, 2023 (изменено) И ещё одна Коллеги, что делаете когда даже после препарирования ложа крови почти нет? Изменено 20 февраля, 2023 пользователем Женька Ссылка на комментарий
АнтонТЛТ Опубликовано 20 февраля, 2023 Поделиться Опубликовано 20 февраля, 2023 Появится как анестезия пройдет) 2 Ссылка на комментарий
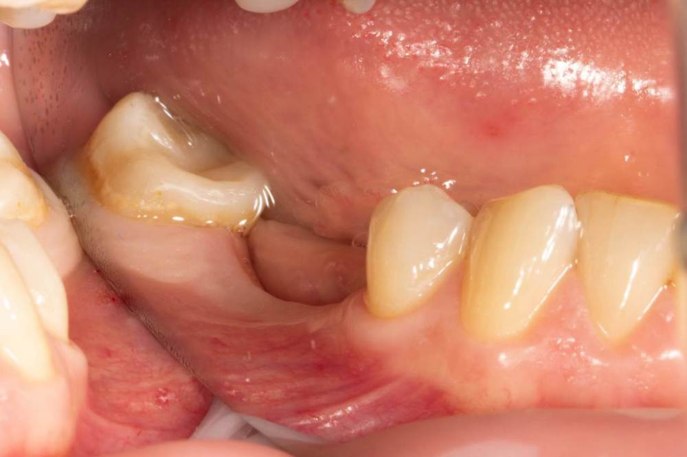
Женька Опубликовано 20 февраля, 2023 Автор Поделиться Опубликовано 20 февраля, 2023 @АнтонТЛТ в том и дело, что через неделю (на снятии швов), я вижу медиально мягкие ткани, в том месте где должно быть всё прикрыто сгустком. Губка вывалилась, пац сам снял швы, тк "достали"... может в этом причина? Ссылка на комментарий
АнтонТЛТ Опубликовано 20 февраля, 2023 Поделиться Опубликовано 20 февраля, 2023 Ничего страшного, нарастёт) Надо было широкий формик ставить или индивидуальный на временном абатменте. 1 Ссылка на комментарий
Женька Опубликовано 21 февраля, 2023 Автор Поделиться Опубликовано 21 февраля, 2023 @АнтонТЛТ не соглашусь. На узком вторичное заживление будет и по факту тканей больше, а потом ортопед уже отдавит. Ну это я так планирую) что тканей больше будет) Ссылка на комментарий
АнтонТЛТ Опубликовано 21 февраля, 2023 Поделиться Опубликовано 21 февраля, 2023 (изменено) Т.е. считаете, что тут есть недостаток мягких тканей? Поэтому подсаживает сст и утягиваете лунку максимально чтобы вторичного натяжения было поменьше? Изменено 21 февраля, 2023 пользователем АнтонТЛТ Ссылка на комментарий
Irouil Опубликовано 21 февраля, 2023 Поделиться Опубликовано 21 февраля, 2023 Если хотите узкий формирователь - обеспечте чем-то герметизм лунки (стт пончо, прф пончо). Хотя я никакого преимущества в ситуациях одномоментной имплантации от узких фдм не вижу - только в отсроченных. 1 Ссылка на комментарий
Женька Опубликовано 21 февраля, 2023 Автор Поделиться Опубликовано 21 февраля, 2023 @АнтонТЛТ недостаток считаю есть, пускай и не большой. По натяжению, соглашусь, пожалуй перестарался. @Irouil губки не подойдут считаете? Ссылка на комментарий
Irouil Опубликовано 21 февраля, 2023 Поделиться Опубликовано 21 февраля, 2023 4 минуты назад, Женька сказал: @Irouil губки не подойдут считаете? Губки так себе барьер - впитывают не только кровь. Стянули нормально, если на второй день стягивающие швы сняли Ссылка на комментарий
Женька Опубликовано 21 февраля, 2023 Автор Поделиться Опубликовано 21 февраля, 2023 @Irouil пациент сам снимает нитки... когда мешаются на 3-4 день, ничего не могу с этим поделать... только в карте описывать Ссылка на комментарий
Рекомендуемые сообщения
Для публикации сообщений создайте учётную запись или авторизуйтесь
Вы должны быть пользователем, чтобы оставить комментарий
Создать аккаунт
Зарегистрируйте новый аккаунт в нашем сообществе. Это очень просто!
Регистрация нового пользователяВойти
Уже есть аккаунт? Войти в систему.
Войти